Topics:
mott plasma cells
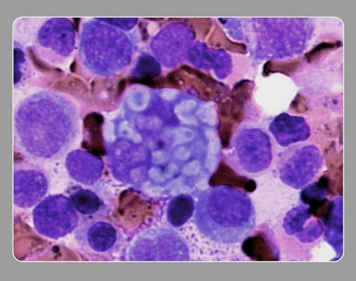
Mott cells are plasma cells characterized by an accumulation of multiple Russell bodies, globular cytoplasmic inclusions composed of immunoglobulin.
Copyright © 2003 by The American Society of Hematology
2003

Peter Maslak, Memorial Sloan-Kettering Cancer Center
Peter Maslak, Memorial Sloan-Kettering Cancer Center