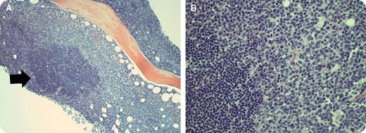
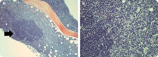
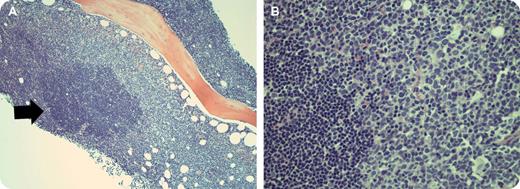
A 59-year-old male was diagnosed with stage IVB mantle cell lymphoma after presenting with night sweats and thrombocytopenia, generalized lymphadenopathy, and splenomegaly. He also had gastrointestinal and bone marrow involvement and multiple sites of osseous disease. The white cell count (WBC) was 5.7 × 109/L with 51% lymphocytes, hemoglobin 12.2 g/dL, and platelets 38 × 109/L. Ten days later and 1 day after dexamethasone initiation, the WBC was 46.8 × 109/L. Peripheral blood flow cytometry revealed intensely CD20 positive, CD5 negative blastoid monoclonal B lymphocytes.
A repeat bone marrow biopsy showed the lymphoma in the process of blastic transformation. (see figure). The marrow was replaced by a lymphoid infiltrate of 2 distinct components. One was made up of small, round lymphocytes with a mature chromatin pattern forming nodules (arrow); the other, sheets of large cells with irregular nuclear contours, a finer chromatin pattern, and frequent mitoses. A CD20 stain was intensely positive for membrane staining in both populations; CD5 immunostain showed dim surface expression within the small cells and loss in the larger cells. A diagnosis was made of mantle cell lymphoma with blastic transformation.
A 59-year-old male was diagnosed with stage IVB mantle cell lymphoma after presenting with night sweats and thrombocytopenia, generalized lymphadenopathy, and splenomegaly. He also had gastrointestinal and bone marrow involvement and multiple sites of osseous disease. The white cell count (WBC) was 5.7 × 109/L with 51% lymphocytes, hemoglobin 12.2 g/dL, and platelets 38 × 109/L. Ten days later and 1 day after dexamethasone initiation, the WBC was 46.8 × 109/L. Peripheral blood flow cytometry revealed intensely CD20 positive, CD5 negative blastoid monoclonal B lymphocytes.
A repeat bone marrow biopsy showed the lymphoma in the process of blastic transformation. (see figure). The marrow was replaced by a lymphoid infiltrate of 2 distinct components. One was made up of small, round lymphocytes with a mature chromatin pattern forming nodules (arrow); the other, sheets of large cells with irregular nuclear contours, a finer chromatin pattern, and frequent mitoses. A CD20 stain was intensely positive for membrane staining in both populations; CD5 immunostain showed dim surface expression within the small cells and loss in the larger cells. A diagnosis was made of mantle cell lymphoma with blastic transformation.
For additional images, visit the ASH IMAGE BANK, a reference and teaching tool that is continually updated with new atlas and case study images. For more information visit http://imagebank.hematology.org.

