Key Points
The CCL2/CCR2 axis is elevated by MYC and BCL2 via nuclear factor κB p65 in DE-DLBCL.
CCL2/CCR2 axis promotes M2 polarization of macrophage and immunosuppressive environment, being a potential therapeutic target in DE-DLBCL.
Visual Abstract
The pathogenesis of myelocytomatosis oncogene (MYC) and B-cell lymphoma 2 (BCL2) double-expressor diffuse large B-cell lymphoma (DE-DLBCL) remains unclear. To investigate how MYC and BCL2 contribute to tumor aggressiveness, we analyzed tumors from 14 patients each with DE-DLBCL and non–DE-DLBCL using whole transcriptome sequencing. Validation was performed using publicly available data sets, tumor tissues from 126 patients, DLBCL cell lines, and a syngeneic mouse lymphoma model. Our transcriptome analysis revealed significantly elevated messenger RNA levels of C-C motif chemokine ligand 2 (CCL2) and C-C chemokine receptor type 2 (CCR2) in DE-DLBCLs when compared with non–DE-DLBCLs (adjusted P value < .05). Transcriptomic analysis of public data sets and immunohistochemistry corroborated these findings, indicating increased levels of M2 macrophages but a reduction in T-cell infiltration in DE-DLBCLs when compared with non–DE-DLBCLs (all P < .05). CCR2 expression was observed mainly in tumor-infiltrating macrophages and not in DLBCL cells. Increased expression of CCL2 and CCR2 was significantly associated with a poor prognosis in patients with DLBCL. In the in vitro analyses, MYChigh/BCL2high DLBCL cells showed higher CCL2 expression and secretion than MYClow/BCL2low cells. MYC and BCL2 increased CCL2 expression and secretion by upregulation of nuclear factor κB p65 in DLBCL cells, and CCL2 promoted M2 polarization of macrophages. In a mouse lymphoma model, CCL2 contributed to the immunosuppressive microenvironment and tumor growth of MYChigh/BCL2high tumors. We demonstrated that the increased CCL2/CCR2 axis confers aggressiveness to DE-DLBCL by increasing M2 polarization and can be a potential therapeutic target.
Introduction
Diffuse large B-cell lymphoma (DLBCL) exhibits significant heterogeneity in terms of pathologic features, biology, and clinical behavior.1 Despite this diversity, conventional R-CHOP (rituximab, cyclophosphamide, hydroxydaunorubicin, Oncovin, and prednisone) chemoimmunotherapy has consistently been applied with variable responses among patients. Many efforts have been made to predict the prognosis of patients with DLBCL based on clinical, histopathologic, and molecular/cytogenetic characteristics.
Myelocytomatosis oncogene (MYC) encodes a transcription factor that plays various roles in cell proliferation and growth, DNA replication, protein biosynthesis, and regulation of metabolism.2MYC alterations and overexpression have been identified in many tumors and are associated with aggressive behaviors.3,4 B-cell lymphoma 2 (BCL2) is an antiapoptotic molecule that is frequently overexpressed and genetically altered in various tumors.5 In malignant lymphoma, BCL2 overexpression acts synergistically with MYC and other oncogenes to promote lymphoma progression and resistance to chemotherapy.6 Double-expressor lymphoma refers to a subset of DLBCL cases that show the overexpression of both MYC and BCL2 as evaluated by immunohistochemistry (IHC). Double-expressor lymphoma accounts for about 30% of DLBCL cases and is associated with the non-germinal center B-cell (GCB) subtype, older age, and a higher Ki-67 index. Although these cases do not form a distinct clinicopathological entity, MYC/BCL2 double expression (DE) serves as an independent poor prognostic marker in patients with DLBCL treated with R-CHOP.7-9 However, the mechanisms underlying the aggressiveness of DE-DLBCL remain unclear, and there are no differences in the management of patients with and without DE-DLBCL.10 Several clinical trials are ongoing for DE-DLBCL (NCT03036904 and NCT02213913)11; however, targeted therapeutic strategies for this aggressive DLBCL subset remain elusive. Understanding the pathobiology of DE-DLBCL is crucial for developing novel therapeutic strategies.
The tumor microenvironment (TME) plays an important role in tumor progression and affects the effectiveness of cancer therapies. Understanding the tumor immune microenvironment is essential in immunotherapy. T-cell–inflamed tumors exhibit a favorable prognosis, whereas T-cell–noninflamed and/or immunosuppressive cell-rich tumors have a worse prognosis and show resistance to immunotherapies in lymphomas.12-14 The tumor immune landscape is mainly shaped by local chemokines, and oncogenic alterations also play a significant role.15,16 In lymphomas, alterations in PTEN, EZH2, TP53, and MYC hinder poor immune cell infiltration and activation, whereas constitutive activation of the nuclear factor κB (NF-κB) pathway, microsatellite instability, and/or the presence of apolipoprotein B mRNA editing enzyme, catalytic polypeptide-like (APOBEC) mutational signatures promote an inflamed TME in lymphoma.12 However, the impact of the DE of MYC and BCL2 on the immune environment of lymphomas remains unclear.
This study aimed to evaluate the underlying pathophysiology of DE-DLBCL with specific focus on the immune landscape and to propose potential treatment targets.
Materials and methods
Patients
The patients who underwent whole transcriptomic analysis (RNA sequencing [RNA-seq]) included 14 patients with nodal DE-DLBCL and 14 patients with nodal non–DE-DLBCL who were newly diagnosed between 2014 and 2017 at the Seoul National University Hospital (SNUH). The detailed clinicopathologic features of the cases are listed in supplemental Data 1. For IHC validation, a separate cohort of 126 patients with DLBCL, not otherwise specified who underwent treatment with R-CHOP therapy from 2013 to 2020 at the SNUH was used. The clinicopathologic features according to MYC and BCL2 DE status for the RNA-seq and IHC cohorts are summarized in supplemental Tables 1 and 2. Patients with specific DLBCL types, including primary mediastinal LBCL, primary central nervous system lymphoma, Epstein-Barr virus–positive DLBCL, T-cell/histiocyte–rich LBCL, and immunodeficiency-associated DLBCL, were excluded. This study adhered to the ethical guidelines outlined in the Declaration of Helsinki of the World Medical Association. This study was approved by the institutional review board of the SNUH (H-1609-129-795).
IHC
Tumor microarrays were constructed using representative formalin-fixed paraffin-embedded tissues. IHC was performed using a panel of antibodies (Abs) that are listed in supplemental Method Table 1. DE-DLBCL is defined as DLBCL characterized by the expression of both MYC (in ≥40% of tumor cells) and BCL2 (in ≥50% of tumor cells). The detailed information is described in the supplemental Methods.
RNA-seq and bioinformatics analyses
Total RNA was extracted from formalin-fixed, paraffin-embedded tissues, and 1 μg of total RNA was used for complimentary DNA library construction. The library was sequenced using an Illumina HiSeq2500 sequencer (Illumina Inc, San Diego, CA). Gene expression levels were quantified using Cufflinks v2.1.1 with the Ensembl release 77 gene annotation database. Gene set enrichment analysis and differentially expressed gene (DEG) analysis were performed, and immune cell deconvolution analysis was conducted using the Estimating Relative Subsets of RNA Transcripts (CIBERSORTx) algorithm.17 The detailed methods are described in supplemental Methods.
Validation using public databases
Three publicly available DLBCL data sets were used for external validation. Clinical and messenger RNA (mRNA) expression data from Schmitz et al18 were obtained from the National Cancer Institute Genomic Data Commons (https://gdc.cancer.gov/about-data/publications/DLBCL-2018; acquired on 10 January 2020). Data from studies by Sha et al19 (GSE117556) and Painter et al20 (GSE181063) were downloaded from the Gene Expression Omnibus database.
In the data sets from Schmitz et al18 and Painter et al20 (GSE181063), cases with mRNA values above the median for MYC and BCL2 were categorized as DE-DLBCL and other cases as non-DE-DLBCL. In the GSE117556 data sets, DE-DLBCL was pre-defined by the authors, and this information was directly used for analysis.
Cell lines and reagents
The following cell lines were used in this study: HBL-1, OCI-LY10, OCI-LY3, HT, DOHH2, SUDHL-10, SUDHL-8, SUDHL-5, SUDHL-4, OCI-LY8, OCI-LY1, U-2932, TMD8 (human B-cell lymphoma), THP-1 (human monocyte), and A20 (mouse B-cell lymphoma). OCI-LY3 and OCI-LY10 cells were cultured in Iscove's Modified Dulbecco's Medium (Biowest, Nuaillé, France) supplemented with 20% fetal bovine serum and 100 U/mL penicillin/streptomycin. The other cell lines were cultured in RPMI 1640 (Biowest) supplemented with 10% fetal bovine serum and 100 U/mL penicillin/streptomycin. Cell lines were procured from the American Type Culture Collection (Manassas, VA) or the Korean Cell Line Bank (Seoul, Republic of Korea).
Information on the reagents used is listed in supplemental Method Table 2.
MYC/BCL2 overexpression and knockdown
Cells were transfected with MYC-expressing plasmid vector, BCL2-expressing plasmid vector, MYC small interfering RNAs (siRNAs), or BCL2 siRNAs using Lipofectamine 3000 transfection reagent (Thermo Fisher Scientific, Waltham, MA) according to the manufacturer’s instructions. Information on the plasmids and siRNAs used is provided in supplemental Method Table 3.
To generate stable mouse cell lines, pLVX-mCherry-mMyc and pLVX-EGFP-mBcl2 were packaged into lentiviral particles using Lenti-X-293T packaging cells co-transfected with the viral packaging plasmids pVSV-G, BH10, and pcREV, and viral supernatants were harvested 32 to 40 hours after transfection. A20 cells were infected with Polybrene-supplemented lentiviral supernatants and sorted using a FACSAria Ⅲ cell sorter (BD Biosciences, Franklin Lakes, NJ).
qRT-PCR
Quantitative reverse transcriptase polymerase chain reaction (qRT-PCR) analysis was performed as detailed in the supplemental Methods using primers with the sequences listed in supplemental Method Table 4.
Western blotting
Western blotting was performed as detailed in the supplemental Methods using the Abs listed in supplemental Method Table 5.
Immunofluorescence staining
Immunofluorescence staining was performed as described in the supplemental Methods.
Flow cytometry
Flow cytometric analysis was performed as detailed in the supplemental Methods section using the Abs listed in supplemental Method Table 6.
Enzyme-linked immunosorbent assay
CCL2 in the culture supernatant was measured using an enzyme-linked immunosorbent assay kit (R&D Systems, Minneapolis, MN) according to the manufacturer’s instructions.
Migration assay
Cell migration was evaluated using 8-μm pore Transwells (SPL Life Sciences, Gyeonggi-do, Republic of Korea). THP-1 cells were stimulated with 200 μg/mL phorbol myristate acetate for 24 hours to induce differentiation into macrophages. These cells were then seeded in the upper well of the Transwell chamber, whereas the lower compartment was filled with DLBCL cells, either in the presence or absence of an anti-CCL2 neutralizing Ab (nAb) or recombinant CCL2. After 12 hours of incubation, the cells in the upper well were wiped with a wet cotton swab, and the cells on the lower side of the filter were fixed and stained with crystal violet. The cells were counted microscopically and quantified using ImageJ software.
Macrophage polarization assay
THP-1–derived macrophages were cocultured with DLBCL cells using 0.4-μm pore Transwells (SPL Life Sciences), either in the presence or absence of an anti-CCL2 nAb or recombinant CCL2. After 24 hours of incubation, THP-1–derived macrophages were evaluated for the presence M1- and M2-macrophage markers using qRT-PCR and flow cytometry analysis.
Mice and in vivo experiments
At the age of 6 to 7 weeks, specific pathogen-free wild-type BALB/c female mice were purchased from Orient Bio (Gyeonggi-do, Republic of Korea) and maintained under specific pathogen-free conditions according to the animal care guidelines approved by the institutional animal care and use committee of the Seoul National University (approval no. SNU-220303−5) and the SNUH (approval no. 22−0082-S1A0[1]).
Stable MYC/BCL2-overexpressing A20 cells and their respective control cells were subcutaneously implanted (5 × 105 cells per mouse) into the flanks of female BALB/c mice. After cell implantation, the primary tumor volume was measured once every 2 to 3 days using calipers and calculated using the following formula: tumor volume (mm3) = (longest diameter × shortest diameter2)/2. For clodronate liposomes treatment, clodronate or control liposomes (6.5 μL/g body weight) were administered intraperitoneally (IP) 3 times per week to mice. For the anti-CCL2 nAb treatment, anti-CCL2 or control immunoglobulin G (IgG) Abs (10 mg/kg body weight) were administered IP 3 times per week.
Statistical analysis
Continuous values were compared using the Mann-Whitney U test, Kruskal-Wallis test, unpaired 2-tailed Student t test, and 1-way analysis of variance, followed by Dunnett multiple comparison test. Categorical values were compared using Pearson χ2 test, Fisher exact test, and linear-by-linear association. Survival analysis was conducted using the Kaplan-Meier method and log-rank test. Univariate and multivariate survival analyses were performed using Cox proportional hazards models. All P values were obtained using 2-sided tests, and a P value <.05 was considered statistically significant. Statistical analyses were performed using SPSS version 21 (IBM Corp, Armonk, NY) and GraphPad Prism 9 statistical software (GraphPad Software, San Diego, CA).
Results
Whole transcriptome analysis revealed differentially activated biologic pathways and gene expression when DE-DLBCL was compared with non–DE-DLBCL.
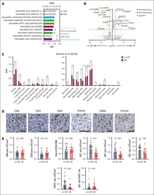
RNA-seq analysis of 14 nodal DE-DLBCL and 14 nodal non–DE-DLBCL tissues revealed that, in the DE-DLBCL tissues, the pathways associated with MYC target responses, unfolded protein responses, various mitochondria-related biologic processes, and the cell cycle/apoptosis pathway were upregulated (Figure 1A). DEG analysis revealed 128 genes that met the stringent criteria (adjusted P false discovery rate <.05; fold change >2), and 18 of them were associated with immune responses (Figure 1B; supplemental Data 2). DE-DLBCL showed higher expression of anti-inflammatory and immunoglobulin genes than non–DE-DLBCL. In contrast, the expression levels of certain genes, such as ITGAM (CD11b) (primarily expressed in monocytes, macrophages, and granulocytes), ITGAX (CD11c; predominantly expressed in dendritic cells, monocytes, macrophages, and granulocytes), and major histocompatibility complex class II molecules (HLA-DRB5 and HLA-DRB1), were high in non–DE-DLBCL. DE-DLBCL displayed significantly higher expression of CCL2 and its receptor, CCR2, which are key molecules involved in monocyte recruitment and M2 macrophage polarization.21,22 Another chemokine, CCL18, which also plays a role in M2 macrophage polarization,23 was also elevated in DE-DLBCL, but the expression of its known receptors was not.
Analysis of differential gene expression and variances in immune infiltration between DE-DLBCL and non–DE-DLBCL. (A) Gene set enrichment analysis revealed disparate expression patterns of gene sets when DE-DLBCL was compared with non–DE-DLBCL with a false discovery rate (FDR) >0.25. (B) A volcano plot depicting DEGs, highlighting those with an adjusted P (q) value <.05 and fold change (FC) >2. (C) Using publicly available data (Schmitz et al18), immune cell deconvolution was performed using CIBERSORTx. The number of B cells represents the combined abundance of naïve B cells, memory B cells, and plasma cells from the original CIBERSORTx data set. (D) Representative IHC images of immune cells. Immune cells stained for CD3, CD4, CD8, FOXP3, CD68, and CD163 (scale bar, 50 μm). (E) Comparative analysis of the immune cell composition between nodal DE-DLBCL and nodal non–DE-DLBCL using immunohistochemical staining and automated enumeration of immune cells. The Mann-Whitney U test was performed for panels C,E. ∗P < .05; ∗∗P < .01; ∗∗∗P < .001. NK, natural killer.
Analysis of differential gene expression and variances in immune infiltration between DE-DLBCL and non–DE-DLBCL. (A) Gene set enrichment analysis revealed disparate expression patterns of gene sets when DE-DLBCL was compared with non–DE-DLBCL with a false discovery rate (FDR) >0.25. (B) A volcano plot depicting DEGs, highlighting those with an adjusted P (q) value <.05 and fold change (FC) >2. (C) Using publicly available data (Schmitz et al18), immune cell deconvolution was performed using CIBERSORTx. The number of B cells represents the combined abundance of naïve B cells, memory B cells, and plasma cells from the original CIBERSORTx data set. (D) Representative IHC images of immune cells. Immune cells stained for CD3, CD4, CD8, FOXP3, CD68, and CD163 (scale bar, 50 μm). (E) Comparative analysis of the immune cell composition between nodal DE-DLBCL and nodal non–DE-DLBCL using immunohistochemical staining and automated enumeration of immune cells. The Mann-Whitney U test was performed for panels C,E. ∗P < .05; ∗∗P < .01; ∗∗∗P < .001. NK, natural killer.
To validate the RNA-seq data, we performed IHC analysis for several molecules, including CD11b (ITGAM), CD11c (ITGAX), HLA-DRB1, and CCL2, and compared the pixel count per unit area between DE-DLBCL and non–DE-DLBCL tissues. Consistent with the RNA-seq data, CCL2 staining was significantly higher and CD11c and CC11b staining was lower in DE-DLBCL tissues (supplemental Figure 1). These observations suggested a distinct immune profile in DE-DLBCL.
There was a difference in the immune profile between DE-DLBCL and non–DE-DLBCL tissues, and M2 macrophages were elevated in DE-DLBCL.
To investigate the immune cell composition, we conducted an immune cell deconvolution analysis of the whole transcriptome data using CIBERSORTx (supplemental Data 3). There was a tendency toward a higher ratio of M2 macrophages to macrophages in DE-DLBCL than in non–DE-DLBCL (supplemental Figure 2A). We extended the analysis to other large publicly available DLBCL data sets for validation (Schmitz et al18, GSE181063, and GSE117556). Across all data sets, B-cell populations were increased, whereas CD8+ T cells and various CD4+ T-cell subsets tended to be decreased in DE-DLBCL when compared with non–DE-DLBCL. Among the myeloid populations, the ratio of M2 macrophages to macrophages was consistently elevated in DE-DLBCL when compared with non–DE-DLBCL (Figure 1C; supplemental Figure 2B-C). In addition, there was a positive correlation between CCL2 and CCR2 mRNA expression levels and M2 macrophages in our cohort and all 3 public cohorts (supplemental Figure 3).
The immune cell infiltration was validated in an extended IHC cohort (representative IHC images in Figure 1D). Given the variations in immune cell infiltration based on the tumor site in the IHC cohort (data not shown) and the tumor site (nodal) in our RNA-seq cohort, we restricted our comparison of immune cell infiltration to nodal cases. Consistent with the transcriptome cohorts, DE-DLBCL exhibited an increase in CD163+ M2 macrophages and a decrease in T-cell infiltration when compared with non–DE-DLBCL (Figure 1E). CD4+ T cells were significantly decreased and CD8+ T cells and regulatory T cells (Tregs; FOXP3+ cells) tended to be decreased in DE-DLBCL. The ratio of CD8+ T cells to Tregs was not significantly different between the DE-DLBCL and non–DE-DLBCL tissues (Figure 1E). The expression of HLA class I and II molecules did not vary based on MYC and BCL2 DE status (supplemental Figure 4A-C). The Ki-67 index was higher in DE-DLBCL (supplemental Figure 4D-E), which was consistent with the increased cell cycle signature and elevated B-cell population in DE-DLBCLs from our RNA-seq cohort and public data sets.
The comparison between non–GCB- and GCB-DLBCL revealed decreased infiltration of CD8+ T cells and lower expression of major histocompatibility complex class II molecules in non–GCB-DLBCLs than in GCB-DLBCL (supplemental Figure 5A-J). In nodal DLBCL, a significant reduction in the number of CD4+ T cells was observed in non–GCB-DLBCL (supplemental Figure 5K-T).
Together, the transcriptome and IHC analyses showed that there was a distinct immune cell composition associated with DE status, especially increased M2 macrophage infiltration, which was in line with the increased CCL2-CCR2 gene expression observed in our transcriptomic data.
The CCL2-CCR2 axis is related to the poor prognosis in DLBCLs
To assess the prognostic significance of the CCL2-CCR2 axis, we conducted survival analyses based on CCL2 and CCR2 mRNA expression using public data sets. In all data sets, DE-DLBCLs exhibited significantly worse progression-free survival and overall survival than non–DE-DLBCLs (supplemental Figure 6).
Increased CCL2 expression, increased CCR2 expression, and the combined high expression of CCL2 and CCR2 were all significantly associated with poor progression-free survival and overall survival (for CCL2: P = .014 and P = .009, respectively; for CCR2: P = .005 and P = .010, respectively; for combined high expression of CCL2 and CCR2: P = .013 and P = .017, respectively; Figure 2A-F). In the GSE117556 and GSE181063 data sets, combined high expression of CCL2 and CCR2 was associated with poor prognosis (supplemental Figure 8; Figure 2G-I).
Elevated CCL2 and/or CCR2 mRNA expression trends toward adverse prognosis. Comparative analysis of progression-free survival (PFS) and overall survival (OS) based on the mRNA expression levels of MYC or/and BCL2 using publicly available data sets. (A-F) Schmitz et al,18 (G-H) GSE117556, and (I) GSE181063. Survival analysis was performed using the Kaplan-Meier method and log-rank test.
Elevated CCL2 and/or CCR2 mRNA expression trends toward adverse prognosis. Comparative analysis of progression-free survival (PFS) and overall survival (OS) based on the mRNA expression levels of MYC or/and BCL2 using publicly available data sets. (A-F) Schmitz et al,18 (G-H) GSE117556, and (I) GSE181063. Survival analysis was performed using the Kaplan-Meier method and log-rank test.
We further analyzed the prognostic significance of CCL2/CCR2 expression according to cell of origin or MYC and BCL2 DE status. High CCL2/CCR2 expression was associated with poor prognosis in non–DE-DLBCL in the Schmitz et al18 cohort (supplemental Figure 8A-D) and in both non–DE-DLBCL and DE-DLBCL in the GSE117556 cohort (supplemental Figure 8E-H). Poor prognostic significance of CCL2/CCR2 expression was variably observed according to cell of origin in the public data sets (supplemental Figure 9). The multivariate analysis demonstrated that high CCL2/CCR2 expression was a poor prognostic factor independent of cell of origin, MYC and BCL2 DE status, and International Prognostic Index (IPI) score in the GSE117556 and GSE181063 cohorts (supplemental Figure 10). These findings indicate that the CCL2/CCR2 axis may contribute to poor clinical outcomes in patients with DLBCL.
CCL2 production is increased by MYC and BCL2 in DLBCL cells
In the IHC analysis of DLBCL tissues, CCR2 expression was mainly observed in tumor-associated macrophages (TAMs) rather than in tumor cells. Only 2.4% (3/126) of cases exhibited high tumoral CCR2 expression (supplemental Figure 11A-B). In the flow cytometry analysis, CCR2 expression was low in tumor cells, except in the case of OCI-LY3 cells (supplemental Figure 11C). Given that tumor cells and TAMs are significant sources of CCL2,21,22,24 we hypothesized that CCL2 might be secreted by DE-DLBCL cells and affect CCR2-expressing macrophages. To verify this hypothesis, 11 DLBCL cell lines were screened for their basal protein expression levels of MYC and BCL2. HT and SUDHL10 were selected to represent MYClow/BCL2low cell lines (non–DE-DLBCL cells), and OCI-LY8 and DOHH2 were selected to represent MYChigh/BCL2high cell lines (DE-DLBCL cells; supplemental Figure 12).
The mRNA expression and production of CCL2 protein were significantly higher in MYChigh/BCL2high cells than in MYClow/BCL2low cells, both in the resting and interleukin-4 (IL-4)/IgM–activated states (Figure 3A). At baseline, CCL2 expression and its transcription factor, phosphorylated NF-κB p65, was higher in MYChigh/BCL2high cells than in MYClow/BCL2low cells (Figure 3B). When either MYC- and/or BCL2-expression vectors were transfected into MYClow/BCL2low HT and SUDHL10 cells, CCL2 expression increased at the mRNA and protein levels (Figure 3C-E). The levels of phosphorylated NF-κB p65 were also increased in MYC/BCL2-overexpressing cells (Figure 3D). MYC/BCL2 overexpression–induced NF-κB p65 phosphorylation and CCL2 expression and secretion were restored by treatment with the NF-κB inhibitor JSH-23 (Figure 3F-G).
MYC/BCL2 expression induces CCL2 secretion in human DLBCL cells. (A-B) CCL2 expression in MYChigh/BCL2high OCI-LY8 and DOHH2 cells and in MYClow/BCL2low HT and SUDHL-10 in basal and activated status (20 ng/mL IL-4 + 5 μg/mL IgM) was measured using qRT-PCR, enzyme-linked immunosorbent assay (ELISA), and western blotting. (C-E) MYClow/BCL2low cells were transfected with MYC- and/or BCL2-expression vectors and then subjected to qRT-PCR, western blotting, and immunofluorescence (IF) staining to assess CCL2 expression (scale bar, 10 μm). (F-G) MYClow/BCL2low cells were transfected with MYC- and/or BCL2-expression vectors in the presence or absence of the NF-kB activation inhibitor JSH-23 (20 μM, 24 hours). (H-K) MYChigh/BCL2high cells were treated with bioavailable inhibitors for MYC and BCL2 (10 nM venetoclax, 100 nM JQ-1, and 25 nM fimpinostat for 48 hours) and then subjected to qRT-PCR, ELISA, western blotting, and IF staining to assess the CCL2 expression (scale bar, 10 μm). The data are presented as mean ± standard error of the mean (SEM) of 3 independent experiments. ∗P < .05; ∗∗P < .01; ∗∗∗P < .001. DAPI, 4′,6-diamidino-2-phenylindole; DMSO, dimethyl sulfoxide.
MYC/BCL2 expression induces CCL2 secretion in human DLBCL cells. (A-B) CCL2 expression in MYChigh/BCL2high OCI-LY8 and DOHH2 cells and in MYClow/BCL2low HT and SUDHL-10 in basal and activated status (20 ng/mL IL-4 + 5 μg/mL IgM) was measured using qRT-PCR, enzyme-linked immunosorbent assay (ELISA), and western blotting. (C-E) MYClow/BCL2low cells were transfected with MYC- and/or BCL2-expression vectors and then subjected to qRT-PCR, western blotting, and immunofluorescence (IF) staining to assess CCL2 expression (scale bar, 10 μm). (F-G) MYClow/BCL2low cells were transfected with MYC- and/or BCL2-expression vectors in the presence or absence of the NF-kB activation inhibitor JSH-23 (20 μM, 24 hours). (H-K) MYChigh/BCL2high cells were treated with bioavailable inhibitors for MYC and BCL2 (10 nM venetoclax, 100 nM JQ-1, and 25 nM fimpinostat for 48 hours) and then subjected to qRT-PCR, ELISA, western blotting, and IF staining to assess the CCL2 expression (scale bar, 10 μm). The data are presented as mean ± standard error of the mean (SEM) of 3 independent experiments. ∗P < .05; ∗∗P < .01; ∗∗∗P < .001. DAPI, 4′,6-diamidino-2-phenylindole; DMSO, dimethyl sulfoxide.
To inhibit MYC and BCL2, we employed bioavailable inhibitors, that is, JQ-1 and fimepinostat for MYC and venetoclax for BCL2, and selected concentrations that maximized cell viability while suppressing each target (supplemental Figure 13A). When MYC and BCL2 were inhibited in MYChigh/BCL2high cells using the bioavailable inhibitors, CCL2 expression and secretion were decreased (Figure 3H-K; supplemental Figure 13B). Transfecting MYChigh/BCL2high cells with siRNAs against MYC and BCL2 consistently decreased CCL2 expression and secretion (supplemental Figure 14). These findings indicate that MYC and BCL2 upregulate CCL2 expression and secretion through NF-κB activation in DLBCL cells.
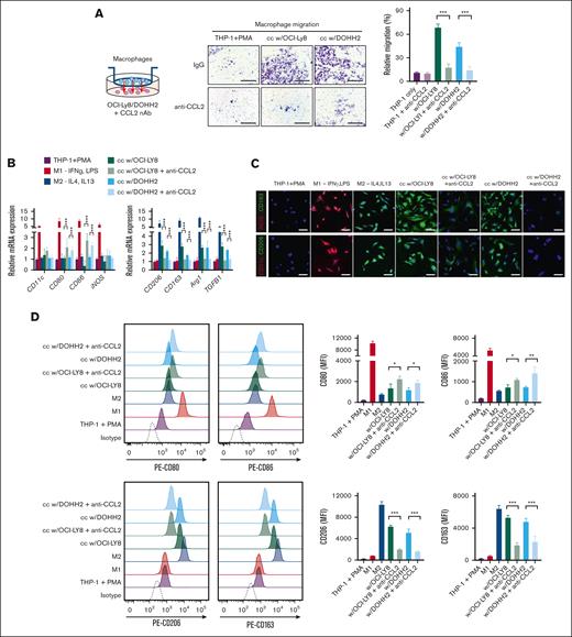
MYC and BCL2 expression in DLBCL cells promotes M2 polarization of macrophages
We hypothesized that MYC and BCL2 overexpression in DLBCL cells promotes the differentiation of macrophages into immunosuppressive M2 macrophages via CCL2. To address this, DLBCL cells were cocultured with THP-1 cell–derived macrophages. For comparison, THP-1–derived macrophages were differentiated into M1 or M2 macrophages using interferon gamma + lipopolysaccharide or IL-4 + IL-13 treatments, respectively. The expression of M2 markers (CD206, CD163, ARG1, and TGFB1) but not M1 markers (CD11c, CD80, CD86, and NOS2) was increased in macrophages cocultured with MYChigh/BCL2high cells when compared with those cocultured with MYClow/BCL2low cells (Figure 4A-B).
Upregulation of MYC/BCL2 in DLBCL cells promotes M2 polarization. The MYChigh/BCL2high cells, OCI-Ly8 and DOHH2, and the MYClow/BCL2low cells, HT and SUDHL-10, were cocultured using 0.4 μm-pore size Transwells with THP-1–derived macrophages that had been differentiated with 200 μg/mL phorbol 12-myristate 13-acetate (PMA) for 24 hours. Comparative analysis of the mRNA and protein expression levels of macrophage differentiation markers in cocultured macrophages was performed using qRT-PCR and flow cytometry, respectively. (A-B) Basal MYChigh/BCL2high and MYClow/BCL2low cells were cocultured with macrophages. (C) HT cells were transfected with MYC- or BCL2-expression vectors and cocultured with macrophages. (D) OCI-LY8 cells were transfected with siRNAs that targeted MYC or Bcl2 and were cocultured with macrophages. The data are presented as mean ± SEM of 3 independent experiments. ∗P < .05; ∗∗P < .01; ∗∗∗P < .001. IFN-γ, interferon gamma; LPS, lipopolysaccharide; MFI, mean fluorescence intensity; n.s., not significant.
Upregulation of MYC/BCL2 in DLBCL cells promotes M2 polarization. The MYChigh/BCL2high cells, OCI-Ly8 and DOHH2, and the MYClow/BCL2low cells, HT and SUDHL-10, were cocultured using 0.4 μm-pore size Transwells with THP-1–derived macrophages that had been differentiated with 200 μg/mL phorbol 12-myristate 13-acetate (PMA) for 24 hours. Comparative analysis of the mRNA and protein expression levels of macrophage differentiation markers in cocultured macrophages was performed using qRT-PCR and flow cytometry, respectively. (A-B) Basal MYChigh/BCL2high and MYClow/BCL2low cells were cocultured with macrophages. (C) HT cells were transfected with MYC- or BCL2-expression vectors and cocultured with macrophages. (D) OCI-LY8 cells were transfected with siRNAs that targeted MYC or Bcl2 and were cocultured with macrophages. The data are presented as mean ± SEM of 3 independent experiments. ∗P < .05; ∗∗P < .01; ∗∗∗P < .001. IFN-γ, interferon gamma; LPS, lipopolysaccharide; MFI, mean fluorescence intensity; n.s., not significant.
MYClow/BCL2low cells were transfected with MYC- and/or BCL2-expression vectors and subsequently cocultured with THP-1–derived macrophages, which led to an increase in the expression of M2 markers when compared with those cocultured with control cells (Figure 4C; supplemental Figure 15A-C).
Conversely, when MYChigh/BCL2high cells were transfected with siRNAs targeting MYC and BCL2, the expression of M2 markers decreased in macrophages when compared with those cocultured with control cells (Figure 4D; supplemental Figure 15D-F). Collectively, these findings suggest that MYC and BCL2 expression in DLBCL cells induces macrophage polarization, particularly toward the M2 phenotype.
CCL2 secreted from DE-DLBCL cells promotes macrophage migration and M2 polarization
To investigate the significance of CCL2 in macrophage recruitment and M2 polarization within the DE-DLBCL microenvironment, MYChigh/BCL2high cells were cocultured with THP-1–derived macrophages in the presence of anti-CCL2 nAb using a Transwell system. Macrophage migration toward MYChigh/BCL2high cells was significantly inhibited by anti-CCL2 nAb (Figure 5A). Conversely, the addition of exogenous CCL2 to MYClow/BCL2low cells led to a significant increase in macrophage migration toward MYClow/BCL2low cells (supplemental Figure 16A-C).
CCL2 secretion from DE-DLBCL cells is crucial for macrophage recruitment and M2 polarization. MYChigh/BCL2high, OCI-Ly8, and DOHH2 cells were cocultured with THP-1–derived macrophages in the absence or presence of anti-CCL2 nAbs. (A) MYChigh/BCL2high cells were cocultured with THP-1–derived macrophages in a Transwell system. Macrophage migration was assessed using a migration assay (scale bar, 250 μm). (B-D) The mRNA and protein expression of macrophage differentiation markers were analyzed using qRT-PCR, IF staining, and flow cytometry (scale bar, 20 μm). The data are presented as mean ± SEM of 3 independent experiments. ∗P < .05; ∗∗P < .01; ∗∗∗P < .001. IFN-γ, interferon gamma; LPS, lipopolysaccharide; MFI, mean fluorescence intensity.
CCL2 secretion from DE-DLBCL cells is crucial for macrophage recruitment and M2 polarization. MYChigh/BCL2high, OCI-Ly8, and DOHH2 cells were cocultured with THP-1–derived macrophages in the absence or presence of anti-CCL2 nAbs. (A) MYChigh/BCL2high cells were cocultured with THP-1–derived macrophages in a Transwell system. Macrophage migration was assessed using a migration assay (scale bar, 250 μm). (B-D) The mRNA and protein expression of macrophage differentiation markers were analyzed using qRT-PCR, IF staining, and flow cytometry (scale bar, 20 μm). The data are presented as mean ± SEM of 3 independent experiments. ∗P < .05; ∗∗P < .01; ∗∗∗P < .001. IFN-γ, interferon gamma; LPS, lipopolysaccharide; MFI, mean fluorescence intensity.
Anti-CCL2 nAb treatment led to a significant decrease in the expression of M2 markers but an increase in M1 markers in macrophages cocultured with MYChigh/BCL2high cells (Figure 5B-D). Conversely, adding exogenous CCL2 to MYClow/BCL2low cells caused a significant increase in the expression of M2 markers with little effect on M1 marker expression (supplemental Figure 16D-G). These findings indicate that CCL2 secreted from DE-DLBCL cells may play an important role in macrophage migration and M2 polarization.
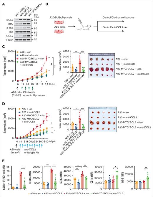
CCL2 contributes to the progression of DE-DLBCL and induces an immunosuppressive TME in vivo
To further determine whether CCL2 contributes to DE-DLBCL progression by increasing M2 macrophages in vivo, MYC- and BCL2-overexpressing stable cell lines were established using A20 cells and were subcutaneously injected into the flanks of mice. These cells exhibited elevated levels of phosphorylated p65 and CCL2 expression, similar to human DLBCL cell lines (Figure 6A; supplemental Figure 17A). To evaluate whether macrophages are necessary for the aggressiveness of DE-DLBCLs, clodronate liposomes were IP injected into mice (Figure 6B). The growth of MYC/BCL2-overexpressing A20 cells was significantly higher than that of the control cells. However, macrophage depletion using clodronate liposomes significantly suppressed the growth of MYC/BCL2-overexpressing A20 cells (Figure 6C), suggesting that macrophages play an important role in DE-DLBCL tumor progression.
CCL2 is required for DE-DLBCL to promote tumor progression and an immunosuppressive TME. (A) MYC- and/or BCL2-stable expressing A20 cells and their phosphorylated p65 and CCL2 expression. (B) Experimental scheme. (C) BALB/c mice were subcutaneously implanted with MYC/BCL2-overexpressing A20 cells or control (con) A20 cells and then IP injected with clodronate or con liposomes as described above. Tumor growth was measured every 2 or 3 days. Tumors were resected 22 days postinjection (d.p.i.). (D) BALB/c mice were subcutaneously implanted with MYC/BCL2-overexpressing A20 cells or control A20 cells and then IP injected with anti-CCL2 nAbs, as described above. At 40 d.p.i, the mice were euthanized, and the tumor weight was measured. Tumor-infiltrating immune cells were analyzed using flow cytometry. The total number of macrophages and their macrophage differentiation markers expression (E), T-cell subsets (F), and IFN-γ or granzyme B producing T cells (G) are shown. Representative images of CD8, granzyme B, and CD206 immunohistochemical staining of tumor tissues (H). The data in the histograms are presented as mean ± SEM of 5 independent experiments. ∗P < .05; ∗∗P < .01; ∗∗∗P < .001. Scale bar, 200 μm. IFN-γ, interferon gamma; iso, isotype control; MFI, mean fluorescence intensity.
CCL2 is required for DE-DLBCL to promote tumor progression and an immunosuppressive TME. (A) MYC- and/or BCL2-stable expressing A20 cells and their phosphorylated p65 and CCL2 expression. (B) Experimental scheme. (C) BALB/c mice were subcutaneously implanted with MYC/BCL2-overexpressing A20 cells or control (con) A20 cells and then IP injected with clodronate or con liposomes as described above. Tumor growth was measured every 2 or 3 days. Tumors were resected 22 days postinjection (d.p.i.). (D) BALB/c mice were subcutaneously implanted with MYC/BCL2-overexpressing A20 cells or control A20 cells and then IP injected with anti-CCL2 nAbs, as described above. At 40 d.p.i, the mice were euthanized, and the tumor weight was measured. Tumor-infiltrating immune cells were analyzed using flow cytometry. The total number of macrophages and their macrophage differentiation markers expression (E), T-cell subsets (F), and IFN-γ or granzyme B producing T cells (G) are shown. Representative images of CD8, granzyme B, and CD206 immunohistochemical staining of tumor tissues (H). The data in the histograms are presented as mean ± SEM of 5 independent experiments. ∗P < .05; ∗∗P < .01; ∗∗∗P < .001. Scale bar, 200 μm. IFN-γ, interferon gamma; iso, isotype control; MFI, mean fluorescence intensity.
CCL2 depletion using IP injected anti-CCL2 nAb in tumor-bearing mice significantly suppressed the growth of MYC/BCL2-overexpressing A20 cells and control A20 cells (Figure 6D). The TAM population (CD11b+F4/80+) was higher in MYC/BCL2-overexpressing tumors than in control tumors, which was restored by anti-CCL2 nAb. The surface expression of CD206 and CD163 on TAM from MYC/BCL2-overexpressing A20 tumors was significantly decreased, but the expression of CD11c and inducible nitric oxide synthase (iNOS) was increased by anti-CCL2 nAbs (Figure 6E,H). The population of monocytic myeloid-derived suppressor cells was decreased by the anti-CCL2 nAb in MYC/BCL2-overexpressing A20 tumors (supplemental Figure 17B-C). In contrast, tumor-infiltrating CD4+ and CD8+ T cells and the population of interferon gamma–producing CD4+ and CD8+ T cells and cytotoxic CD8+ T cells (granzyme B+CD8+ T cells) were increased, whereas FOXP3+ Tregs were decreased by anti-CCL2 nAb (Figure 6F-H; supplemental Figure 17C). These findings indicate that CCL2 secreted from DE-DLBCL cells promotes tumor progression by creating an immunosuppressive tumor immune microenvironment in vivo and that CCL2 could be a therapeutic target in DE-DLBCL.
Discussion
This study demonstrated that the increased CCL2/CCR2 axis produced by MYC and BCL2 contributes to higher M2 polarization of macrophages and lower T-cell infiltration in DE-DLBCL and is associated with poor clinical outcomes in patients with DLBCL. We propose that the MYC/BCL2-CCL2/CCR2-M2 polarization/immunosuppression axis is an important and targetable mechanism that underlies DE-DLBCL aggressiveness.
MYC and BCL2 drive tumorigenesis and affect antitumor activity. MYC in tumor cells is associated with immune suppression through its effect on cytokine production,25,26 thereby inducing immune checkpoint molecules (eg, CD47 and programmed death-ligand 1 [PD-L1])25,27 and altering the TME into an immunosuppressive milieu.28-31 BCL2 in tumor cells induced an immunosuppressive environment by upregulating M2 macrophages through the IL-1β axis in melanoma.32 In this study, DE-DLBCLs showed unique transcriptomic profiles when compared with non–DE-DLBCLs. DEG analysis revealed that CCL2 and its receptor CCR2 were significantly upregulated in DE-DLBCLs. Unlike previous reports that showed CCR2 expression in DLBCL cells,33,34 CCR2 expression in lymphoma cells was quite low in our DLBCL samples and undetectable when using IHC. We also observed low surface expression of CCR2 in DLBCL cell lines. In vitro and in vivo experiments showed that MYC and BCL2 in tumor cells led to the upregulation of CCL2 expression and secretion through the activation of NF-κB p65, which might subsequently contribute to the immunosuppressive environment in DE-DLBCLs. CCL2 expression is known to be transcriptionally upregulated by NF-κB.22,35 Although NF-κB induces BCL-2 transcription and expression, it was reported that BCL2 can induce NF-κB activation,36-38 and MYC also activates NF-κB.35,39-43 In addition, it was reported that MYC can bind to the promoters of both human and mouse CCL2 genes.44 Thus, the increased MYC expression in DE-DLBCL cells may function as a transcriptional regulator of CCL2. This pathway, the MYC/BCL2-NF-κB-CCL2 secretion-CCL2/CCR2 axis-M2 macrophages, and the consequent immunosuppressive microenvironment were first reported in DLBCLs in this study.
CCR2, the receptor for CCL2, is expressed by various cell types, including monocytes/macrophages, Tregs, mesenchymal cells, and tumor cells.21 In the TME, tumor cells secrete CCL2 and TAMs, and cancer-associated fibroblasts and adipocytes serve as additional sources of CCL2.22 Previously, CCL5 was reported to be one of the main chemokines secreted by DLBCL cells. CCL5 plays a crucial role in recruiting monocytes to support B-cell survival, proliferation, and the establishment of a suppressive immune microenvironment.45,46 Manfroi et al46 observed high CCL5 expression in TAMhigh DLBCL tissues with no detectable secretion of other chemokines (including CCL2) by chemokine profiling using only 2 tissue lysates. However, other studies have reported that CCL2 is directly secreted by DLBCL cells.34,47-49
The CCL2-CCR2 axis recruits monocytes, promotes their survival and proliferation, induces their polarization into M2 macrophages, and is involved in monocyte/macrophage-mediated tumor metastasis and Tregs accumulation.50,51 CCL2-CCR2 signaling also has a direct impact on solid tumor cells, including tumor cell proliferation, invasion, and epithelial-mesenchymal transition, and predicts metastasis and poor survival.24,52,53 Clinical trials in which the CCR2-CCL2 axis was targeted have been conducted in solid tumors.54,55 However, the biologic and functional roles of the CCL2-CCR2 axis in DLBCL remain unclear. The multifaceted role of the CCL2-CCR2 axis on the TME and its association with a poor prognosis underscores its potential use as a therapeutic target in DLBCL, particularly DE-DLBCL.
In terms of T-cell infiltration, we observed a consistent tendency toward low T-cell infiltration in DE-DLBCL in both the IHC and transcriptomic analyses. This phenomenon may be attributed to inhibition by increased M2 macrophages, immune exclusion, and a decrease in proinflammatory cytokines, as previously reported for MYC-related immune modulation.25,26,28-30 DE-DLBCLs exhibit high proliferation, which was observed in this study in the enriched cell cycle pathway, the increased B-cell compartment in immune deconvolution, and elevated Ki-67 expression in IHC. High tumor cell proliferation may impede immune cell infiltration within the TME by immune exclusion and metabolic competition. Although this study focused on 2 key immune cell subsets, namely T cells and macrophages, the complex interactions among various cell types and cytokines/chemokines in the TME emphasize the need for further studies.
In this study, the mRNA expression of HLA class II molecules (HLA-DRB1 and HLA-DRB5) was downregulated in DE-DLBCLs when compared with non–DE-DLBCLs in the RNA-seq analysis. In addition, ITGAM and ITGAX, markers for antigen-presenting cells, were also downregulated in DE-DLBCLs. We initially hypothesized that HLA class II downregulation in DE-DLBCL might be attributable to MYC- and/or BCL2-induced downregulation of tumoral HLA II molecules or reduced infiltration of antigen-presenting cells. However, in the IHC analysis, there was no significant difference in the expression of HLA class I and II molecules on tumor cells (supplemental Figure 4) or across the entire tumor tissue (supplemental Figure 1C-D) between DE-DLBCL and non–DE-DLBCL tissue. In addition, we screened the mRNA and protein levels of HLA molecules in 11 DLBCL cell lines and found no correlation between the expression of HLA molecules and MYC and/or BCL2 status (supplementary Figure 18). Previous studies reported that MYC can downregulate HLA class I molecules in a mouse lung tumor model29 and disrupt HLA class II–mediated immune recognition in human B-cell tumors without affecting HLA-DR expression.56 Moreover, BCL2 knockout in dendritic cells increased HLA class II expression and enhanced their function.57 These findings suggest that MYC and BCL2 may influence HLA class I and II expression or antigen-presenting function. However, in this study, the association between MYC/BCL2 status and HLA molecules was not validated, thus, warranting further studies. For this, the alleged role of genetic alterations in HLA expression in DLBCLs, including copy number loss or somatic inactivation of HLA genes and alterations in class II major histocompatibility complex transactivator (CIITA), needs to be taken into consideration.58,59
Targeting MYC has been challenging and has shown limited efficacy and in vivo tolerability.60-62 The BCL2 inhibitor venetoclax, despite its proven efficacy in leukemia, exhibits limited activity in patients with DLBCL with an overall response rate (ORR) of only 18%63 and is now being tested with several combination therapies.62-64 Ongoing studies, such as the CAVALLI phase 2 trials that are investigating venetoclax plus R-CHOP as a first-line treatment for DLBCL, have shown promise, particularly in patients with BCL2+ DLBCLs and DE lymphomas.64 Recently, immunotherapy using chimeric antigen receptor T-cell therapy and a bispecific T-cell engager (bispecific Ab) has shown promising efficacy in patients with DLBCL and has been introduced into clinical practice.65,66 Thus, understanding the tumor immune microenvironment and its regulatory mechanisms is important in lymphoma. The findings of this study may provide valuable information for the management of patients with DE-DLBCL using chemoimmunotherapy and immunotherapy.
In summary, this study demonstrated that the increased CCL2/CCR2 axis contributes to the aggressiveness of DE-DLBCL by promoting M2 polarization and an immunosuppressive microenvironment and that targeting the CCL2/CCR2 axis could be a potential therapeutic strategy for DE-DLBCL.
Acknowledgments
The authors acknowledge the assistance with graphic abstract editing provided by the Korea University Medical Library.
This work was supported by the Basic Science Research through the National Research Foundation funded by the Ministry of Education, Science and Technology Program (grant number: NRF-2016R1D1A1B01015964), the Basic Research Program through the National Research Foundation of Korea funded by the Ministry of Science and Information and Communication Technology (grant numbers RS-2023-00217571 and RS-2024-00355235), the Seoul National University Hospital Research Fund (grant numbers 03-2018-0260 and 03-2020-0050), the Seoul National University Cancer Research Institute Research Program (grant number 0431-20230015), and the Development Fund from the Seoul National University funded by the Hun Kim Family Charitable Foundation.
Authorship
Contribution: Y.K.J. and S.K. designed and supervised the project; S.K., H.J., and H.K.A. performed the experiments; S.K. and H.J. analyzed the results; S.K., B.H., K.-C.L., Y.K.S., S.L., J.Y., J.K., and Y.K.J. contributed to the sample preparation and review of clinical data and pathology; S.K., H.J., and Y.K.J. wrote the manuscript; all authors read and approved the final manuscript.
Conflict-of-interest disclosure: The authors declare no competing financial interests.
Correspondence: Sehui Kim, Department of Pathology, Korea University Guro Hospital, Korea University College of Medicine, 148, Gurodong-ro, Guro-gu, Seoul 08308, Republic of Korea; email: sehuikim@korea.ac.kr; and Yoon Kyung Jeon, Department of Pathology, Seoul National University College of Medicine, 101 Daehak-ro, Jongno-gu, Seoul 03080, Republic of Korea; email: ykjeon@snu.ac.kr.
References
Author notes
S.K. and H. J. contributed equally to this study.
RNA sequencing data sets are available in the Gene Expression Omnibus database (accession number GSE252690).
The full-text version of this article contains a data supplement.








