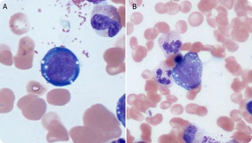
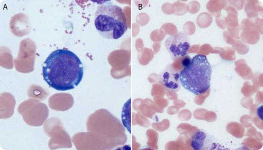
A 56-year-old woman with a complicated medical history presented with nausea, vomiting, neuropathy, and chronic weakness. Complete blood count (Hb 54 g/L, MCV 99 fL, white blood cell count 5.0 × 109/L, neutrophil count 3.5 × 109/L, platelets 374 × 109/L, reticulocyte count 46 × 109/L) showed she was markedly anemic with a normal reticulocyte count. The etiology of the anemia was not evident from a review of the blood smear. A bone marrow examination showed prominent vacuolated erythroblasts (panel A) and vacuolated myeloid precursors (panel B). Ring sideroblasts were also present. Cytogenetics showed a normal karyotype (46, XX). Additional laboratory investigations showed markedly decreased copper 0.6 (11.3-25.2 μmol/L), decreased ceruloplasmin 29 (220-495 mg/L), and elevated zinc 18.7 (9.2-18.5 μmol/L). Review of her medications showed long-term oral zinc gluconate therapy. Longer-term follow-up showed normalization of anemia with oral copper supplementation, but the neurologic defects persisted.
Acquired sideroblastic anemia secondary to zinc excess causing copper deficiency is rare; however, it is important to diagnose this benign condition early, as the neurologic symptoms may become irreversible. Patients may present with nonspecific clinical symptoms and laboratory findings, resulting in a delay in diagnosis or a misdiagnosis as a myelodysplastic syndrome.
A 56-year-old woman with a complicated medical history presented with nausea, vomiting, neuropathy, and chronic weakness. Complete blood count (Hb 54 g/L, MCV 99 fL, white blood cell count 5.0 × 109/L, neutrophil count 3.5 × 109/L, platelets 374 × 109/L, reticulocyte count 46 × 109/L) showed she was markedly anemic with a normal reticulocyte count. The etiology of the anemia was not evident from a review of the blood smear. A bone marrow examination showed prominent vacuolated erythroblasts (panel A) and vacuolated myeloid precursors (panel B). Ring sideroblasts were also present. Cytogenetics showed a normal karyotype (46, XX). Additional laboratory investigations showed markedly decreased copper 0.6 (11.3-25.2 μmol/L), decreased ceruloplasmin 29 (220-495 mg/L), and elevated zinc 18.7 (9.2-18.5 μmol/L). Review of her medications showed long-term oral zinc gluconate therapy. Longer-term follow-up showed normalization of anemia with oral copper supplementation, but the neurologic defects persisted.
Acquired sideroblastic anemia secondary to zinc excess causing copper deficiency is rare; however, it is important to diagnose this benign condition early, as the neurologic symptoms may become irreversible. Patients may present with nonspecific clinical symptoms and laboratory findings, resulting in a delay in diagnosis or a misdiagnosis as a myelodysplastic syndrome.
For additional images, visit the ASH IMAGE BANK, a reference and teaching tool that is continually updated with new atlas and case study images. For more information visit http://imagebank.hematology.org.

