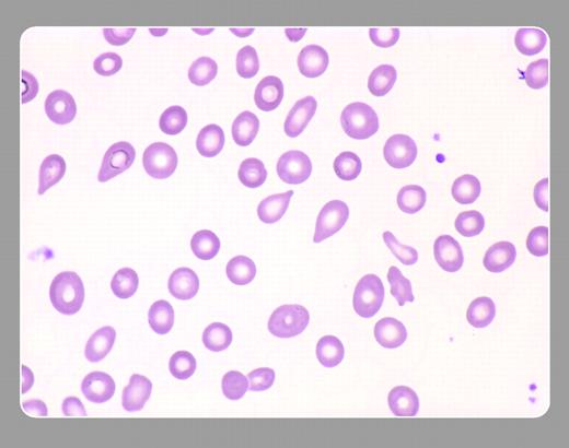
These abnormal erythrocytes have a teardrop, or pearlike, shape. They are associated with disorders with an abnormal spleen or bone marrow, such as idiopathic myelofibrosis, thalessemia, or myelophthisis.
Peter Maslak, Memorial Sloan-Kettering Cancer Center
These abnormal erythrocytes have a teardrop, or pearlike, shape. They are associated with disorders with an abnormal spleen or bone marrow, such as idiopathic myelofibrosis, thalessemia, or myelophthisis.
Peter Maslak, Memorial Sloan-Kettering Cancer Center
Many Blood Work images are provided by the ASH IMAGE BANK, a reference and teaching tool that is continually updated with new atlas images and images of case studies. For more information or to contribute to the Image Bank, visit www.ashimagebank.org.
