Abstract
Almost 40% of patients with a severe form of sickle cell disease (SCD) develop small silent cerebral infarctions (SCIs), often located in the deep white matter, that may be associated with cognitive impairment. In patients with cardiovascular disease or risk factors, occurrence of these SCIs is a well known phenomenon, and considered as part of ‘cerebral small vessel disease’. Currently, it is unknown whether small vessel disease is the underlying cause of SCIs in sickle cell disease. If we can identify imaging features supporting the hypothesis that cerebral small vessel disease occurs in patients with SCD, this may provide new targets for therapeutic interventions. The aim of the present study is to investigate the brain imaging features of neurologically asymptomatic young SCD patients with ultra-high field 7T MRI.
Ten consecutive, neurological asymptomatic patients with SCD (homozygous hemoglobin S) without other cardiovascular risk factors were included (mean age 23 years, range 19-25). Brain lesions were scored using a 3D magnetization prepared fluid attenuated inversion recovery scan (MP-FLAIR) and a dual-echo T2*-weighted scan for the visualization of small arteries and veins.
With the exception of two patients, all displayed round and circumscript infarcts in the deep white matter of the frontal or parietal lobe (Table). Most lesions (82%) were <5 mm. In one patient (A) we identified 164 white matter infarcts (Figure 1). Strikingly, one patient (patient B) had several cortical micro-infarcts (Figure 2) although she had no neurological symptoms. These were associated with an occluded A1 and A2 segment of the anterior cerebral artery. In addition, this patient had unique pattern of white matter lesions, consisting of irregular shaped white matter infarcts, some located periventricular, and others close to the cortical infarcts. In two other patients (patients C and D) we identified an isolated cortical micro-infarct despite the absence of large vessel vasculopathy. In patient C, we found numerous hypo-intense areas symmetrically distributed in the deep white matter of the frontal and parietal lobe (Figure 3). These areas were associated with prominent transmedullary veins.
Cerebral lesions at ultra high field (7T) MRI scans in 10 patients with sickle cell anemia
| Clinical parameters* . | MRI findings . | |||||||
|---|---|---|---|---|---|---|---|---|
| Age . | Hb . | HbF . | Infarcts in the white matter . | Cortical infarcts . | Other findings . | |||
| (g/dL) . | (%) . | (no) . | (location) . | (no) . | (location) . | . | ||
| A | 25 | 10.3 | 14.9 | 164 | Mostly frontal and parietal | - | - | Including 4 small lacunes and 1 large juxtacortical infarct. Bilateral large infarcts along oculomotor tract |
| B | 20 | 7.8 | 3.4 | 25 | Frontal, parietal, periventricular | 8 | Frontal | Including 1 large lacune and 4 juxtacortical infarcts. Occluded A1 segment and proximal A2 segment of left and right anterior cerebral artery, collateral flow in distal A2 segment |
| C | 24 | 9.7 | 19.1 | 2 | Frontal | 1 | Frontal | Hypointense areas in the white matter, possibly associated with prominent transmedullary veins. Distinctly visible perivascular spaces |
| D | 23 | 9.5 | 11.8 | 2 | Frontal | 1 | Frontal | - |
| E | 19 | 10.9 | 3.2 | 6 | Frontal, parietal | - | - | Including 1 large juxtacortical infarct |
| F | 24 | 8.7 | 3.2 | 4 | Frontal, parietal | - | - | - |
| G | 24 | 9.9 | 3.5 | 1 | Frontal | - | - | Distinctly visible perivascular spaces |
| H | 25 | 9.8 | 3.3 | 1 | Frontal | - | - | - |
| I | 21 | 9.0 | 16.4 | - | - | - | - | - |
| J | 25 | 7.9 | 7.2 | 3 | Parietal, Frontal | - | - | Large arachnoidal cyst of right parietal lobe |
| Clinical parameters* . | MRI findings . | |||||||
|---|---|---|---|---|---|---|---|---|
| Age . | Hb . | HbF . | Infarcts in the white matter . | Cortical infarcts . | Other findings . | |||
| (g/dL) . | (%) . | (no) . | (location) . | (no) . | (location) . | . | ||
| A | 25 | 10.3 | 14.9 | 164 | Mostly frontal and parietal | - | - | Including 4 small lacunes and 1 large juxtacortical infarct. Bilateral large infarcts along oculomotor tract |
| B | 20 | 7.8 | 3.4 | 25 | Frontal, parietal, periventricular | 8 | Frontal | Including 1 large lacune and 4 juxtacortical infarcts. Occluded A1 segment and proximal A2 segment of left and right anterior cerebral artery, collateral flow in distal A2 segment |
| C | 24 | 9.7 | 19.1 | 2 | Frontal | 1 | Frontal | Hypointense areas in the white matter, possibly associated with prominent transmedullary veins. Distinctly visible perivascular spaces |
| D | 23 | 9.5 | 11.8 | 2 | Frontal | 1 | Frontal | - |
| E | 19 | 10.9 | 3.2 | 6 | Frontal, parietal | - | - | Including 1 large juxtacortical infarct |
| F | 24 | 8.7 | 3.2 | 4 | Frontal, parietal | - | - | - |
| G | 24 | 9.9 | 3.5 | 1 | Frontal | - | - | Distinctly visible perivascular spaces |
| H | 25 | 9.8 | 3.3 | 1 | Frontal | - | - | - |
| I | 21 | 9.0 | 16.4 | - | - | - | - | - |
| J | 25 | 7.9 | 7.2 | 3 | Parietal, Frontal | - | - | Large arachnoidal cyst of right parietal lobe |
Hb: mean level of hemoglobin during last 2 years of follow-up. HbF: most recent HbF percentage.
MRI: magnetic resonance imaging.
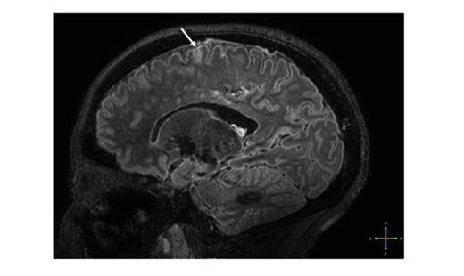
Typical pattern of white matter infarcts (arrows) in patient A, 7T MP-FLAIR image.
Typical pattern of white matter infarcts (arrows) in patient A, 7T MP-FLAIR image.
Cortical micro-infarct (arrow) and associated white matter infarcts in patient B, 7T MP-FLAIR image.
Cortical micro-infarct (arrow) and associated white matter infarcts in patient B, 7T MP-FLAIR image.
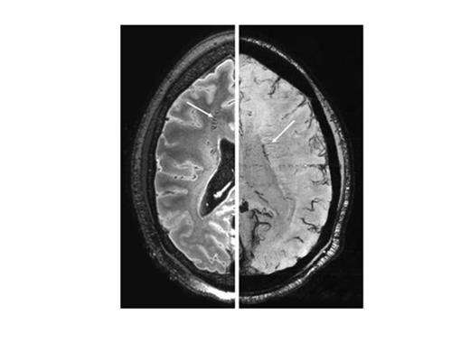
7T MP-FLAIR image (left) with hypo-intense structures (arrow) in patient C, and 7T dual-echo T2*-weighted scan (right) with prominent transmedullary veins (arrow).
7T MP-FLAIR image (left) with hypo-intense structures (arrow) in patient C, and 7T dual-echo T2*-weighted scan (right) with prominent transmedullary veins (arrow).
In our series of young and neurological asymptomatic SCD patients, we found the typical imaging features of SCIs in 8 out of 10 patients. Our findings suggest that patients with SCD may have manifestations of cerebral small vessel disease before the occurrence of symptoms, even at a young age and without other cardiovascular risk factors.
No relevant conflicts of interest to declare.
Author notes
Asterisk with author names denotes non-ASH members.


