Neil Abramson, Baptist Cancer Institute, University of Florida-Jacksonville
Neil Abramson, Baptist Cancer Institute, University of Florida-Jacksonville
A 67-year-old man developed left-sided abdominal pain while struggling to get out of a sand trap on the golf course. He visited his physician and a very large spleen was found on examination. He had been well previously and was on no medications. His brother recently died with metastatic colon cancer; otherwise the family history was negative.
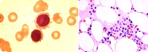
Laboratory assessment revealed mild anemia with occasional oval and tear-shaped red cells. There was mild thrombocytopenia with a moderate degree of granulocytopenia. Rare lymphocytes on the peripheral smear appeared as shown in the figure. A bone marrow examination is also illustrated.
Special studies were done that added further confirmation to the diagnosis of hairy cell leukemia; the cells were TRAP-positive and B-cell phenotype with CD11c expression. He was given options for treatment including observation only. Since his pain disappeared and he was again asymptomatic, he declined treatment. However, within the next 2 years, he had 2 pulmonary infections, convincing him to agree to treatment. He preferred pentostatin given every 2 weeks rather than a weeklong continuous infusion of cladribine. After 2 months, his spleen was not palpable and the pancytopenia resolved. Minimal numbers of hairy cells were still noted on the bone marrow examination. He remains well, 5 years after chemotherapy. Despite the availability of highly effective chemotherapy, hairy cell leukemia may still be managed without immediate aggressive treatment in some patients.
Many Blood Work images are provided by the ASH IMAGE BANK, a reference and teaching tool that is continually updated with new atlas images and images of case studies. For more information or to contribute to the Image Bank, visit www.ashimagebank.org.
