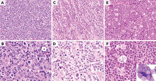
Morphologic characterization of highly proliferative B-cell lymphomas. (A-B) This DLBCL, NOS has many mitotic figures, but many of the neoplastic cells are typical large transformed cells that do not resemble either BL cells or B lymphoblasts. Chromosomal analysis showed a complex karyotype, but there was no evidence of MYC or BCL2 rearrangement. (C-D) This HGBCL, NOS is composed of relatively small blastoid-appearing cells with many mitotic figures, reminiscent of a B-lymphoblastic leukemia/lymphoma. TdT was negative. It had a complex karyotype that included t(14;18)(q32;q21) and i(17)(q10). (E-F) This HGBCL with MYC and BCL6 rearrangements (without evidence of IGH::BCL2) resembles BL with intermediate-size transformed cells and a starry-sky appearance with scattered tingible body macrophages. The cytospin (inset) demonstrated cytoplasmic vacuoles. Unlike classic BL, it was BCL2 protein positive and had only equivocal CD10 positivity. All panels were stained with H&E except for the inset stained with Wright-Giemsa stain. Original magnification ×400 for panels A, C, and E; original magnification ×1000 for panels B, D, and F and inset.
Morphologic characterization of highly proliferative B-cell lymphomas. (A-B) This DLBCL, NOS has many mitotic figures, but many of the neoplastic cells are typical large transformed cells that do not resemble either BL cells or B lymphoblasts. Chromosomal analysis showed a complex karyotype, but there was no evidence of MYC or BCL2 rearrangement. (C-D) This HGBCL, NOS is composed of relatively small blastoid-appearing cells with many mitotic figures, reminiscent of a B-lymphoblastic leukemia/lymphoma. TdT was negative. It had a complex karyotype that included t(14;18)(q32;q21) and i(17)(q10). (E-F) This HGBCL with MYC and BCL6 rearrangements (without evidence of IGH::BCL2) resembles BL with intermediate-size transformed cells and a starry-sky appearance with scattered tingible body macrophages. The cytospin (inset) demonstrated cytoplasmic vacuoles. Unlike classic BL, it was BCL2 protein positive and had only equivocal CD10 positivity. All panels were stained with H&E except for the inset stained with Wright-Giemsa stain. Original magnification ×400 for panels A, C, and E; original magnification ×1000 for panels B, D, and F and inset.
