Abstract
Hemochromatosis is a common disorder characterized by excess iron absorption and accumulation of iron in tissues. Usually hemochromatosis is inherited in an autosomal recessive pattern and is caused by mutations in the HFE gene. Less common non-HFE–related forms of hemochromatosis have been reported and are caused by mutations in the transferrin receptor 2 gene and in a gene localized to chromosome 1q. Autosomal dominant forms of hemochromatosis have also been described. Recently, 2 mutations in theferroportin1 gene, which encodes the iron transport protein ferroportin1, have been implicated in families with autosomal dominant hemochromatosis from the Netherlands and Italy. We report the finding of a novel mutation (V162del) in ferroportin1 in an Australian family with autosomal dominant hemochromatosis. We propose that this mutation disrupts the function of the ferroportin1 protein, leading to impaired iron homeostasis and iron overload.
Introduction
Hereditary hemochromatosis is an autosomal recessive disorder affecting approximately 1 in 200 people of northern European origin.1 Progressive accumulation of iron can lead to tissue damage resulting in cirrhosis, diabetes mellitus, arthropathy, cardiomyopathy, endocrine abnormalities, and hepatocellular carcinoma.2 Mutations in the HFEgene, which was identified in 1996, have been identified as the most common cause of the disorder.3
Non-HFE–related forms of iron overload have also been described. These include juvenile hemochromatosis4(HFE2) and HFE3. The HFE2 locus maps to chromosome 1q; however, the gene responsible has not yet been identified.5 Recently, mutations in the transferrin receptor 2 gene have been implicated in a new form of hemochromatosis(HFE3).6 7
Hemochromatosis families with apparent autosomal dominant inheritance have been reported.8-10 Recently, a new locus for an autosomal dominant form of hemochromatosis (HFE4) was identified on chromosome 2q32. Two missense mutations in theferroportin1 gene, which maps to this region, were detected in 2 families with autosomal dominant hemochromatosis from the Netherlands and Italy.11,12 The ferroportin1gene, also known as SLC11A3, IREG1, andMTP1,13-15 encodes a multiple transmembrane domain protein responsible for iron export from cells.
We report a 3–base pair (bp) deletion in ferroportin1associated with autosomal dominant hemochromatosis in an Australian family. We propose that this mutation, which results in the deletion of a valine residue in the protein, is a loss-of-function mutation that results in impaired iron homeostasis and leads to iron overload.
Study design
Patients
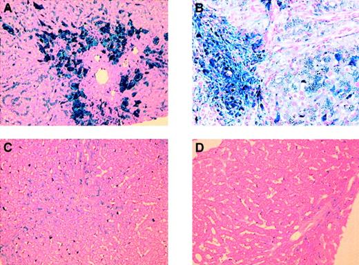
This study was approved by the Bancroft Centre Research Ethics Committee of the Queensland Institute of Medical Research, and written informed consent according to the Declaration of Helsinki was obtained from all family members. The proband presented at age 56 years with thrombocytopenia. He also had hepatomegaly and skin pigmentation. Serum ferritin concentration was 12 000 μg/L. Liver histology showed portal fibrosis and Perls stain grade 4. Iron was present in hepatocytes and Kupffer cells (Figure1A). The hepatic iron concentration was 475 μmol/g dry weight, and the hepatic iron index was 8.3. He was treated by venesection; 80 g iron had to be removed to return his serum ferritin concentration to a normal level. Family screening of the proband revealed 3 other affected relatives—his son, his daughter, and a brother (Table 1). Liver biopsy sections from all affected family members are shown in Figure 1. All have prominent iron staining in Kupffer cells in addition to hepatocytes. None of the affected family members had any problems tolerating venesection therapy.
Liver biopsy sections from affected family members stained with Perls Prussian blue.
(A) Proband, showing grade 4 iron accumulation at age 56 years. (B) Brother of the proband, showing grade 4 iron accumulation at age 73 years. (C) Son of the proband, showing grade 3 iron accumulation at age 20 years. (D) Daughter of the proband, showing grade 2 iron accumulation at age 19 years. In all patients, iron is prominent in Kupffer cells and macrophages. Iron overload is greater in the older patients, suggesting that iron accumulation is progressive with age. Original magnification × 100.
Liver biopsy sections from affected family members stained with Perls Prussian blue.
(A) Proband, showing grade 4 iron accumulation at age 56 years. (B) Brother of the proband, showing grade 4 iron accumulation at age 73 years. (C) Son of the proband, showing grade 3 iron accumulation at age 20 years. (D) Daughter of the proband, showing grade 2 iron accumulation at age 19 years. In all patients, iron is prominent in Kupffer cells and macrophages. Iron overload is greater in the older patients, suggesting that iron accumulation is progressive with age. Original magnification × 100.
Controls
A control group of 103 healthy Australian persons was studied to determine the frequency of a novel ferroportin1 mutation and to exclude it as a common polymorphism.
Molecular studies
DNA was prepared from peripheral blood using standard methods.16 All affected family members were screened for the HFE mutations C282Y, H63D, and S65C as described17,18 and for the Y250X mutation ofTfR2 using polymerase chain reaction (PCR) and restriction endonuclease digestion with BfaI. The entire coding region and splice sites of HFE were sequenced in the proband as described.18
The entire coding region and splice sites of theferroportin1 gene were PCR amplified from the proband and sequenced. PCR products of ferroportin1 exon 5 from all family members and 103 controls were also analyzed by denaturing high-performance liquid chromatography.
Results and discussion
The phenotype of iron overload in the family described in this report differs from that typical of HFE-related hemochromatosis. The pattern of inheritance appears to be autosomal dominant. Serum ferritin levels in these patients are elevated early in the course of disease, whereas transferrin saturations are not elevated until later in life. Iron is more prominent in Kupffer cells and other macrophages in these patients. In HFE-related hemochromatosis, iron accumulates predominantly in hepatocytes and is not usually seen in Kupffer cells until late in the course of disease.
To identify the genetic defect responsible for iron overload in this family, we screened all affected family members for the HFEmutations C282Y, H63D, and S65C and for the TfR2 mutation Y250X. The brother and daughter of the proband were heterozygous for H63D. None of the other HFE or TfR2 mutations were detected. Sequencing of the entire HFE coding region and splice sites in the proband did not detect any other pathogenic mutations.
The entire coding region and splice sites of ferroportin1were sequenced in the proband. A heterozygous deletion of 3 bp (TTG) was detected in exon 5. Sequencing of exon 5 in all family members showed that this 3-bp deletion was present in all affected members but was absent in all unaffected members. The 3-bp deletion (485_487delTTG) predicts the deletion of a valine residue (V162del).
PCR fragments of exon 5 were further analyzed by denaturing high-performance liquid chromatography. The presence of the deletion in all affected family members and its absence in all unaffected family members was confirmed by this method. To confirm that this deletion was not a common polymorphism, a control group comprising 103 healthy persons was analyzed. The mutation was not detected in any of the controls studied.
This is the third reported mutation in ferroportin1associated with autosomal dominant hemochromatosis. In agreement with Montosi et al,12 we propose that heterozygosity for these mutations causes loss of function leading to haploinsufficiency of ferroportin1 and impaired iron recycling by reticuloendothelial (RE) macrophages. The flux of iron through the RE macrophages far exceeds the flux of iron through the duodenal mucosa.19 Therefore, we suggest that haploinsufficiency for ferroportin1 would be more limiting to iron transport in RE cells than in duodenal enterocytes.
The mutation we have identified results in the deletion of 1 of 3 conserved valine residues predicted to reside in a loop between transmembrane domains.13,14 This domain may be critical to the overall structure of the protein and the deletion of one amino acid sufficient to disrupt the structure and function of the protein. The 2 previously reported human ferroportin1 mutations, N144H and A77D, are predicted to reside either close to or in transmembrane segments.11 12 Additional studies will be required to determine the consequences of these mutations on the trafficking and function of ferroportin1.
The finding of this novel mutation in ferroportin1 in non-HFE–related hemochromatosis lends further support for the key role that this protein plays in body iron homeostasis. Mutation analysis of ferroportin1 will be useful in patients with non-HFE–related iron overload, especially in those whose families appear to show autosomal dominant inheritance.
Supported by the National Health and Medical Research Council of Australia (grant 953219).
The online version of the article contains a data supplement.
The publication costs of this article were defrayed in part by page charge payment. Therefore, and solely to indicate this fact, this article is hereby marked “advertisement” in accordance with 18 U.S.C. section 1734.
References
Note
Supplemental information on the molecular analysis of ferroportin1 is available on the Blood website; see the Supplemental Information link at the top of the online article.
Author notes
V. Nathan Subramaniam, Membrane Transport Laboratory, Queensland Institute of Medical Research, 300 Herston Rd, Herston, Brisbane, QLD 4006, Australia; e-mail: nathans@qimr.edu.au.
