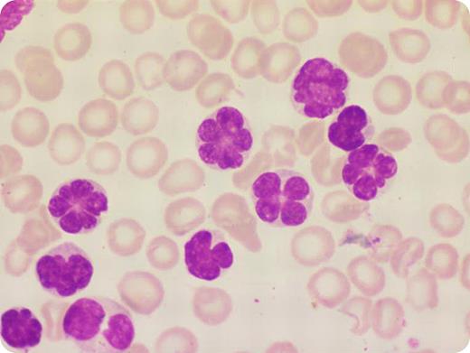
A 22-year-old female presented with 2 weeks of fever, anemia, generalized lymphadenopathy, hepatosplenomegaly, and skin rashes. Her total leukocyte count was 306 × 109/L. Peripheral blood smear showed many atypical lymphocytes with petal-shaped nuclei like flowers as seen in the photograph. Peripheral blood immunophenotype noted negative markers for myeloid and B lymphoid lineage (CD10, CD19, CD3, CD5, CD7, cyto-CD3, TCR, CD16, CD56) and strongly positive for CD4 and CD25, and also CD2, which was atypical. Bone marrow aspirate and biopsy revealed involvement by acute leukemia. Serology for HTLV-1 was positive and serum calcium was normal.
A diagnosis of adult T-cell leukemia was made. This leukemia is a neoplastic disease of CD4-positive T lymphocytes. Flower cells are described typically in HTLV-1–induced adult T-cell leukemia. They may also be seen in asymptomatic carriers of HTLV-1. Although convoluted nuclei with high total leukocyte count can occur in Sézary syndrome, a typical petal shape of nuclei is usually not seen. In this patient, the clinical presentation and peripheral blood smear strongly indicated adult T-cell leukemia; HTLV-1 and the immunophenotype provided additional evidence. The patient received intensive chemotherapy but died of neutropenic fungal infection.
A 22-year-old female presented with 2 weeks of fever, anemia, generalized lymphadenopathy, hepatosplenomegaly, and skin rashes. Her total leukocyte count was 306 × 109/L. Peripheral blood smear showed many atypical lymphocytes with petal-shaped nuclei like flowers as seen in the photograph. Peripheral blood immunophenotype noted negative markers for myeloid and B lymphoid lineage (CD10, CD19, CD3, CD5, CD7, cyto-CD3, TCR, CD16, CD56) and strongly positive for CD4 and CD25, and also CD2, which was atypical. Bone marrow aspirate and biopsy revealed involvement by acute leukemia. Serology for HTLV-1 was positive and serum calcium was normal.
A diagnosis of adult T-cell leukemia was made. This leukemia is a neoplastic disease of CD4-positive T lymphocytes. Flower cells are described typically in HTLV-1–induced adult T-cell leukemia. They may also be seen in asymptomatic carriers of HTLV-1. Although convoluted nuclei with high total leukocyte count can occur in Sézary syndrome, a typical petal shape of nuclei is usually not seen. In this patient, the clinical presentation and peripheral blood smear strongly indicated adult T-cell leukemia; HTLV-1 and the immunophenotype provided additional evidence. The patient received intensive chemotherapy but died of neutropenic fungal infection.
Many Blood Work images are provided by the ASH IMAGE BANK, a reference and teaching tool that is continually updated with new atlas images and images of case studies. For more information or to contribute to the Image Bank, visit www.ashimagebank.org.
