Abstract
We investigated the induction of human γ globin gene activity by 3 classes of histone deacetylase inhibitors: amide analogues of trichostatin A, hydroxamic acid analogues of trapoxin, and scriptaid and its analogues. The screening consisted of measuring the effects of these compounds on γ and β human gene promoter activity by using cultures of GM979 cells stably transfected with a construct containing a γ promoter linked to firefly luciferase and a β promoter linked to renilla luciferase. Compounds belonging to all 3 classes induced γ gene promoter activity in the screening assay in low micromolar concentrations. Histone deacetylase (HDAC) inhibitors increased acetylation of histone H4 and induced the expression of endogenous murine embryonic genes. They also increased the levels of γ mRNA and the frequency of fetal hemoglobin-containing erythroblasts in erythroid burst-forming unit (BFUe) cultures from healthy adult individuals. Compounds that displayed very similar degrees of inhibition of the HDAC activity in an HDAC enzymatic assay differed strikingly on their effects on γ gene promoter activity, raising the possibility of selectivity of HDACs that interact with the γ globin gene chromatin.
Introduction
Gene expression is controlled at the level of chromatin architecture by factors that alter nucleosome structure through a posttranslational modification of histone tails. Histone acetyltransferases acetylate the ϵ-aminogroups of lysine residues of histone tails, resulting in activation of gene transcription. Histone deacetylases (HDACs) deacetylate the lysine residues on histone tails, resulting in chromatin condensation and transcriptional silencing. Compounds that inhibit HDAC activity have the potential to prevent the silencing of globin genes or reactivate silenced globin genes.
Characteristic of the β globin locus of humans and all other mammals are the switches in gene expression which take place during the course of development (reviewed in Stamatoyannopoulos and Grosveld1 ). In most species there is only one switch, from embryonic to adult globin. In humans and several primates there are 2 switches, from embryonic to fetal and from fetal to adult globin. Silencing of the ϵ globin gene during the fetal stage of development and of the γ globin gene in the adult stage are autonomous and are controlled through the interaction of silencing complexes with cis sequences present in the proximal and distal globin gene promoters.1 Several cis sequences have been characterized,1 and certain transacting factors that participate in ϵ globin gene silencing have been identified,2,3 but the composition of the silencing complexes remains unknown. The γ globin genes of fetal hemoglobin can be reactivated in adult individuals by several physiologic manipulations and by pharmacologic means (reviewed in Stamatoyannopoulos and Grosveld1 ). Among the chemicals that have been shown to activate fetal globin expression are inhibitors of histone deacetylase,4-6 suggesting that HDACs participate in the silencing complex that represses γ globin gene expression.
We have previously shown that hydroxamic acid derivatives which inhibit HDAC are also potent inducers of γ globin gene expression. We have also found a correlation between concentrations of hydroxamic acid derivatives which inhibit in HDAC and those which induce γ globin gene activity.7 In the present study we investigated 3 series of HDAC inhibitors for their effects on fetal globin gene expression. We found that low micromolar concentrations of several HDAC inhibitors induce γ gene promoter activity, increase the levels of γ mRNA, and increase the frequency of fetal hemoglobin-containing erythroblasts. HDAC inhibitors which induced γ globin gene expression also induced the expression of murine embryonic genes and increased the acetylation of histone H4. There appears to be selectivity in the induction of γ gene expression by HDAC inhibitors, raising the possibility that specific HDACs may participate in the γ globin gene silencing complex.
Materials and methods
Compounds
The chemical names of compounds used are shown in Table 1. M344, M360, and M355 were synthesized as described in Jung et al8 ; compounds M232 and MD85 were synthesized according to Schmidt et al9 ; compounds SW68, SW70, SW86, and SW90 were synthesized according to Wittich et al.10 Scriptaid was purchased from Alexis (Lausen, Switzerland).
6-(4,5,6,7-Tetrachloro-1,3-dioxo-1,3-dihydroisoindol-2-yl) hexanoic acid hydroxyamide (HR10) was prepared in analogous fashion as HR11 from tetrachlorophthalic anhydride and 6-aminohexanoic acid as described in Remiszewski et al.11 Purity and identity were assessed by using nuclear magnetic resonance (NMR), infrared spectroscopy, and mass spectroscopy. SW183, SW187, SW188, and SW189 were prepared according to Wittich et al.54
Assay of in vitro histone deacetylase inhibition and IC50 value determination
A partially purified rat liver histone deacetylase was used for the assays as described in Heltweg and Jung.12 Stock solutions of the inhibitors were made at a concentration of 12 mM in dimethyl sulfoxide (DMSO) and 1 mg/mL in ethanol for trichostatin A and were further diluted with enzyme buffer 15 mM tris (tris(hydroxymethyl)aminomethane)–HCl, pH 7.9; 0.25 mM EDTA (ethylenediaminetetraacetic acid); 10 mM NaCl; 10% (vol/vol) glycerol; 10 mM 2-mercaptoethanol. A substrate stock solution was prepared by using an aliquot of 12 μL solution of the fluorescent substrate (4.682 mg/mL in ethanol), 24 μL solution of the standard 7-hydroxycoumarin (3.66 mg/mL DMSO), and enzyme buffer to a total volume of 1 mL. An amount (10 μL) of this stock solution was added to a mixture of 100 μL rat liver enzyme preparation (at 4°C) and 10 μg/L inhibitor dilution; the mixture was then incubated for 90 minutes at 37°C. After this time the reaction was stopped by the addition of 72 μL 1 M-HCl/0.4 M sodium acetate and 800 μL ethyl acetate. After centrifugation (10 000g, 5 minutes) an aliquot (200 μL) of the upper phase was taken, and the solvent was removed by a stream of nitrogen. The residue was dissolved in 600 μL chromatography eluent, and 20 μL was injected by way of autosampler onto the high-performance liquid chromatography (HPLC) system. The amount of remaining substrate is calculated relative to the substrate control without enzyme (each as quotient of the peak area of the substrate divided by the peak area of the internal standard). The concentration that inhibits 50% (IC50 value) is defined as the half-maximal conversion of the substrate that can be observed as compared with the substrate control (no conversion) and the inhibitor free enzyme-substrate control (100% conversion). It is calculated from the conversion-concentration curves using nonlinear regression (sigmoidal fit) with GraphPad Prism (GraphPad Software, San Diego, CA).
Cultures of GM979 cells
GM979 erythroleukemia cells transfected with the μLCRβ RApr lucγprFluc plasmid13 were cultured in RPMI-1640 medium (Hyclone, Logan, UT) supplemented with 10% fetal calf serum (FCS) and 400 μg/mL G418 as described.13 A range of concentrations of each HDAC inhibitor was used to determine effects on maturation, toxicity, and γ luciferase and β luciferase activity.
For maturation studies GM979 cells were cultured for 4 days in triplicate in the presence of increasing concentrations of the compounds tested. Cells were collected on day 4, and cytospin cell preparations were fixed with methanol and stained with benzidine. Three hundred cells were counted to determine the percentage of the benzidine-positive cells.
Dual luciferase assays
Transfected GM979 cells were cultured for 4 days in triplicates in the presence of increasing concentrations of the compounds tested. Firefly and renilla luciferase activities were measured sequentially in cell lysates by using a commercially available enzymatic assay (Dual Luciferase Reporter Assay System; Promega, Madison, WI) according to the manufacturer's protocol. Measurements were performed in a Lumat LB 9507 luminometer (EG&G Berthold, Bad Wildbad, Germany). The γ and β gene expression was quantitated by measuring luciferase activity and determining the ratio of γ firefly luciferase activity over the total luciferase activity γF/(γF + 2βR), as previously described.13
Histone acetylation studies of GM979 cells
Histone variants and posttranslational modified isoforms were separated by triton/acetic acid/urea polyacrylamide gel electrophoresis as described.14 The β luciferase/γ luciferase–transfected GM979 cells were cultured for 4 days in the presence of selected compounds (SW68, SW70). Subsequently, they were washed and suspended in hypotonic buffer. The swollen cells were homogenized, and nuclei were pelleted. Histones were extracted from isolated nuclei by a low-concentration acid extraction. A TAU-polyacrylamide gel (15% acrylamide/0.37% Triton X-100/6 M urea/0.9 M acetic acid [all from Sigma, St Louis, MO]) was polymerized overnight and was pre-electrophoresed during the following day. Histones were resolved overnight and electrophoresed for 17 hours. Gels were fixed by using methanol/acetic acid solution, and the proteins were visualized through Coomassie Blue (BioRad Laboratories, Richmond, CA) staining.
Human erythroid progenitor cell cultures
Peripheral blood samples from healthy individuals were subjected to density gradient centrifugation through Ficoll-Hypaque (Lymphoprep; Nyegaard, Oslo, Norway). Mononuclear cells were collected from the interface, washed twice in phosphate-buffered saline, resuspended in Iscoves modified Dulbecco medium (Hyclone) to a concentration of 3 × 105 cells/mL, and plated in methylcellulose-supporting media containing 3% methylcellulose, 0.2 IU/mL erythropoietin, 30% charcoal-treated fetal calf serum (ch-FCS) (Hyclone), 0.1 mM 2-mercaptoethanol (Sigma), and various concentrations of the compounds being tested. Cultures were maintained in a high-humidity 37°C, 5% CO2 incubator. All the compounds tested were added to the culture media from the onset of the culture period.
In 2 experiments the effects of HDAC inhibitors were assessed in 2-phase liquid cultures of human erythroid cells. Mononuclear cells were isolated as described earlier and were cultured using previously reported methodology.15 Briefly, the cells were first cultured in α-minimal essential medium (Sigma) containing 10% FCS, 1 μg/mL cyclosporine A (Sandoz, Basel, Switzerland), and 10% conditioned medium collected from a culture of human bladder carcinoma 5637 cell line (ATCC, Manassas, VA). After 5 days, nonadherent cells were harvested, washed, and resuspended in phase 2 medium composed of α-minimal essential medium containing 30% FCS, 1% bovine serum albumin (BSA; Sigma), 0.3 mg/mL human holotransferring (Sigma), 2 U/mL recombinant human erythropoietin (rhEpo), and 10 ng/mL recombinant human stem cell factor (rhSCF). The compound was added on day 8 of the phase 2 culture, and the cells were harvested 4 days later and analyzed for γ globin gene expression.
Measurement of frequencies of F-positive erythroblasts in human erythroid cell cultures
Erythroid burst-forming unit (BFUe) colonies were plucked from methylcellulose plates on culture day 14, gently washed in ice-cold phosphatebuffered saline (PBS) to form a single-cell suspension, and pelleted. The cells were fixed for 30 minutes at room temperature in PBS with 4% formaldehyde (Fisher Scientific, Pittsburgh, PA), and then permeabilized by serial washes in cold acetone. Cells were then washed with cold PBS/2% bovine serum albumin (BSA), stained with anti-HbF-phycoerythrin (PE; Cotex, San Francisco, CA) for 30 minutes on ice, and washed twice with cold PBS/BSA. Analysis was performed on a FACScan flow cytometer (Becton Dickinson, San Jose, CA) by using CellQuest software (BD Biosciences, San Jose, CA).
RNAse protection assay
BFUe colonies were plucked from methylcellulose plates on day 12 of culture, gently washed in 0.5 mL ice-cold PBS to form single-cell suspensions, and pelleted. Total cellular RNA was isolated by the method of Chomczynski and Sacchi.16 Human α, Aγ, and β globin mRNAs were analyzed by RNase protection assay applied as previously described.17 Antisense RNA probes were synthesized from linearized DNA templates by using T7 or SP6 polymerase. Probes pT7β, pT7Aγ, and pSp6Huα detect protected fragments of 205, 170, and 126 bp, respectively.
For assessing the effects of HDAC inhibitors on murine embryonic genes, RNA was prepared from treated GM979 cells. Murine globin mRNAs were analyzed by using quantitative RNA protection. Probes pSP6muβh1, pSP6muϵy, and pT7muζ detect protected fragments, 181, 141/145, and 151/155 bp, respectively.
Results
Compounds
The compounds used are classified in 3 categories. Chemical names are found in Table 1. We tested 4 compounds of the category for amide analogues of trichostatin A: M344, M360, M355, and MD85. They exhibit similar enzyme inhibitory properties (IC50 = 100-360 nM) but show various degrees of cellular differentiation in MEL cells at equieffective doses concerning inhibition of proliferation.8 For the hydroxamic acid analogues of trapoxin, 9 compounds are included: SW68, SW70, SW86, SW99, M232, SW183, SW187, SW188, and SW189. For scriptaid and analogues, 3 compounds are included: scriptaid,18 designated herein as HR-13, and compounds HR10 and HR11.
Induction of γ gene promoter activity in the dual luciferase assay
We have developed a dual luciferase assay that allows the detection and quantitative assessment of the effects of potential inducers on γ and β globin promoter activity. The assay is based on the culture of GM979 cells that have been stably transfected with a construct composed of a 3.1-kb microLCR (locus control region) cassette linked to a renilla luciferase gene driven by a 315-bp β gene promoter (β-luciferase) and a firefly luciferase gene driven by a 1.4-kb Aγ gene promoter (γ-luciferase).13 GM979 cells are erythroleukemia cells that have been derived from murine fetal liver19 and are permissible for human fetal globin gene expression.20 Human globin gene promoter activity in the dual luciferase system is assessed by luminometric measurement of γ luciferase and β luciferase activity and calculation of γ/γ + β luciferase ratios. In the microLCR β-luciferase γ-luciferase construct used, the γ-luciferase gene is placed distally to the LCR because of the evidence21 that in this position there is lower γ gene expression compared with the placement of the γ gene proximally to the LCR. Low levels of baseline γ-luciferase expression allow a more precise quantitative assessment of the effects of inducers. In our GM979 cell culture, the baseline γ/γ + β ratios in the absence of inducers range from 0.005 to 0.02.
Results from the 4 amide analogues of trichostatin A are shown in Figure 1 and Table 2. Only M344 displayed a significant and dose-dependent induction of the γ gene promoter (a 5.9-fold increase in γ/γ + β ratio in the presence of 5 μM of the compound). M360 increased γ promoter activity by 2.3-fold when 5 μM of the compound was present in culture. Two compounds, M355 and MD85, failed to induce the γ gene promoter.
Induction of γ gene promoter by amide analogues of trichostatin A. Four compounds were tested: M344 (▪), M360 (▤), MD85 (•), and M355 (
). Each data point is based on triplicate determinations done in 3 separate experiments. For M344 and M360, concentrations greater than those presented in the figure were severely toxic to the cells. Vertical bars indicate SEM.
Induction of γ gene promoter by amide analogues of trichostatin A. Four compounds were tested: M344 (▪), M360 (▤), MD85 (•), and M355 (
). Each data point is based on triplicate determinations done in 3 separate experiments. For M344 and M360, concentrations greater than those presented in the figure were severely toxic to the cells. Vertical bars indicate SEM.
Several hydroxamic analogues of trapoxin induced γ gene promoter activity (Figure 2; Table 2). Most prominent were the results with SW68 and SW70 which increased the γ/γ + β ratio by 5.4- and 6-fold in cultures done in the presence of 24 μM of the compounds. Two compounds, SW99 and M232, increased γ/γ + β luciferase ratios by 2.85- and 2.53-fold at 50 and 10 μM, respectively. Of the third group (Figure 3; Table 2), only scriptaid induced γ gene promoter activity (by 2.6-fold).
Induction of γ globin gene promoter by hydroxamic acid analogues of trapoxin. (A) Data from compounds M232 (▪), M183 (▤), SW187 (▴), SW188 (•), and SW189 (
). (B) Data from compounds SW68 (▪), SW70 (▤), SW99 (•), and SW86 (
). Each data point is based on triplicate determinations done in 3 separate experiments. Except for M232, concentrations greater than those presented in the figure were toxic to the cells. Error bars indicate SEM.
Induction of γ globin gene promoter by hydroxamic acid analogues of trapoxin. (A) Data from compounds M232 (▪), M183 (▤), SW187 (▴), SW188 (•), and SW189 (
). (B) Data from compounds SW68 (▪), SW70 (▤), SW99 (•), and SW86 (
). Each data point is based on triplicate determinations done in 3 separate experiments. Except for M232, concentrations greater than those presented in the figure were toxic to the cells. Error bars indicate SEM.
Induction of γ globin gene promoter by scriptaid and analogues. Three compounds were tested: scriptaid (HR13) (▪), HR11 (
), and HR10 (▵). Each data point is based on triplicate determinations done in 3 separate experiments. Except for HR10, concentrations greater than those presented in the figure were toxic to the cells. Error bars indicate SEM.
Induction of γ globin gene promoter by scriptaid and analogues. Three compounds were tested: scriptaid (HR13) (▪), HR11 (
), and HR10 (▵). Each data point is based on triplicate determinations done in 3 separate experiments. Except for HR10, concentrations greater than those presented in the figure were toxic to the cells. Error bars indicate SEM.
Effects on endogenous murine genes of GM979 cells
To test whether HDAC inhibitors which activate the γ gene promoter also induce the expression of endogenous murine embryonic genes, GM979 cells were cultured in the presence of 1.5 μM M344 or 10 μM SW68, and the expression of murine βh1, ϵy, and ζ embryonic genes was assessed. Control cultures were done in the presence of 1.5% DMSO. The ζ/α, βh1/β, and ϵy/β ratios were calculated by using mRNA protection. DMSO failed to activate the murine embryonic genes of GM979 cells (ratios: ζ/α = 0.006; βh1/β = 0.0007; ϵy/β = 0.002). In contrast, M344 and SW68 increase the levels of embryonic globin mRNAs by at least 10-fold over control levels for M344 (ratios: βh1/β = 0.068; ϵy/β = 0.042) and for SW68 (ratios: ζ/α = 0.13; βh1/β = 0.09).
Effects on acetylation of histones of GM979 cells
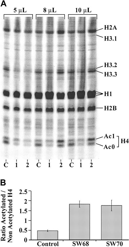
To test whether compounds that increased the γ/γ + β luciferase ratios in the GM979 cells also affected histone acetylation, histone variants and modified isoforms were separated as described in “Materials and methods.” The GM979 cells were cultured for 4 days in the presence of selected compounds, and, at the end of the incubation, histones were extracted from the isolated nuclei and electrophoresed. The electrophoretic profiles of histones extracted from GM979 cells treated with SW68 and SW70 are shown in Figure 4. In control GM979 cells cultured in the absence of HDAC inhibitors the ratio of acetylated to nonacetylated histone H4 was 0.45 ± 0.04. In the cultures done in the presence of SW68 or SW70 this ratio was 1.80 ± 0.17 and 1.74 ± 0.27, respectively, indicating that the 2 compounds substantially increased the acetylation of histone H4. In another experiment 3 other γ gene inducers, M344 (1 μM), M232 (10 μM), and H13 (1.5 μM), were added in culture. The ratio of acetylated to nonacetylated histone H4 in the control cultures was 0.45. This ratio was 0.74, 0.72, and 0.73 in the cultures done in the presence of M344, M232, and H13, respectively.
Effects on histone acetylation. (A) Electrophoretic separation of histones isolated from GM979 cells treated with 15 μM compound SW68 (lanes marked 1), 15 μM compound SW70 (lanes marked 2), or control GM979 cells cultured in the absence of HDAC inhibitors (lanes marked C). Histone preparations (5 μL, 8 μL, or 10 μL) were loaded to the gels. (B) Ratio of acetylated to nonacetylated histone H4. Notice that SW68 and SW70 increase the ratio by at least 3-fold. Error bars indicate SD.
Effects on histone acetylation. (A) Electrophoretic separation of histones isolated from GM979 cells treated with 15 μM compound SW68 (lanes marked 1), 15 μM compound SW70 (lanes marked 2), or control GM979 cells cultured in the absence of HDAC inhibitors (lanes marked C). Histone preparations (5 μL, 8 μL, or 10 μL) were loaded to the gels. (B) Ratio of acetylated to nonacetylated histone H4. Notice that SW68 and SW70 increase the ratio by at least 3-fold. Error bars indicate SD.
Induction of γ globin gene expression in primary human erythroid cell cultures
Compounds that were found to induce the γ promoter in the dual luciferase assay were tested for their effects on the endogenous human globin genes in cultures of mononuclear cells from healthy adult individuals. Multiple experiments were done with each compound by using a range of concentrations. BFUe colonies were plucked at culture day 12 for RNA preparation and at culture day 14 for measurements of the frequency of the F erythroblasts. The γ and β mRNAs were measured by RNAse protection assay, whereas the frequency of F erythroblasts was determined by fluorescence-activated cell sorting (FACS) by using anti-γ globin chain–specific antibodies.
Figure 5 shows results of RNAse protection assay using RNA from a BFUe culture done in the presence of M344. Notice the consistent increase of γ mRNA as the concentration of the compound increases in culture. The γ/γ + β mRNA ratio increased from 0.14 in the absence of M344 to 0.44 in the presence of 1.25 μM M344. Also notice the reciprocal decrease in the β mRNA, expected for compounds that affect the γ to β switch, which takes place during downstream erythroid differentiation.1,22 M344 also induces α globin mRNA synthesis (Figure 5) and red cell hemoglobinization (not shown). Therefore, it is not only the dose-dependent increase in γ mRNA but the increase in γ/γ + β mRNA ratio and the reciprocal decrease in β mRNA which indicate that, in addition to its effect on hemoglobinization, M344 is a specific γ globin gene inducer.
Assessment of effects on globin RNA levels as determined by RNAse protection. RNA from erythroblasts from BFUe's cultured in the presence of increasing concentrations of M344 was used in this experiment. Notice the increase of γ mRNA as the concentration of the compound increases in culture and the reciprocal decrease in the β mRNA. Also notice the increase in α mRNA, indicating that the compound has also nonspecific effects on globin gene expression related to the induction of terminal maturation. It is the decrease in the γ/γ + β ratio that indicates that M344 is a specific γ globin gene inducer.
Assessment of effects on globin RNA levels as determined by RNAse protection. RNA from erythroblasts from BFUe's cultured in the presence of increasing concentrations of M344 was used in this experiment. Notice the increase of γ mRNA as the concentration of the compound increases in culture and the reciprocal decrease in the β mRNA. Also notice the increase in α mRNA, indicating that the compound has also nonspecific effects on globin gene expression related to the induction of terminal maturation. It is the decrease in the γ/γ + β ratio that indicates that M344 is a specific γ globin gene inducer.
Figure 6 presents the measurements of the frequencies of F erythroblasts, ie, erythroblasts which are stained with the anti-γ chain antibody. The gray area represents baseline measurements in a BFUe culture done in the absence of compound SW68; the solid line shows results obtained in the presence of SW68. Notice the dose-dependent increase in the frequency of F erythroblasts. At 5 μM of the compound the frequency of F erythroblasts exceeded the frequency of erythroblasts which do not contain fetal hemoglobin.
Flow cytometric analysis of erythroblasts stained with a specific anti-HbF fluoresceinated monoclonal antibody. Peripheral blood mononuclear cells from a healthy individual were cultured in the presence of increasing concentrations of SW68. At day 14 of culture, BFUe-derived colonies were collected and stained with a specific PE-conjugated anti-HbF antibody, and the percentage of HbF-positive erythroblasts was determined. Notice the consistent increase of HbF-positive erythroblasts as the concentration of the compound increases in culture. Solid lines indicate results obtained in cultures done in the presence of SW68. Gray area represents the baseline measurements in a BFUe culture done in the absence of SW68.
Flow cytometric analysis of erythroblasts stained with a specific anti-HbF fluoresceinated monoclonal antibody. Peripheral blood mononuclear cells from a healthy individual were cultured in the presence of increasing concentrations of SW68. At day 14 of culture, BFUe-derived colonies were collected and stained with a specific PE-conjugated anti-HbF antibody, and the percentage of HbF-positive erythroblasts was determined. Notice the consistent increase of HbF-positive erythroblasts as the concentration of the compound increases in culture. Solid lines indicate results obtained in cultures done in the presence of SW68. Gray area represents the baseline measurements in a BFUe culture done in the absence of SW68.
The γ/γ + β mRNA ratios and frequencies of F erythroblasts in the BFUe cultures of 8 compounds are shown in Figure 7. The data represent mean ± SEM derived from at least 3 independent BFUe cultures. Solid lines and solid circles present γ/γ + β mRNA ratios; solid lines and open circles represent frequency of F erythroblasts. Several conclusions can be drawn. First, there is considerable variation in the degree of γ gene induction in the primary erythroid cells. Thus, M344, SW68, SW70, HR13, and SW99 are strong γ gene inducers, whereas SW86, M232, and HR11 produced smaller inductions. Second, both the level of γ mRNA and the frequency of F erythroblasts increase in response to these compounds, although there is proportionally higher increase in F erythroblasts by compounds which are more potent inducers. Third, the induction of γ gene expression in BFUe cultures occurs at concentrations that are about 5-fold lower than those in the GM979 cultures of the dual luciferase assay.
HDAC inhibitors induce γ -globin gene expression in human BFUe cultures. Cultures done in the presence of 8 compounds that induced the γ globin gene promoter in the dual luciferase assay. • indicates levels of γ mRNA (expressed at percentage of γ/γ + β ratios). ○ indicates frequencies of HbF-positive erythroblasts. The data represent means ± SEMs derived from 3 to 5 independent BFUe cultures done with mononuclear cells of different adult individuals. Notice that both the level of γ mRNA and the frequency of F-positive erythroblasts increase in response to these compounds.
HDAC inhibitors induce γ -globin gene expression in human BFUe cultures. Cultures done in the presence of 8 compounds that induced the γ globin gene promoter in the dual luciferase assay. • indicates levels of γ mRNA (expressed at percentage of γ/γ + β ratios). ○ indicates frequencies of HbF-positive erythroblasts. The data represent means ± SEMs derived from 3 to 5 independent BFUe cultures done with mononuclear cells of different adult individuals. Notice that both the level of γ mRNA and the frequency of F-positive erythroblasts increase in response to these compounds.
HDAC inhibitors were added to the media from the onset of the BFUe cultures; therefore, their effects were exerted throughout BFUe differentiation and erythroblast maturation. To test whether HDAC inhibitors can induce γ gene expression on erythroblasts, we used the 2-stage liquid culture system.15 In 2 experiments, compound SW68 was added on day 8 of the phase 2 of the liquid culture, when most of the cells are erythroblasts. In the control liquid culture done without HDAC inhibitor, the γ/γ + β ratio and frequency of F erythroblasts were 0.13 and 36.2%. When 3 μM SW68 was added on culture day 8, the γ/γ + β ratio and frequency of F erythroblasts were 0.26 and 43.3%. When 5 μM SW68 was added on culture day 8, the γ/γ + β ratio increased to 0.32 and the frequency of F erythroblasts to 51.7%, indicating that HDAC inhibitors can induce γ gene expression by acting at the level of erythroblasts.
Comparison with other HDAC inhibitors that induce γ gene expression
Three compounds that increase γ gene expression presumably through inhibition of histone deacetylase have been used for in vivo stimulation of γ globin synthesis in patients with thalassemia or sickle cell disease: butyrate,23,24 4-phenylbutyrate,25,26 and isobutyramide.27,28 We measured the effects of these compounds on γ gene expression in the dual luciferase assay and in BFUe cultures (Table 2). The maximal increases in γ promoter activity or γ mRNA levels at the highest concentration of these compounds used in our cultures were compared with those HDAC inhibitors investigated in clinical studies (Table 2). Notice that butyrate induces γ gene expression in the dual luciferase system when 2000 μM of the compound is present in culture and, in 10 times lower concentrations (200 μM), in BFUe cultures. The concentrations of 4-phenylbutyrate and butyramide are 2000 μM and 5000 μMinthe dual luciferase assay and 500 μM and 2000 μM in the BFUe cultures, respectively. Apparently, the HDAC inhibitors described in the present study induce γ globin gene expression in concentrations that are 1 to 2 orders of magnitude lower than those of compounds that have been tested in clinical trials of patients with thalassemia or sickle cell disease.
Lack of correlation between degree of HDAC inhibition and γ gene induction
We used the rat liver HDAC assay12 to measure the inhibition of HDAC activity by these compounds. Table 3 contains the IC50 values; for example, the compound concentrations in which the activity of HDAC is inhibited by 50%. The IC50 values are compared with the compound concentrations at which the maximal γ gene promoter induction was observed in the GM979 dual luciferase system. No such correlation between HDAC inhibition and γ gene induction was found. This phenomenon was observed with all 3 compound groups. Among the analogues of trichostatin A, M344, M355, and MD85 are all potent HDAC inhibitors (IC50 < 500 nM) but differ strikingly on γ promoter induction. Similar results were obtained with the hydroxamic acid analogues of trapoxin: SW68 and SW70 have very similar IC50 values with SW183, SW182, SW188, and SW189, but the former are strong inducers of the γ gene promoter, whereas the latter fail to induce the γ gene promoter. The same phenomenon was observed with the 3 compounds of the group of scriptaid and analogues.
It was possible that the apparent failure of HDAC inhibitors to induce γ gene expression was an artifact because of the inactivation of the compounds in the culture system we used or to their inability to enter the GM979 cells or to their inactivation by the GM979 cellular environment. Therefore, we tested whether these compounds produced cellular phenotypes characteristic of HDAC inhibitors, ie, induction of apoptosis, cytotoxicity, and induction of terminal erythroid differentiation. The GM979 cells are arrested in a late erythroid progenitor stage (erythroid colony-forming unit [CFUe] or erythroid cluster); hence, the cells are not hemoglobinized. However, addition of an inducer of erythroid cell differentiation (such as DMSO or hexamethylene bisacetamide [HMBA]) results in activation of the erythroid maturation program and hemoglobinization which can be quantitated by measuring the frequency of benzidine-positive cells.
Effects on cell numbers are shown in Figure 8A, whereas the frequencies of benzidine-positive cells are shown in Figure 8B. M355, MD85, and HR10 failed to affect cell numbers or to induce hemoglobinization at the range of compound concentrations we used (up to 500 μM) and are not included in the figures. The 4 analogues of trapoxin, SW183, SW187, SW188, and SW189, induced terminal differentiation (Figure 8B) and decreased cell numbers. Of the analogues of scriptaid, HR11 induced hemoglobinization without decreasing the number of cells. These cellular phenotypes suggest that the lack of induction of γ promoter activity by 5 compounds (SW183, SW187, SW188, SW189, and HR11) cannot be attributed to lack of effect on GM979 cells.
Studies of 4 HDAC inhibitors that failed to induce γ gene expression. (A) Effects on cell numbers. Notice that all compounds are cytotoxic in the concentrations that failed to induce the γ gene promoter. SW183 (▪), SW187 (▤), SW188 (•), and SW189 (
). (B) Induction of erythroblast maturation as detected by measurements of benzidine-positive GM979 cells. SW183 (▪), SW187 (▤), SW188 (•), and SW189 (
). Error bars indicate SEM.
Studies of 4 HDAC inhibitors that failed to induce γ gene expression. (A) Effects on cell numbers. Notice that all compounds are cytotoxic in the concentrations that failed to induce the γ gene promoter. SW183 (▪), SW187 (▤), SW188 (•), and SW189 (
). (B) Induction of erythroblast maturation as detected by measurements of benzidine-positive GM979 cells. SW183 (▪), SW187 (▤), SW188 (•), and SW189 (
). Error bars indicate SEM.
Discussion
Two approaches have been used for induction of fetal hemoglobin synthesis in vivo: manipulation of the kinetics of erythropoiesis by using cytotoxic drugs and modulation of chromatin by using histone deacetylase inhibitors. The application of the first approach was based on the evidence that fetal hemoglobin can be induced in adult individuals by manipulations of erythropoiesis that produce rapid erythroid regeneration: severe anemia following phlebotomy,29,30 rapid expansion of erythropoiesis in the recovery phase of transient erythroblastogenia of childhood30,31 or bone marrow transplantation,32,33 following treatment of severe iron deficiency,34 or treatment of baboons with erythropoietin.35 These studies supported the concept that rapid erythroid regeneration stimulates fetal hemoglobin synthesis through a premature terminal differentiation of cells having a program allowing γ gene expression.22,36,37 It was subsequently found that cell cycle–specific cytotoxic drugs induce fetal hemoglobin synthesis in primates38,39 and in patients with sickle cell disease.40,41 Extensive clinical investigations42-44 led to the introduction of hydroxyurea in the treatment of sickle cell disease. Not all patients with sickle cell anemia respond to hydroxyurea treatment, and this compound is ineffective in patients with severe β thalassemia. The development of HDAC inhibitors for pharmacologic induction of fetal hemoglobin synthesis has its origin in the demonstration that butyrate inhibits γ to β switching in sheep.45 Subsequent studies showed that butyrate induces fetal hemoglobin in human erythroid cultures46 in adult baboons,47,48 in certain patients with thalassemia,23,24 and in most patients with sickle cell disease.49 Induction of fetal hemoglobin requires intravenous administration of butyrate, but phenylbutyrate and butyramide can be administered orally and have been used in the treatment of patients with β thalassemia26-28 or sickle cell disease25 but with only small effects on fetal hemoglobin synthesis. It is apparent that new inducers of fetal hemoglobin are needed, especially for the treatment of severe β thalassemia. All the clinically useful cell cycle–acting cytotoxic drugs have already been used for hemoglobin F induction in experimental animals in the past, and no new compounds have been tested in humans after the widespread introduction of hydroxyurea in the treatment of sickle cell disease. In contrast to the cell cycle–specific drugs, there is a large repertoire of HDAC inhibitors that can be investigated for discovering new and potentially clinically useful inducers of fetal hemoglobin.
We have previously shown that hydroxamic acid derivatives of butyrate and propionate are strong γ gene inducers and exert their effects in concentrations that are almost 1 order of magnitude lower than those of the parent compounds.7 Two other hydroxamic acid derivatives, SAHA and SBHA, induce γ globin gene expression in concentrations that are approximately 2 orders of magnitude lower than those of butyrate and propionate.7 Here, we report induction of γ gene expression by 3 classes of HDAC inhibitors: analogues of trichostatin A, analogues of trapoxin, and scriptaid and its analogues. The most potent inducers in human BFUe cultures were the trichostatin analog M344, the trapoxin analogues SW68 and SW70, and scriptaid. All these compounds induced γ gene expression in low micromolar concentrations. Although these results are encouraging, they do not necessarily mean that these HDAC inhibitors will be more effective than butyrate in vivo, because other parameters, such as rate of biotransformation and cellular and organ toxicity, are the most important determinants of in vivo effectiveness of fetal hemoglobin inducers.
An interesting finding in our study was the lack of a clear structure relationship between HDAC inhibition and potency of γ globin gene induction. The peak of γ induction activity resides in the only aminoheptanoate tested, M344, and the phenylalanine amides as SW68 and SW70 which are better inducers than the phenylalanine methyl esters M232 and SW99 and their thienyl congener SW86 in the trapoxin analog series. Structurally, very similar compounds have different profiles of cellular activities, and similar profiles are observed among less closely related analogues. We have observed similar findings for the p21 promoter,11 and a potential HDAC inhibitor subtype selectivity might be the key to answer the questions raised by this finding. M344 was also a very good inducer in the p21 promoter assay as compared with MD85, and computational docking experiments in a homology model of human HDAC-1 indicate different binding modes for that subtype.11 This finding implies that they may inhibit different HDAC subtypes with different potencies. Test systems on HDAC subtypes are not readily available for screening of larger sets of compounds. Therefore, reports on HDAC subtype selectivity are very rare in the literature.50,51 Our rat liver HDAC is a mixture of several subtypes; therefore, the observed IC50 values are the mean of potentially different components. Further screening of active structure subsets (amino acid amides as SW68 and SW70 and aminoheptanoates as M344) will reveal if the potent γ globin gene inducer properties are consistent within those classes.
Three classes of histone deacetylases have been characterized. Class I is composed of 4 genes (HDAC1 to HDAC4), class II is composed of 6 genes (HDAC5 to HDAC10), and class III is composed of 7 genes (SIRT1 to SIRT7). HDAC1 and HDAC2 are components of the transcriptional repression complex SIN3-HDAC and the nucleosomes remodeling deacetylase NuRD-Mi2-NRD complex. Class I HDACs also affect transcription through the binding of their complexes to transcriptional factors. On recruitment to chromatin, class I HDACs deacetylate histone tails and induce transcriptional repression. Class II HDACs bind to transcriptional factors and hormone receptors and induce transcriptional repression. There is considerable experimental evidence that chromatin remodeling is involved in the developmental control of globin gene expression,52,53 but how the interplay between HDACs and transcriptional factors and cofactors exert their effects on globin chromatin and result in transcriptional silencing of the globin genes in specific developmental stages is still unclear. Our finding of selectivity of γ gene induction by the compounds we tested raises the possibility that a specific class of HDACs (or a specific HDAC) participates in the silencing complex that interacts with the γ globin gene chromatin. Chromatin analysis techniques (such as chromatin immunoprecipitation assays) may allow testing of this hypothesis.
Prepublished online as Blood First Edition Paper, August 14, 2003; DOI 10.1182/blood-2003-02-0478.
Supported by grants from the National Institutes of Health (grants HL20899 and DK45365). M.J. is supported by the Fonds der Chemischen Industrie and the Deutsche Forschungsgemeinschaft (Ju 295/2).
The publication costs of this article were defrayed in part by page charge payment. Therefore, and solely to indicate this fact, this article is hereby marked “advertisement” in accordance with 18 U.S.C. section 1734.
We thank H. Hruby for synthesizing compound HR10.









). Each data point is based on triplicate determinations done in 3 separate experiments. For M344 and M360, concentrations greater than those presented in the figure were severely toxic to the cells. Vertical bars indicate SEM.





