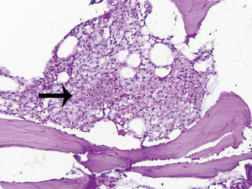
A 28-year-old black man was admitted to Presbyterian Hospital of Pittsburgh, PA, in August of 1959 with fever, hepatomegaly, and pulmonary infiltrates. Tuberculosis was suspected but the sputum examination was negative for acid fast bacilli. Needle biopsy of the posterior iliac crest (Westerman-Jensen needle) revealed granulomas (see figure) and the culture was positive for Mycobacterium tuberculosis. This prompted the initiation of isoniazid, steroids, and streptomycin. One week later a liver biopsy showed granulomas as well. After 5 weeks of therapy the patient had considerable improvement. A repeat bone marrow biopsy 7 weeks after the diagnosis showed no granulomas.
The biopsy in this patient was the first use of a needle biopsy for the diagnosis of systemic disease, a finding of historic and diagnostic importance. In the subsequent 53 years, the needle marrow biopsy has become routine for hematologists and oncologists to obtain additional information on systemic disorders such as metastatic neoplasms, staging of lymphomas, estimation of bone marrow cellularity, fibrosis, and iron stores, and for evaluation of metabolic bone diseases.
A 28-year-old black man was admitted to Presbyterian Hospital of Pittsburgh, PA, in August of 1959 with fever, hepatomegaly, and pulmonary infiltrates. Tuberculosis was suspected but the sputum examination was negative for acid fast bacilli. Needle biopsy of the posterior iliac crest (Westerman-Jensen needle) revealed granulomas (see figure) and the culture was positive for Mycobacterium tuberculosis. This prompted the initiation of isoniazid, steroids, and streptomycin. One week later a liver biopsy showed granulomas as well. After 5 weeks of therapy the patient had considerable improvement. A repeat bone marrow biopsy 7 weeks after the diagnosis showed no granulomas.
The biopsy in this patient was the first use of a needle biopsy for the diagnosis of systemic disease, a finding of historic and diagnostic importance. In the subsequent 53 years, the needle marrow biopsy has become routine for hematologists and oncologists to obtain additional information on systemic disorders such as metastatic neoplasms, staging of lymphomas, estimation of bone marrow cellularity, fibrosis, and iron stores, and for evaluation of metabolic bone diseases.
For additional images, visit the ASH IMAGE BANK, a reference and teaching tool that iscontinually updated with new atlas and case study images. For more information visit http://imagebank.hematology.org.
