Chronic myeloproliferative disorders (CMPDs) comprising chronic myeloid leukemia (CML), polycythemia vera (PV), essential thrombocythemia (ET), and chronic idiopathic myelofibrosis (IMF) differ in their potential for resulting in bone marrow fibrosis. In IMF, fibrosis usually starts developing in close vicinity to clusters of proliferating and enlarged atypical megakaryocytes.1 Megakaryocyte-derived basic fibroblastic growth factor (bFGF) has been implicated in the pathogenesis of bone marrow fibrosis in IMF.2,3 Different isoforms of bFGF exist and stimulate target cells via membrane receptor or nuclear binding.4 Distinct biologic functions, depending on the subcellular location of the bFGF species generated, have been described, whereby the nuclear isoform is associated with growth and proliferation.5
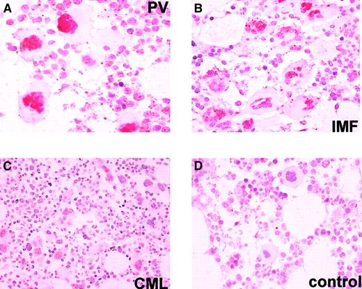
In an immunohistochemical study of bone marrow trephines, all or at least a considerable proportion of megakaryocytes in PV (n = 10), ET (n = 10), and IMF (n = 19), including the prefibrotic stage (n = 10), exhibited a strong nuclear bFGF expression exceeding that of all other bone marrow cells except endothelium. By contrast, megakaryocytes in CML (n = 10) and controls with reactive megakaryocytic hyperplasia (n = 10) showed no or merely a weak nuclear positivity that did not exceed that of the precursors of the myeloid or erythroid lineage (Figure 1). Fewer than 10% of the non-CML CMPD cases did not exhibit nuclear labeling of megakaryocytes, and a nuclear staining similar to that observable in a minority of lower-expressing CMPD cases occurred exceptionally in one of the reactive control cases.
Immunohistochemical detection of bFGF expression.
Immunohistochemical detection of bFGF expression in bone marrow biopsies from (A) polycythemia vera (PV), (B) prefibrotic stage of idiopathic myelofibrosis (IMF), (C) chronic myeloid leukemia (CML), and (D) reactive changes. A strong nuclear labeling exceeding that of all other bone marrow cells can be observed in PV and IMF (A,B). A considerably weaker and faint staining not highlighting the megakaryocyte nuclei occurred in CML and reactive controls (C,D). Magnification (A,B), × 400; (C), × 200; and (D), × 300 (polyclonal antibody #AF-233-NA, R&D Systems, Minneapolis, MN, diluted 1:50).
Immunohistochemical detection of bFGF expression.
Immunohistochemical detection of bFGF expression in bone marrow biopsies from (A) polycythemia vera (PV), (B) prefibrotic stage of idiopathic myelofibrosis (IMF), (C) chronic myeloid leukemia (CML), and (D) reactive changes. A strong nuclear labeling exceeding that of all other bone marrow cells can be observed in PV and IMF (A,B). A considerably weaker and faint staining not highlighting the megakaryocyte nuclei occurred in CML and reactive controls (C,D). Magnification (A,B), × 400; (C), × 200; and (D), × 300 (polyclonal antibody #AF-233-NA, R&D Systems, Minneapolis, MN, diluted 1:50).
Because the enhanced nuclear decoration of megakaryocytes could be due to either uptake of bFGF secreted by other bone marrow cells4,5 or to autocrine expression, we investigated bFGF mRNA in megakaryocytes by real-time reverse transcriptase–polymerase chain reaction (RT-PCR). Total RNA was extracted and reversely transcribed6 from 50 to 100 megakaryocytes per case isolated by laser-microdissection (P.A.L.M., Wolfratshausen, Germany) from tissue sections of bone marrow.7 After linearity of PCR amplification over a broad concentration range and equal efficiencies for all primers/probe systems could be shown, relative quantification of bFGF and β-glucuronidase (β-GUS) mRNA was performed in 2 independent runs using the ΔΔCT–method.8 Megakaryocytes from PV, ET, and prefibrotic and fibrotic IMF displayed exaggerated bFGF mRNA levels compared to megakaryocytes from normal or reactive controls and CML (P < .0001, respectively). Interestingly, the highest amount of bFGF mRNA was found in megakaryocytes from PV and not in those derived from fibrotic IMF (Figure2).
bFGF expression in laser-microdissected megakaryocytes.
In microdissected megakaryocytes, overexpression of bFGF mRNA was found in PV (× 10, P < .0001), in fibrotic IMF (× 8.9,P < .001), in prefibrotic IMF (× 6.8,P < .009), and in ET (× 6.8, P < .0001), compared to control megakaryocytes. In CML, megakaryocytes exhibited moderately higher bFGF mRNA levels compared to controls without significance, but significant differences occurred in comparison to PV (P < .0001), fibrotic IMF (P < .002), and prefibrotic IMF and ET (P < .04 andP < .001, respectively). Real-time RT-PCR with bFGF forward primer 5′-CCCGGCCACTTCAAGGA; bFGF reverse primer 5′-TGGATGCGCAGGAAGAAG and bFGF probe 5′-CCCAAGCGGCTGTACTGCAAAAACG. β-Glucuronidase (β-GUS) forward primer 5′-CTCATTTGGAATTTTGCCGATT, β-GUS reverse primer 5′-AGTGAAGATCCCCTTTTTA, and β-GUS probe 5′-TGAACAGTCACCGACGAGAGTGCTGG. Transcript levels are depicted as multiples of the amount found in reactive control cases ( = 1).
bFGF expression in laser-microdissected megakaryocytes.
In microdissected megakaryocytes, overexpression of bFGF mRNA was found in PV (× 10, P < .0001), in fibrotic IMF (× 8.9,P < .001), in prefibrotic IMF (× 6.8,P < .009), and in ET (× 6.8, P < .0001), compared to control megakaryocytes. In CML, megakaryocytes exhibited moderately higher bFGF mRNA levels compared to controls without significance, but significant differences occurred in comparison to PV (P < .0001), fibrotic IMF (P < .002), and prefibrotic IMF and ET (P < .04 andP < .001, respectively). Real-time RT-PCR with bFGF forward primer 5′-CCCGGCCACTTCAAGGA; bFGF reverse primer 5′-TGGATGCGCAGGAAGAAG and bFGF probe 5′-CCCAAGCGGCTGTACTGCAAAAACG. β-Glucuronidase (β-GUS) forward primer 5′-CTCATTTGGAATTTTGCCGATT, β-GUS reverse primer 5′-AGTGAAGATCCCCTTTTTA, and β-GUS probe 5′-TGAACAGTCACCGACGAGAGTGCTGG. Transcript levels are depicted as multiples of the amount found in reactive control cases ( = 1).
We conclude that nuclear overexpression of bFGF characterizes megakaryocytes from PV, ET, cellular and fibrotic IMF and, in most instances, discriminates these diseases from CML and reactive controls. The increased presence of nuclear-detectable bFGF is most likely due to growth factor production by megakaryocytes in an autocrine fashion. bFGF could primarily be involved in the exaggerated proliferation of megakaryocytes in CMPD rather than in direct induction of fibroblasts, as has been suggested earlier.2,3 It cannot be excluded, however, that an enhanced turnover of megakaryocytes in IMF deliberates more bFGF from disintegrating cells, which then might lead to a paracrine stimulation of fibroblasts.9
Supported by grant HiLF 05/01 from Medizinische Hochschule Hannover.

