Abstract

Objectives:
1. Describe a case of severe DAT-negative intravascular hemolysis in plasma cell dyscrasia.
2. Discuss a potential novel mechanism of light-chain mediated hemolysis.
A 34-year old woman was admitted to hospital with fatigue and severe iron deficiency anemia (hemoglobin 47 g/dL, MCV 59 fL, ferritin 2 mcg/L). Her medical history included a presumptive diagnosis of paroxysmal nocturnal hemoglobinuria (PNH) from five years prior. She was transfused 2 units of red cells, started on oral iron and folate, and was discharged symptom-free with a hemoglobin of 71 g/dL. She returned three days later with abdominal pain, dark urine, and evidence of intravascular hemolysis. She was admitted for empiric treatment of PNH with high-dose glucocorticoids and therapeutic enoxaparin for presumed intra-abdominal thrombosis. Her flow cytometry, including granulocytes, was negative for PNH. Her direct antiglobulin test (DAT) was negative for IgG antibodies but positive for C3 complement. A thorough hemolysis workup was negative, including schistocytes and Donath Landsteiner testing. ADAMTS13 testing was uninterpretable due to high plasma free hemoglobin.
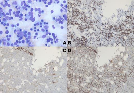
Despite corticosteroids, brisk hemolysis continued with 10 units of RBCs required over 5 days to maintain a stable hemoglobin. Plasma free hemoglobin reached 1147 mg/L, prompting therapeutic plasmapheresis for renal protection by the end of day 5. She deteriorated clinically after her first plasmapheresis with acute confusion (GCS 10) and lactic acidosis. She was empirically treated for seizure with levetiracetam. CT and MRI scans of her brain and lumbar puncture were normal. Her consciousness improved with daily plasmapheresis. A bone marrow biopsy performed on day twelve of glucocorticoid therapy found monoclonal plasma cell proliferation of 15% with marked lambda light chain predominance (20:1) (Figure 1). Repeat bone marrow biopsy 3 months post-steroid therapy still revealed 10% clonal plasma cells.
Hemolysis can be a rare presentation of plasma cell dyscrasia. Case reports of both autoimmune hemolytic anemia and microangiopathic hemolytic anemia associated with multiple myeloma exist. In our case, there was no evidence of a microangiopathic process, making thrombotic thrombocytopenic purpura (TTP) or atypical hemolytic-uremic syndrome (aHUS) unlikely. DAT was negative for IgG but did demonstrate C3 complement molecules bound to red cells. No previous case reports of complement-mediated hemolysis and multiple myeloma were found on literature review.
We report the first in vivo association between complement-mediated hemolysis and plasma cell dyscrasia. Complement pathways bridge the innate and acquired immune systems by helping select cells to be targeted by the acquired immune system. The alternative complement pathway does not require an antigen-antibody interaction to become active; rather, it is controlled by direct binding of complement and regulated by cofactor molecules. Jokiranta et al. (J Immunol 1999) identified a monoclonal Ig-lambda dimer that efficiently activated the alternative pathway of complement, triggering complement molecules to enhance hemolysis of serum in vitro. This "miniautoantibody" specifically bound and blocked the function of complement factor H, inhibiting enzymatic inactivation of fluid-phase C3b with uncontrolled activation of the alternative pathway. It is possible that the relative immune dysfunction in this patient's plasma cell dyscrasia led to a disturbance in the alternate complement pathway, perhaps due to dimerization of abnormal lambda light chains, resulting in complement-mediated intravascular hemolysis. Glucocorticoids and plasmapheresis may have helped manage hemolysis in this case.
By diagnostic criteria, this patient has smoldering myeloma, with urine monoclonal protein (1.2 g/24 hours), clonal bone marrow plasma cells (10-15%), and absence of myeloma-defining events. We have elected to manage her as such, with close observation. Further work-up performed for her plasma cell dyscrasia included a normal MRI of spine and pelvis. Over a year later, there has been no recurrence of hemolysis. Consideration will be given to treatment if she progresses to overt multiple myeloma.
A. Aspirate showing abnormal plasma cells. B. Trephine CD138 stain. C. Trephine kappa light chain stain. D. Trephine lambda light chain stain.
A. Aspirate showing abnormal plasma cells. B. Trephine CD138 stain. C. Trephine kappa light chain stain. D. Trephine lambda light chain stain.
Sandhu:Novartis: Consultancy, Honoraria; Amgen: Consultancy, Honoraria; Celgene: Consultancy, Honoraria; Janssen: Consultancy, Honoraria.
Author notes
Asterisk with author names denotes non-ASH members.

This icon denotes a clinically relevant abstract
