Abstract
Abstract 4298
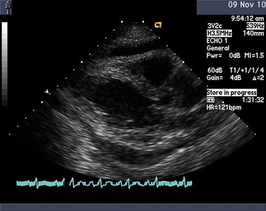
A 69 year old woman with a history of well controlled hypertension and a single episode of viral pericarditis initially presented to her physician with persistent leukocytosis and anemia. Bone marrow biopsy and aspiration revealed acute monocytic leukemia (FAB M5b) with normal cytogenetics. Induction chemotherapy was given with idarubicin 12 mg/m2 for 3 days and continous infusion cytarabine 200 mg/m2 for 7 days. Repeat bone marrow biopsy and aspiration on day 14 showed complete remission. Consolidation chemotherapy was administered with idarubicin 12 mg/m2 for 2 days and continuous infusion cytarabine 100 mg/m2 for 5 days. Prior to discharge from the hospital, she developed sudden onset of substernal chest pain associated with tachycardia and shortness of breath. Physical exam did not reveal jugular-venous distension; however, a slight friction rub was auscultated. Development of a pericardial effusion was suspected. Chest roenterogram demonstrated a mildly enlarged cardiac silhouette with a small left pleural effusion. Serum troponin-I and beta natriutretic peptide levels were within normal limits. Transthoracic echocardiogram was performed immediately which showed a moderate pericardial effusion with right ventricular collapse consistent with pericardial tamponade. A pericardial drain was placed which drained 900 cc of serous fluid. Laboratory studies on the fluid showed WBC of 6,500, LDH 1069, glucose 93, RBC 150, total protein of 4.1, albumin of 2.1 and pH of 7.0. Cultures did not yield bacterial or viral growth. Cytological analysis did not reveal evidence of leukemia. Based on these findings, a diagnosis of cytarabine induced pericardial effusion was strongly suspected.
The patient improved rapidly and within 24 hours, pericardial drain was removed and a repeat TTE showed complete resolution of the pericardial effusion. Repeat bone marrow biopsy and aspiration after consolidation chemotherapy continued to show complete remission. Given that her effusion was likely cytarabine induced, the decision to discontinue further consolidation chemotherapy with cytarabine was made. Instead, maintenance therapy with azacytidine at 50 mg/m2 intravenously daily for 5 days to be repeated every four to six weeks was initiated. After five cycles, surveillance bone marrow biopsy and aspiration has continued to show complete remission. Of the known cardiac toxicities associated with chemotherapy drugs, pericarditis and pericardial effusion are uncommon. They have been reported in association with high dose cyclophosphamide, bleomycin, cytarabine, busulphan, imatinib and all trans retinoic acid. Specifically, capillary leak syndrome, non cardiogenic pulmonary edema and pericardial effusion have been reported with high dose cytarabine. This is the first case of a concurrent pericardial effusion with tamponade with cytarabine evolving so rapidly. The pathophysiology regarding the development of pericardial effusion in this setting is unknown. It has been speculated that direct cellular damage occurs leading to a cascade of events developing eventually into an effusion as well as an immune mediated delayed hypersensitivity. Elevated levels of tumor necrosis factor and platelet activating factor in two patients who developed a capillary leak syndrome after high dose cytarabine therapy have been reported. The strongest theory of a delayed immune mediated mechanism is most accepted given the development of pericardial effusions have been documented after multiple doses of chemotherapy.
Clinicians should maintain a high level of suspicion for this complication as it has a rapid onset and potentially lethal complications. A literature search yielded four cases of acute pericardial effusions in which the only commonality was the use of cytarabine. In regards to our patient, a baseline nuclear heart scan was normal. To note, she did have a previous episode of suspected viral pericarditis without effusion, two months prior to her diagnosis of AML, which may have some role in the subsequent development of a pericardial effusion. It is reported that 10–30% of patients with acute pericarditis have recurrent disease that is often associated with an effusion. It may be postulated that perhaps those patients predisposed to recurrent pericarditis are sensitized to develop this complication upon the treatment with cytarabine or other chemotherapeutic agents.
No relevant conflicts of interest to declare.
Author notes
Asterisk with author names denotes non-ASH members.
