To the Editor:
Hematologic morphology is loosing grounds, particularly in this country. This is because of the emergence of new technologies (eg, molecular biology, flow cytometry, and polymerase chain reaction in situ), and the failure of cell image analysis to provide practical means for objective assessment of morphological characteristics. However, for many hematologists trained in hematopathology, the Romanowsky (Wright, Giemsa)-staining–based morphology has been, and still is, a powerful tool for better understanding of happenings inside cells, and showing different processes affecting blood and bone marrow cells. Two years ago Blood honored my devotion to this morphology by publishing one picture of a cytoplasmic bridge between basophilic normoblasts. (Delayed Cytokinesis of Erythroblasts.Blood, May 15, 87:4254, 1996). This is another example in support of the old values.
In 1973, I was a coauthor of a report describing morphological features of gigantic azure granules seen in two cases of acute promyelocytic leukemia.1 One case of acute promyelocytic leukemia (APL) with Chediak-Higashi (CH)-like granules diagnosed at the Division of Hematology, Department of Internal Medicine (Medical Faculty Hospital, Skopje, Macedonia) in 1973 prompted this report. Indeed, it was my second case. In 1972, while investigating the archives of the Leukemia Service, National Cancer Institute, NIH, Bethesda, MD (Chief Dr Edward Henderson) and the collection of old bone marrow smears from the Laboratory of Hematology, Clinical Pathology, Clinical Center, NIH (Head Dr Harvey Cralnick), I found those gigantic granules in one case of APL. In 1973, Markovic and Henderson2 reported the abnormal cytoplasmic inclusions resembling Chediak-Higashi granules amid other rare morphologic characteristics of acute leukemia. The name CH-like granules came later, after Dr Olivera Markovic demonstrated myeloperoxidase activity in those granules (macedonian case), and proved their lysosomal character. Ultrastructural analysis was not provided in both cases and, therefore, we did not submit the report for publication to major journals.
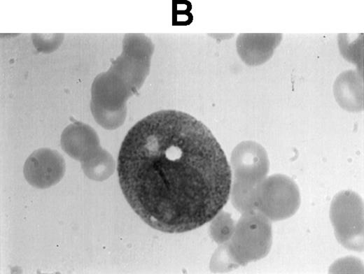
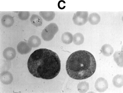
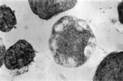
Presently, when ultrastructural analysis has confirmed the nature of those granules, this following example of a light microscope morphological analysis could remind us not to underestimate the power of hematologic morphology. In both cases described in 1973, we saw the gigantic granules only in cells resembling abnormal promyelocytes (large cells, cytoplasm/nuclear [C/N] ratio ∼1.5), kidney-shaped nucleuses with one or two large nucleoli, chromatin structured in a net of fine granular material, the abundance of immature azure granules (scattered through the cytoplasm), lacking mature (dark purple to blue, about 2 μm in diameter) azure granules, and two types of abnormal pink inclusions: the multiple Auer body–like inclusions, or CH-like gigantic granules (Fig 1). We did not see these two distinctive features (Auer body and CH-like granules) together in single cells. Individual cells containing CH-like granules showed many aggregates of azure granules of different sizes, suggesting a continuous process of granular growth and fusion. In normal promyelocytes, this process is limited. When an azure granule reaches a size of approximately 2 μm, further growth ceases, the granule “matures” and its color changes from pink into dark purple or blue (May-Grünwald Giemsa staining). We saw none of these mature granules inside the leukemic promyelocytes. CH-like granules varied in shape and content. When filled with a pink, uniformly distributed material, they had a polygonal shape, which was similar to the form of the granules seen in the congenital CH disease. Flat, nonstructural pinkish content was seen in round granules, and in granules with a colorless halo (a pinkish, nonstructural center and vacuole-like periphery). We saw different relations between the central and peripheral part of these granules. There were also vacuoles with a very small amount of or with no tinted content inside. Few cells showed “rupture” of cell membrane and vacuoles open to exterior (Fig 1). In the Macedonian case, few cells resembling “small” macrophages, or destroyed abnormal promyelocytes, were seen “engulfing” large individual vacuoles with some pinkish content. In CH disease, gigantic granules do not show growth and evolution toward vacuolization.
(A1) Two neutrophils from a case of APL with CH-like granules. The promyelocytes looks normal in all parameters except in the primary granules. They are more abundant than normally seen; they are immature, different sized, and there is no dark purple of blue mature azure granules. The PMN looks normal except for increased number of primary (azure) immature granules. (B1) A promyelocyte from the same case of APL. Abundance of immature azure granules of different sizes. None of them mature and none are of abnormal sizes. There is one vacuole and the Golgi apparatus is clearly visible. (C1) Two promyelocytes similar to B1. Some azure granules undergo aggregation. (A2) Two promyelocytes in the same bone marrow smear. Split of maturational direction. One cell shows numerous Auer body–like inclusions and clear cytoplasm. The other shows numerous aggregates of azure granules. Some of them suggest fusion of smaller granules. (B2) Typical appearance of a bone marrow high-power field. Several leukemic promyelocytes. One shows Auer body–like inclusions. Others show immature azure granules at different levels of aggregation. The typical CH-like granules are not present. (C2) One large leukemic promyelocyte. A gigantic, pink, polygonal granule if formed. Many polygonal aggregates of small azure granules. Some clearing of cytoplasm (reduced total number of granules) can be seen. (A3) Fully developed CH-like granule in a leukemic promyelocyte. Other azure granules and, particularly, aggregates are not part of this granule. They follow their own development. Clearing of cytoplasm is also present. (B3) Several large and one gigantic, fully developed, pink-color and polygonal-shaped azure granules. Clear cytoplasm. This is a picture of a typical cell. (C3) A promyelocyte with three gigantic CH-like granules. All three are round, and all show structural changes. Onion- or myelin-like figures appear inside granules. They are apparently composed of the same material as other CH-like granules. Changes indicate hyalinization and autolysis. (A4) Two promyelocytes: one with Auer body–like inclusions, and the other with two small CH-like granules undergoing autolysis and one huge vacuole containing residual hyaline material of a CH-like granule, and a transparent, watery content. (B4) Two promyelocytes with gigantic, autolytic granules-vacuoles. Both resemble macrophages and phagocytosis. Only the presence of other azure granules in one of them suggest neutrophilic origin of this cell. (C4) A leukemic promyelocyte with many vacuoles. Few show some content. One (at 2 o’clock) is opened toward the cell exterior and some cytoplasmic ridges can be seen around the “rupture.” Two nucleoli identify the immaturity of the cell.
(A1) Two neutrophils from a case of APL with CH-like granules. The promyelocytes looks normal in all parameters except in the primary granules. They are more abundant than normally seen; they are immature, different sized, and there is no dark purple of blue mature azure granules. The PMN looks normal except for increased number of primary (azure) immature granules. (B1) A promyelocyte from the same case of APL. Abundance of immature azure granules of different sizes. None of them mature and none are of abnormal sizes. There is one vacuole and the Golgi apparatus is clearly visible. (C1) Two promyelocytes similar to B1. Some azure granules undergo aggregation. (A2) Two promyelocytes in the same bone marrow smear. Split of maturational direction. One cell shows numerous Auer body–like inclusions and clear cytoplasm. The other shows numerous aggregates of azure granules. Some of them suggest fusion of smaller granules. (B2) Typical appearance of a bone marrow high-power field. Several leukemic promyelocytes. One shows Auer body–like inclusions. Others show immature azure granules at different levels of aggregation. The typical CH-like granules are not present. (C2) One large leukemic promyelocyte. A gigantic, pink, polygonal granule if formed. Many polygonal aggregates of small azure granules. Some clearing of cytoplasm (reduced total number of granules) can be seen. (A3) Fully developed CH-like granule in a leukemic promyelocyte. Other azure granules and, particularly, aggregates are not part of this granule. They follow their own development. Clearing of cytoplasm is also present. (B3) Several large and one gigantic, fully developed, pink-color and polygonal-shaped azure granules. Clear cytoplasm. This is a picture of a typical cell. (C3) A promyelocyte with three gigantic CH-like granules. All three are round, and all show structural changes. Onion- or myelin-like figures appear inside granules. They are apparently composed of the same material as other CH-like granules. Changes indicate hyalinization and autolysis. (A4) Two promyelocytes: one with Auer body–like inclusions, and the other with two small CH-like granules undergoing autolysis and one huge vacuole containing residual hyaline material of a CH-like granule, and a transparent, watery content. (B4) Two promyelocytes with gigantic, autolytic granules-vacuoles. Both resemble macrophages and phagocytosis. Only the presence of other azure granules in one of them suggest neutrophilic origin of this cell. (C4) A leukemic promyelocyte with many vacuoles. Few show some content. One (at 2 o’clock) is opened toward the cell exterior and some cytoplasmic ridges can be seen around the “rupture.” Two nucleoli identify the immaturity of the cell.
The investigators tried to organize these different features in a logistic way. They postulated that an unknown force or agent (eg, malignancy, perhaps) has altered the genetic code controlling the maturation of azure granules. Without this control mechanism, azure granules continue to grow until self-destruction caused by accumulated and probably freed hydrolytic enzymes. In the past, it was pure speculation based on morphology alone. Today, I wonder was it only speculation, or a power of morphology to provide strong information for undergoing processes?
Almost 20 years later, in 1992, Akashi et al3 described appearance of pseudo-CH granules and prominent vacuoles in biphenotypic blasts of a case of acute leukemia. About the same time, Irimajiri et al4 studied light and electron microscopic images of these granular structures. They concluded that the giant granule is azurophilic, it is a circular structure with a homogenous matrix, the content changes by autolysis, and the vacuole formation appears. They have also described the Auer body–like granules with crystalline formation.
In 1993, Symes et al5 described a case of acute promyelocytic leukemia with pseudo-CH anomaly and molecular documentation of t(15;17) chromosomal translocation. The same year, Hamanaka et al6 confirmed the presence of noncrystalloid azure granules in eozinophils of two patients with congenial CH disorder.
In 1994, Cervero et al7 conducted an ultrastructural study of CH-like inclusions in acute myeloblastic leukemia and showed that granules contain a dense matrix and fingerprint structures at the periphery. In some inclusions they saw fibrillar structures and myelinic figures. The matrix was reactive to peroxidase and small vesicles were prominent in the cytoplasm near the granules. They concluded that the granules could have been formed by the fusion of primary granules and/or by fusion of these small dense vesicles.
Recently, I compared the report published in the Proceedings of the 9th Congress of Macedonian Physicians1 and the contemporary interpretation of the appearance of the CH-like granules in acute promyelocytic leukemia.3-7 The same features seen on light microscopy were confirmed and probably better defined on the ultrastructural level (electron microscopy). The interpretation was similar, too. However, the ultrastructuralists did not develop any attractive “fairy tale” such as the light microscopists did.
I believe that this letter supports my devotion to hematologic morphology and, hopefully, will challenge other hematologists to share their experiences.











