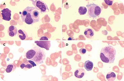
A 52-year-old woman was admitted for unexplained thrombocytopenia with a 1-month history of nausea and anorexia. Initial blood tests showed leukocytes at 4.66 × 109/L, with neutrophils at 62.8%. Her hemoglobin was 900 mg/L, and platelets were 29 × 109/L. Additionally, C-reactive protein levels were elevated. The bone marrow aspirations revealed increased granulocytes with hemophagocytic cells (panel A, 100× lens objective, Wright-Giemsa stain). Notably, distinct phagocytes with clustered pinkish sandlike particles and displaced nuclei were found in bone marrow smears (panels B-C, 100× lens objective, Wright-Giemsa stain), which were also engulfing red blood cells (panel D, 100× lens objective, Wright-Giemsa stain). These phagocytes, known as “typhoidal cells,” are typically found in the bone marrow of patients with typhoid fever. However, the patient worked on a sheep farm. Subsequent serological testing for Brucella melitensis revealed a serum agglutination titer of 1:400 and a positive rose Bengal test. A blood culture confirmed B melitensis, leading to a diagnosis of brucellosis. The primary treatment included levofloxacin and ceftriaxone for infection. A week later, the patient was discharged with reduced nausea and vomiting and improved blood counts.
“Typhoidal cells” are histiocytes originally described in typhoid fever, containing granular or hyaline aggregates of bacteria and cellular debris within their cytoplasm. Rarely, these cells may be seen with other bacteria, including B melitensis. Awareness of this phenomenon is necessary for early and appropriate testing for relevant infectious disease.
For additional images, visit the ASH Image Bank, a reference and teaching tool that is continually updated with new atlas and case study images. For more information, visit https://imagebank.hematology.org.
