Abstract
Abstract 2226
MicroRNAs (miRs) play important roles in normal hematopoiesis as well as in hematopoietic malignancies. In generating mature miRs, Dicer-1, an RNase III in the cytosol, excises the hairpin-loop of precursor miRs and assembles mature miRs onto an RNA-Induced Silencing Complex. Among 27 exons of Dicer1, exons 21 and 22 comprise the RNase IIIa domain. Knockout of this domain was shown to be lethal in mouse embryos. In this study, we used tamoxifen to induce Cre-mediated exon deletion and our goal was to investigate the impact of Dicer1 knockout on hematopoiesis in adult mice.
Two C57BL/6 transgenic mice were crossed: ROSA26-CreERT2 and floxed Dicer1 exons 21 & 22. At the age of 8 week, three female mice were treated with tamoxifen (1 mg/day, Day 1 to 5) and two with placebo. On Day 8, mice were sacrificed for examination. DNA genotyping and qRT-PCR were used to confirm Dicer1 genomic deletion and to quantify the transcription copy number of Dicer1. Cardiocentesis was done for complete peripheral blood count. Femoral and tibial bone marrow, spleen and inguinal lymph nodes were evaluated by flow cytometry whereas formalin-perfused sternum and thymus were subjected to histopathological examination.
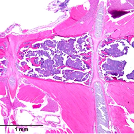
Two tamoxifen-treated mice presented with unkempt appearance, hunched posture and diarrhea from Day 7. Vehicle-treated control mice remained clinically normal. qRT-PCR showed lower copy number of Dicer1 exons 21 & 22 in tamoxifen-treated group than in control (0.09 vs. 1.00). In tamoxifen-treated group, the spleen weights were lower, white blood cell and platelet counts were lower and bone marrow histopathology revealed hypocellularity, with markedly reduced and immature myeloid elements, consistent with arrested or abrogated development of myelomonocytic and megakaryocytic elements.
The RNase III domain of Dicer-1 is crucial for the normal differentiation of marrow myeloid series in adult mice, probably at the stage of common myeloid progenitor.
Dicer1 Knockout
Dicer1 Wild Type
No relevant conflicts of interest to declare.
Author notes
Asterisk with author names denotes non-ASH members.

