Abstract
Abstract 2904
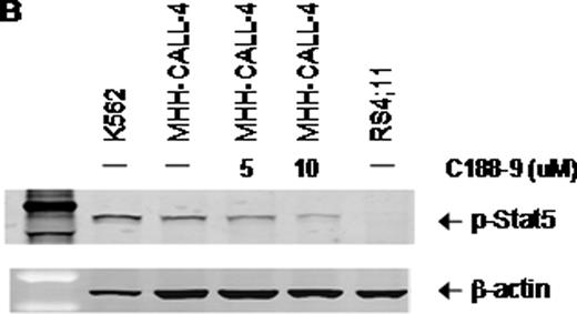
Survival has improved dramatically in acute lymphoblastic leukemia (ALL), but further gains are unlikely using conventional chemotherapy alone. Several recently discovered, novel cytogenetic lesions with adverse prognostic impact, JAK2 activating mutations and CRLF2 rearrangements, occur in up to 15% of adult and pediatric ALL. These lesions are associated with activation of Jak2 and Stat5, and hold promise as targets for novel therapies affecting these signaling pathways. We performed in vitro testing of a novel small molecule Stat inhibitor, C188-9, in B-lineage ALL cell lines and patient samples with and without JAK2/CRLF2 alterations. C188-9 treatment for one hour at 10 μM inhibited Stat3 and Stat5 phosphorylation in ALL cell lines with JAK2 and CRLF2 alterations, but not in cell lines with wild-type JAK2 and CRLF2, as measured by phospho-flow cytometry (Fig. 1A). Only the cell lines with JAK2 and CRLF2 alterations demonstrated basal Stat5 phosphorylation on Western blot analysis, and this was inhibited by C188-9 treatment (Fig. 1B). C188-9 demonstrated cytotoxicity in ALL cell lines regardless of JAK2/CRLF2 status, with IC50s in the low micromolar concentration range (Fig. 1C). While C188-9 is undergoing investigation currently as a potent inhibitor of Stat3 in acute myeloid leukemia (AML), it also merits further investigation as an agent with Stat5 inhibitory activity and cytotoxicity in ALL.
Effects of C188-9 in ALL cell lines. A. Stat3 and Stat5 phosphorylation were determined by flow cytometry in the ALL cell lines MHH-CALL-4 (JAK2/CRLF2 mutated) and Reh (JAK2/CRLF2 wild-type). In each condition, cells were incubated in serum-free media for one hour, followed by incubation with C188-9 or vehicle for one hour, stimulation with vehicle or pervanadate 125 mM for 15 minutes, fixation, permeabilization, phospho-antibody staining for phospho-Stat3 and phospho-Stat5, and flow cytometric analysis. B. Western blot for phospho-Stat5 in K562 cell line (positive control); MHHCALL-4 treated for one hour with C188-9 at 0, 5, or 10 uM; and RS4;11 (JAK2/CRLF2 wild-type ALL cell line). C. IC50 determination by ATP assay for C188-9 in the ALL cell lines MHH-CALL-4 and RS4;11. Each experiment was performed in triplicate.
Effects of C188-9 in ALL cell lines. A. Stat3 and Stat5 phosphorylation were determined by flow cytometry in the ALL cell lines MHH-CALL-4 (JAK2/CRLF2 mutated) and Reh (JAK2/CRLF2 wild-type). In each condition, cells were incubated in serum-free media for one hour, followed by incubation with C188-9 or vehicle for one hour, stimulation with vehicle or pervanadate 125 mM for 15 minutes, fixation, permeabilization, phospho-antibody staining for phospho-Stat3 and phospho-Stat5, and flow cytometric analysis. B. Western blot for phospho-Stat5 in K562 cell line (positive control); MHHCALL-4 treated for one hour with C188-9 at 0, 5, or 10 uM; and RS4;11 (JAK2/CRLF2 wild-type ALL cell line). C. IC50 determination by ATP assay for C188-9 in the ALL cell lines MHH-CALL-4 and RS4;11. Each experiment was performed in triplicate.
No relevant conflicts of interest to declare.
Author notes
Asterisk with author names denotes non-ASH members.


