Abstract
Abstract 5088
A 62-year-old male patient who presented with anemia and findings of monoclonal gammopathy of IgA type was referred to the Hematology clinic for work-up and management of possible multiple myeloma. At the same time, the patient was being managed by the Gastroenterology service with diuretics and recurrent paracentesis for an ongoing significant ascites of unclear etiology. These interventions had been performed for a year on a biweekly basis.
The patient had IgA gammopathy with a monoclonal protein level of 1.2 Gm/dL and findings on skeletal survey consistent with lytic lesions in the pelvic bones.
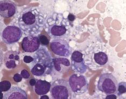
A bone marrow biopsy obtained from the patient revealed a plasmacytosis of 15% with atypical crystalline cytoplasmic inclusions seen in the majority of plasma cells and some histiocytes as well. The transudative ascitic fluid was analyzed for crystalline deposits, but these could not be conclusively detected even though there were inclusions seen in some macrophages that may represent remnants of the crystals.
The patient was diagnosed with IgA myeloma given the above findings and was treated with a combination of Revlemid, Velcade and Dexamethazone with good response in terms of his IgA monoclonal protein as well as in significant improvement in his ascites, which essentially resolved. He no longer required therapeutic paracentesis upon initiation of chemotherapy and was able to get weaned off of diuretics as part of his treatment.
This case represents what we believe to be a rare variant of multiple myeloma that presented with monoclonal gammopathy in the blood as well as concomitant ascites. The bone marrow showed plasma cells containing crystalline inclusions. The precise nature of these inclusions is presently unknown, however it is felt most likely to be precipitated immunoglobulins. We plan to investigate this further. For reasons that are not entirely clear, this particular biology appears to induce a reactive process in the peritoneum causing a development of ascites. The resolution of such ascites with treatment directed toward the myeloma seems to indicate that the two are related. A case similar to this was reported by Doctors Martin, et al in 1987 with a patient presenting with similar type of crystalline inclusions in plasma cells with clinically associated ascites.1 There was no information available on treatment effect and so it was not possible to tie the clinical presentation of the myeloma and ascites together.
No relevant conflicts of interest to declare.
Author notes
Asterisk with author names denotes non-ASH members.
