Abstract
Quiescent state of lymphocyte is a critical mechanism for immunity homeostasis. Until recently it has been recognized that quiescent state is not a passive default mode which also needs many signal molecular and transcriptional factors involvement. However, the mechanism of T cell quiescence remains incompletely understood. In quiescent cell, KLF3 is a highly expressed transcriptional factor, but once T lymphocyte is activated, KLF3 expression is reduced to an undetectable level. The Src homology 2 domain tyrosine phosphatase (SHP-1) is mainly expressed in hematopoietic cells and has been known to plays a negative effect on T cell activation. SHP-1 mutant mice (SHP-1me/me) exhibits multiple hematopoietic cells proliferation disorder and systemic inflammation. Compare to SHP-1me/me mice, KLF3 knock-out mice shows a myeloproliferative disorder and systematic inflammatory responses likewise. Accumulating evidence indicates KLF3 is a crucial transcription factor in T cell quiescent.
Based on similarity between SHP-1me/me mice and KLF3 knock-out mice, we explore whether KLF3 cooperate with SHP-1 to maintain cell quiescence. SHP-1 consists two promoter regions that one locates upstream of exon1, mainly expressed in epithelial cell and the other one locates in intron 1 which mainly serves for hematopoietic cell. According to literature, the core promoter element which plays a critical role in SHP-1 gene regulation locates upstream 120bp of transcriptional site. Two cacc boxes (5'---caccc----3') were found among the core promoter elements. We constructed a reporter gene vector named pGL3-SHP1-luci1 which consist two cacc boxes. We also constructed another three vectors based on pGL3-SHP1-luci1. (figure1 left). We process dual-luciferase assay at 72h post transfection (figure1 right). when the proximal cacc box is mutated, the promoter activity is 1.7 times as high as the promoter activity of normal promoter sequence (luci1 vector) (p<0.05). The transcription factor KLF3 functions as a repressor to interact with SHP-1 P2 promoter.
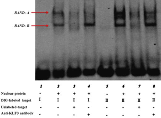
We prepare two dioxin-labelled probes based on cacc box motif to verify the binding activities between KLF3 and SHP-1. The probe I is consist of the distal cacc box and the probe II possesses the proximal cacc box. Two specific bands (A,B)were observed when probe target I or target II was adding into DNA-protein mixture (Figure2, lane2, 5). This band specifically disappeared by the addition of excess unlabeled target as a competitor (Figure2, lane 3, 6) which indicates probe can be a target of nuclear proteins from Jurkat cell. To verify KLF3 is the transcription factor involving in the interaction with labelled-probe, we added anti-KLF3 antibody to the EMSA binding reaction. The results show band A disappeared in the presence of target I and it became weaker in the presence of target II, but band B were still present after addition of anti-KLF3 antibody to the mixture (Figure2, lane4, 8). The band A, but not band B, disappeared or become weaken in the presence of anti-KLF3 antibody, indicates KLF3 interacts with SHP-1 P2 promoter.
To test the ability of KLF3 binding to SHP-1 promoter 2 (P2) in vivo, we performed chromatin immunoprecipitation (ChIP) analysis using antibodies for KLF3 and compared it with the IgG-negative control. We design one promoter primer targeting a region from -135bp to 53bp which contains a potential KLF3 binding site and one SHP-1 exon15 promoter as a control for antibody enriched DNA analysis. By promoter primer or exon15 primer, specific DNA bands were observed in input. However, only anti-KLF3 enriched DNA can amplify a specific band with promoter primer. By contrast, the IgG negative control enriched DNA fail to amplify positive bands with promoter primer. And for the exon15 primer, it hardly amplified positive bands neither from anti-KLF3-enriched DNA nor from IgG negative control-enriched DNA (figure3). These data demonstrates that KLF3 proteins directly regulate SHP-1 expression.
Our study suggests KLF3, as the candidate of programing T cell quiescence, can regulate SHP-1 to maintain quiescent phenotype.
No relevant conflicts of interest to declare.
Author notes
Asterisk with author names denotes non-ASH members.


