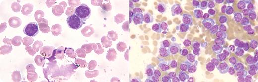
An 85-year-old woman presented with Escherichia coli urosepsis and was treated with antibiotics. While in the hospital, she had persistent leukocytosis (28.2 × 109/L), hemoglobin 92 g/L, and platelets of 238 × 109/L. As seen in the peripheral blood smear (left), the majority of the leukocytes (74%) appeared as lymphocytes. Echinocytes that were present were transient and associated with acute renal failure. A diagnosis of chronic lymphocytic leukemia was considered. However, the peripheral blood findings were new abnormalities, and the patient had no lymphadenopathy or splenomegaly. Flow cytometry of peripheral blood identified these leukocytes as monoclonal plasma cells (CD45 negative, CD38 and CD138 positive, dim CD20, partial CD19 positive, expressing κ light chains) consistent with plasma cell leukemia.
Further work-up revealed hypogammaglobulinemia and the presence of free κ light chains in the serum. A bone marrow examination (right) revealed 75% monoclonal plasma cells that were identical immunophenotypically to the peripheral cells. Treatment with melphalan, prednisone, and bortezomib resulted in a normalization of leukocyte count after the first cycle.
This illustrates an interesting phenomenon wherein circulating plasma cells mimicked small mature lymphocytes and caused a challenge in the diagnosis until clinical findings were correlated with flow cytometry.
An 85-year-old woman presented with Escherichia coli urosepsis and was treated with antibiotics. While in the hospital, she had persistent leukocytosis (28.2 × 109/L), hemoglobin 92 g/L, and platelets of 238 × 109/L. As seen in the peripheral blood smear (left), the majority of the leukocytes (74%) appeared as lymphocytes. Echinocytes that were present were transient and associated with acute renal failure. A diagnosis of chronic lymphocytic leukemia was considered. However, the peripheral blood findings were new abnormalities, and the patient had no lymphadenopathy or splenomegaly. Flow cytometry of peripheral blood identified these leukocytes as monoclonal plasma cells (CD45 negative, CD38 and CD138 positive, dim CD20, partial CD19 positive, expressing κ light chains) consistent with plasma cell leukemia.
Further work-up revealed hypogammaglobulinemia and the presence of free κ light chains in the serum. A bone marrow examination (right) revealed 75% monoclonal plasma cells that were identical immunophenotypically to the peripheral cells. Treatment with melphalan, prednisone, and bortezomib resulted in a normalization of leukocyte count after the first cycle.
This illustrates an interesting phenomenon wherein circulating plasma cells mimicked small mature lymphocytes and caused a challenge in the diagnosis until clinical findings were correlated with flow cytometry.
Many Blood Work images are provided by the ASH IMAGE BANK, a reference and teaching tool that is continually updated with new atlas images and images of case studies. For more information or to contribute to the Image Bank, visit www.ashimagebank.org.

