Key Points
In vivo imaging of neon-green SARS-CoV-2–infected mice shows infected epithelium and endothelium in the lung, and neurons in the brain.
In vivo imaging shows that thrombosis and inflammation are prevalent in the brain and lungs of infected mice.
Abstract
Severe acute respiratory syndrome coronavirus–2 (SARS-CoV-2) enters the respiratory tract, where it infects the alveoli epithelial lining. However, patients have sequelae that extend well beyond the alveoli into the pulmonary vasculature and, perhaps, beyond to the brain and other organs. Because of the dynamic events within blood vessels, histology does not report platelet and neutrophil behavior. Because of the rapid nontranscriptional response of these cells, neither single-cell RNA sequencing nor proteomics report robustly on their critical behaviors. We used intravital microscopy in level-3 containment to examine the pathogenesis of SARS-CoV-2 within 3 organs in mice expressing human angiotensin converting enzyme 2 (ACE-2) ubiquitously (CAG-AC-70) or on epithelium (K18-promoter). Using a neon-green SARS-CoV-2, we observed both the epithelium and endothelium infected in AC70 mice but only the epithelium in K18 mice. There were increased neutrophils in the microcirculation but not in the alveoli of the lungs of AC70 mice. Platelets formed large aggregates in the pulmonary capillaries. Despite only neurons being infected within the brain, profound neutrophil adhesion forming the nidus of large platelet aggregates were observed in the cerebral microcirculation, with many nonperfused microvessels. Neutrophils breached the brain endothelial layer associated with a significant disruption of the blood-brain-barrier. Despite ubiquitous ACE-2 expression, CAG-AC-70 mice had very small increases in blood cytokine, no increase in thrombin, no infected circulating cells, and no liver involvement suggesting limited systemic effects. In summary, our imaging of SARS-CoV-2–infected mice gave direct evidence that there is a significant perturbation locally in the lung and brain microcirculation induced by local viral infection leading to increased local inflammation and thrombosis in these organs.
Introduction
Severe acute respiratory syndrome coronavirus–2 (SARS-CoV-2), the virus responsible for COVID-19 pandemic is transmitted via virion-containing airborne droplets that enter the respiratory tract and uses spike glycoproteins to attach to the host epithelium, which expresses angiotensin converting enzyme–2 (ACE-2).1-3 The virus infects the epithelial lining of the alveoli,4 but it is hypothesized that patients have sequelae that extend well beyond the alveoli into the pulmonary vasculature and, perhaps, to the brain, liver, and other organs. From the epithelium, it is a very short distance of <2 μm to the capillary endothelium of the alveolar compartment to ensure effective diffusion of oxygen into the blood. As such, SARS-CoV-2 could potentially infect the alveolar capillary endothelium,5 causing pronounced vascular disturbances including thrombosis, coagulation, and inflammation.6 There is significant evidence that SARS-CoV-2 can be found in the endothelium from some, but not all, patients7 in some vascular beds and specific parts of the vascular tree (namely, capillaries). Whether the infection of endothelium is via the ACE-2 pathway or because of the aforementioned proximity of the alveolar epithelium and lung endothelium via extracellular vesicles or tunneling nanotubes to deliver virus from one cell type to another is not clear. Indeed, other viruses can exploit these processes for their own dissemination independent of cognate host surface receptors.8-10 Therefore, simply measuring ACE-2 or viral infection outside the physiologic environment could lead to misleading conclusions.
Alternatively, the endothelium could be activated by the release of cytokines and other inflammatory molecules from adjacent SARS-CoV-2–infected epithelial cells, leading to adhesion molecule expression critical for the recruitment of humoral cells, including neutrophils and platelets.11,12 Chemoattractants, including pathogen products, complement, and danger associated molecular patterns from dying cells, form a gradient that recruits the immune cells out of the vasculature and into the parenchymal tissue.13 As an example, lipopolysaccharide (LPS) or bacteria given intratracheally cause neutrophils to adhere within the pulmonary vasculature and migrate into the alveoli.14 However, cases in which the systemic activation of neutrophils occurs in the blood, there is a paucity of neutrophil egress from vasculature into the alveolar space. For example, LPS given IV induces whole body inflammation, in which neutrophils adhere in the vasculature of the lung, brain, liver, and all other organs but do not emigrate out of the vasculature into the tissue.15 Whether SARS-CoV-2 functions locally to recruit neutrophils into all tissues or just to the vascular lumen is unknown.
In addition to recruitment of immune cells, there is a profound increase in platelet recruitment to vascular beds of bacterially infected tissues.16 Previous work has shown that platelets can either bind to adherent neutrophils to cause large thrombus-like aggregates or form thrombi on injured endothelium independent of neutrophils.17,18 Furthermore, in liver microcirculation, platelets can bind to the intravascular macrophages (Kupffer cells) to help clear pathogens.19 In conditions, such as, endotoxemia or bacteremia, platelets are systemically activated and can form aggregates in various vascular beds.20 Whether SARS-CoV-2 also causes platelet activation, adhesion and aggregation, and neutrophil recruitment in different vascular beds is unclear, although numerous groups have argued that thrombi, clots, and inflammation occur in patients with COVID-19.21
A plethora of studies have emerged over the last 3 years from humans and animal models of SARS-CoV-2 infection ranging from single-cell RNA sequencing to proteomic approaches. This has unveiled the extensive activation of many cell types and inflammatory mediators. In fact, most cytokines, chemokines, and other factors are elevated, and this is consistent with the reports from patients who were severely affected.22,23 To elucidate how SARS-CoV-2 influences platelet, neutrophil, and endothelial cell responses in different vascular beds, we require approaches such as imaging to gain insight into the pathogenesis of SARS-CoV-2 because these are transcription-independent events that proceed very rapidly. We used multilaser spinning-disk microscopy to observe cellular responses after SARS-CoV-2 infection in the 3 vascular beds, ie, lung, brain, and liver. The results suggest that there are significant changes to neutrophil and platelet behavior in both the lung and brain, with much more subtle effects in liver microvasculature, almost certainly because of a lack of infected liver cells. SARS-CoV-2–infected pulmonary endothelial, epithelial, and neuronal cells in brain led to significant pathological differences in each microcirculation.
Methods
SARS-CoV-2 virus
Experiments with SARS-CoV-2 and variants were conducted in a containment level–3 (CL3) facility, and all standard operating procedures were approved by the CL3 Oversight Committee and Biosafety Office at the University of Calgary and the Public Health Agency of Canada. The mNeon-Green infectious clone of SARS-CoV-2 was generously provided by Pei-Yong Shi of the World Reference Center for Emerging Viruses and Arboviruses through the University of Texas Medical Branch at Galveston.24
Mice
Animal studies were carried out in accordance with the guidelines drafted by the University of Calgary Animal Care Committee and the Canadian Council on the Use of Laboratory Animals. Transgenic mice expressing human ACE2 (hACE2) were purchased from Jackson Laboratories (heterozygous K18-hACE c57BL/6J mice; strain, 2B6.Cg-Tg[K18-ACE2]2Prlmn/J) and from Taconic (B6;C3-Tg[CAG-ACE2]70Ctkt), and then bred in house. All mice were housed in a specific pathogen-free, double-barrier unit at the University of Calgary. Mice were fed autoclaved rodent feed and water ad libitum.
SARS-CoV-2 infection
Eight to 12-week-old hACE2 mice were administered with ∼2.5 × 104 to 2.5 × 102 plaque-forming unit (pfu) SARS-CoV-2 via intranasal route as well as via oropharyngeal, intratracheal, or intraperitoneal (2.5 × 104) route.25 After infection mice were weighed daily and euthanized after imaging.
Intravital microscopy of the lungs
A multichannel spinning-disk confocal intravital microscope was used to image mouse lungs, as previously reported.25 For neutrophil and platelet dynamics, anti-Ly6G (clone 1A8, BioLegend; Alexa 594) and anti-CD49b (clone HMa2, BioLegend; Alexa 647) were injected IV, respectively. Images were acquired for 30 minutes (xyz) in 3 different fields of view (FOVs). For macrophage dynamics, alveolar macrophages were labeled 5 days before the infection with PKH (injected oropharyngeally as previously described).25 Alveolar macrophage images were acquired for 2 hours in 3 different FOVs. Infected cells with neon-green SARS-CoV-2 were visualized in the green channel (laser excitation 488). To assess blood vessel permeability, 70 000 MW dextran-rhodamine was injected IV after imaging of neutrophils and platelets. Individual blood vessels were imaged for 10 minutes after the administration of dextran for detection of extravascular fluorescence.
Brain intravital microscopy
Mice were anesthetized (10 mg/kg xylazine hydrochloride and 200 mg/kg ketamine hydrochloride), and the tail veil was cannulated for the administration of antibodies, fluorescent dyes, and additional anesthetic. The brain was imaged after a craniotomy in an upright multichannel spinning-disk confocal intravital microscope (BX51; Olympus). Neutrophils and platelets were imaged after IV administration of anti-Ly6G (clone 1A8, BioLegend; Alexa 594) and anti-CD49b (clone HMa2, BioLegend; Alexa 647), respectively.
Liver intravital microscopy
Mice were anesthetized, and the tail vein cannulated for the delivery of antibodies. The surgical procedures were performed as previously described.26 Intravital imaging of the liver microvasculature was performed on an inverted Leica TCS-SP8 microscope (Leica Microsystems). Neutrophils and platelets were imaged after IV administration of anti-Ly6G (clone 1A8, BioLegend; Alexa 594) and anti-CD49b (clone HMa2, BioLegend; Alexa 647), respectively.
Image analysis
Neutrophil behavior in the lungs was analyzed using the Imaris software (Bitplane). Tethering was defined as a discrete neutrophil interaction with the vascular wall for <30 seconds; crawling was defined as continuous interaction of a neutrophil with the vascular wall for >30 seconds, with >5 μm displacement; and adhesion was defined as a neutrophil that remained static for at least 300 seconds. Neutrophil behavior was analyzed at an interval of 10 minutes. The data represent the average of 3 FOVs per mouse in all graphs except in graphs showing behavior of neutrophils in areas with or without infected cells; each dot represents a different FOV. Volocity software (PerkinElmer) was used to quantify the accumulation of platelet aggregation and to quantify the size of the objects using the find objects tool. For the quantification of alveolar macrophage displacement, xyzt series were registered, projected (maximum intensity), and from 10 to 20 alveolar macrophages per FOV were randomly identified and manually tracked using ICY Bioimage analysis software. To measure blood-brain barrier permeability, images were thresholded and a 10 μm area was used circumferentially around the vessel to determine extravascular fluid. The XOR ImageJ command was used on the selected region of interest (ROIs) to create a composite selection that selects out the background fluorescence and includes only the area of fluorescence around the vessel. The mean fluorescence intensity of the composite selection was recorded as a percentage (extravascular/intravascular). A minimum of 3 vessels were selected in each FOV.
Flow cytometry
Flow cytometry was performed using cells from dissociated whole lungs or bronchoalveolar lavage (BAL), as described.25,27 Samples were run using BD FACSCanto and analyzed using FlowJo software. The following antibodies were used: rat anti–mouse CD45 (clone 30-F11; Biolegend), rat anti–mouse Ly6G (clone 1A8; Biolegend), anti-mouse CD11c (N418; eBioscience), rat anti–mouse Siglec-F (E50-2440; BD Biosciences), rat anti–mouse Ly6C (HK1.4; Biolegend), and rat anti–mouse CD11b (M1/70; eBioscience).
Histology
Mice were euthanized, and the lungs were harvested, inflated with 10% neutral buffered formalin, fixed for 24 hours, and subsequently embedded in paraffin. Sections (4 μm) were cut and stained with hematoxylin and eosin. Slides were reviewed in a blinded fashion by an anatomical pulmonary pathologist (M.M.K.).
Statistical analysis
Statistical analysis was performed using PRISM software (Graphpad). All values are expressed as the mean ± standard deviation. For 2 groups, unpaired Student t test was performed. When assessing multiple groups, one-way analysis of variance test was performed. Statistical significance was accepted at α < 0.05.
Results
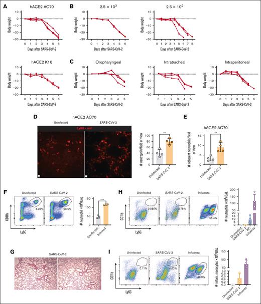
We examined mice in which ACE-2 was expressed only on cells expressing the cytokeratin-18 promoter (K18) or mice that ubiquitously expressed ACE2 on the CAG promoter (AC70). We administered 2.5 × 104 pfu intranasally into K18 and AC70 mice. Interestingly, both groups of mice lost weight in a similar manner, reaching 20% maximum weight loss over the first 6 days of SARS-Cov-2 infection, becoming lethargic, and requiring euthanasia (Figure 1A). Because the AC70 mice were very ill by day 6, we tried administering 2.5 ×103 and 2.5 × 102 pfu, which delayed the weight loss by 2 days but did not prevent death (Figure 1B). Oropharyngeal, intratracheal, and even intraperitoneal administration resulted in the same weight loss regardless of route of administration (Figure 1C).
Intravital of the lungs in transgenic mice infected with SARS-CoV-2. Transgenic mice expressing human ACE2 (hACE2) driven by the keratin 18 (hACE2 K18) or CAG (hACE2 AC70) promoter were infected with NG SARS-CoV2 via different doses and routes. (A) Percentage of body weight change in hACE2 AC70 and hACE2 K18 mice infected with 2.5 × 104 pfu NG-SARS-CoV-2 via IN. (B) Percentage of body weight change in hACE2 AC70 mice infected with 2.5 × 103 or 2.5 × 102 pfu NG-SARS-CoV-2 via IN. (C) Percentage of body weight change in hACE2 AC70 mice infected with 2.5 × 104 pfu NG-SARS-CoV-2 via oropharyngeal, intratracheal, or intraperitoneal administration. (A-C) Each line represents 1 mouse. (D) Intravital microscopy (IVM) images (original magnification ×20) of the lungs of hACE2 AC70 mice uninfected or infected with 2.5 × 104 pfu NG-SARS-CoV-2 via IN showing neutrophils (anti-Ly6G, red) in the vasculature (day 6 after infection). Scale bar, 12 μm. The graph represents the quantification of neutrophils per FOV in the lung after IVM. (E) Quantification of the number of neutrophils adhered in the capillaries of hACE2 AC70 mice uninfected or infected with 2.5 × 104 pfu NG-SARS-CoV-2 via IN after IVM (day 6 after infection). (F) Quantification of neutrophils in the lungs of hACE2 AC70 mice uninfected or infected with 2.5 × 104 pfu NG-SARS-CoV-2 via IN after flow cytometry (day 5 after infection). (G) Hematoxylin and eosin staining of lung sections from hACE2 AC70 mice infected with NG-SARS-CoV-2. (H) Quantification of neutrophils in the BAL of hACE2 AC70 mice uninfected, infected with 2.5 × 104 pfu NG-SARS-CoV-2 or influenza (500 pfu), or treated with the neutrophil chemokine KC via IN, after flow cytometry (day 5 after tinfection). (I) Quantification of inflammatory monocytes in the BAL of hACE2 AC70 mice uninfected or infected with 2.5 × 104 pfu NG-SARS-CoV-2 or influenza (500 pfu) via IN, after flow cytometry (day 5 after infection). Data (as applicable) are represented as mean ± SD. Unpaired Student t test was performed for graphs with 2 groups, and one-way analysis of variance test was performed for multiple comparisons in graphs with >2 groups. ∗∗P < .01; ∗∗∗P < .001. IN, intranasal administration; NG, neon-green; ns, not significant; SD, standard deviation.
Intravital of the lungs in transgenic mice infected with SARS-CoV-2. Transgenic mice expressing human ACE2 (hACE2) driven by the keratin 18 (hACE2 K18) or CAG (hACE2 AC70) promoter were infected with NG SARS-CoV2 via different doses and routes. (A) Percentage of body weight change in hACE2 AC70 and hACE2 K18 mice infected with 2.5 × 104 pfu NG-SARS-CoV-2 via IN. (B) Percentage of body weight change in hACE2 AC70 mice infected with 2.5 × 103 or 2.5 × 102 pfu NG-SARS-CoV-2 via IN. (C) Percentage of body weight change in hACE2 AC70 mice infected with 2.5 × 104 pfu NG-SARS-CoV-2 via oropharyngeal, intratracheal, or intraperitoneal administration. (A-C) Each line represents 1 mouse. (D) Intravital microscopy (IVM) images (original magnification ×20) of the lungs of hACE2 AC70 mice uninfected or infected with 2.5 × 104 pfu NG-SARS-CoV-2 via IN showing neutrophils (anti-Ly6G, red) in the vasculature (day 6 after infection). Scale bar, 12 μm. The graph represents the quantification of neutrophils per FOV in the lung after IVM. (E) Quantification of the number of neutrophils adhered in the capillaries of hACE2 AC70 mice uninfected or infected with 2.5 × 104 pfu NG-SARS-CoV-2 via IN after IVM (day 6 after infection). (F) Quantification of neutrophils in the lungs of hACE2 AC70 mice uninfected or infected with 2.5 × 104 pfu NG-SARS-CoV-2 via IN after flow cytometry (day 5 after infection). (G) Hematoxylin and eosin staining of lung sections from hACE2 AC70 mice infected with NG-SARS-CoV-2. (H) Quantification of neutrophils in the BAL of hACE2 AC70 mice uninfected, infected with 2.5 × 104 pfu NG-SARS-CoV-2 or influenza (500 pfu), or treated with the neutrophil chemokine KC via IN, after flow cytometry (day 5 after tinfection). (I) Quantification of inflammatory monocytes in the BAL of hACE2 AC70 mice uninfected or infected with 2.5 × 104 pfu NG-SARS-CoV-2 or influenza (500 pfu) via IN, after flow cytometry (day 5 after infection). Data (as applicable) are represented as mean ± SD. Unpaired Student t test was performed for graphs with 2 groups, and one-way analysis of variance test was performed for multiple comparisons in graphs with >2 groups. ∗∗P < .01; ∗∗∗P < .001. IN, intranasal administration; NG, neon-green; ns, not significant; SD, standard deviation.
Systemic inflammation was measured in the blood: 20 of 33 cytokines were detected, and only interferon gamma-induced protein 10 (IP-10), Rantes, and interleukin-6 were increased in the circulation of AC70-infected mice, whereas granulocyte colony stimulating factor was increased in the K18 mice; however, the values were orders of magnitude less than that with LPS (supplemental Figure 1). We also examined the activation of leukocytes in the blood: neutrophils showed a more immature phenotype (low in CD101) in the AC70-infected mice, whereas the expression of CD11b and CD62L was not altered. Monocytes presented downregulation of major histocompatibility complex class II but upregulation of CD64. Lymphocytes were also activated expressing higher levels of programmed death-1 (PD-1) and CD49d and increased central memory (CD62L+ and CD44+) and effector memory cells (CD62L− and CD44+) (supplemental Figure 2).
Lungs
The pulmonary vasculature was imaged in uninfected mice, and neither AC70 nor K18 mice showed any signs of inflammation compared with nontransgenic C57Bl/6 mice. As previously reported,28 there is a significant number of patrolling neutrophils resident in the capillary alveoli of uninfected mice, of which ∼40 neutrophils could be seen in each FOV (Figure 1D). These neutrophils had 3 distinct behaviors. Approximately 30% neutrophils could be seen attaching (tethering) to the capillary endothelium, 60% crawled, patrolling the lung vasculature, and a small number were stationary (supplemental Figure 3B), as previously described.28 In the AC70 mice at 6 days after SARS-Cov-2 infection, the most prevalent changes were the large numbers of neutrophils found in the capillaries (Figure 1D). The percentage of tethering, crawling, and stationary cells was similar (supplemental Figure 3B), but this translated into a threefold increase in the number of adherent neutrophils (Figure 1E), indicative of endothelial activation.
We also performed flow cytometry of the whole lung and observed a threefold increase in neutrophil numbers in line with the intravital microscopy data (Figure 1F). Intravital imaging revealed very few neutrophils leaving the vasculature and entering the interstitial space, which was confirmed via histological analysis (Figure 1G). BAL fluid analysis also helped confirm that there were very few neutrophils in the alveolar space. In contrast, when mice were treated with either the neutrophil chemokine keratinocyte-derived chemokine (KC) or infected with influenza, very large numbers of neutrophils were seen entering the alveolar space (Figure 1H). There was some increase in the number of monocytes within the BAL fluid of SARS-CoV-2−infected mice, but this was still much less than that in mice with influenza infection (Figure 1I).
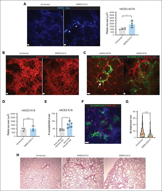
It is extremely difficult to see platelets using histology, unless they form large vessel-occluding thrombi and/or contribute to clots. Using intravital microscopy, it was readily apparent that, under basal conditions, single platelets randomly adhered in the pulmonary capillaries and were then released back into the mainstream circulation (supplemental Video 1). In contrast, in every SARS-CoV-2−infected mouse we could see individual platelets but also the transient formation of large platelet aggregates (supplemental Video 2-3; Figure 2A). These aggregates would usually be washed away within seconds of forming, highlighting the transient residency of these aggregates in the pulmonary circulation. These aggregates were pushed along by the shear forces within the capillaries, emphasizing that the vessels were not overtly occluded (supplemental Video 2). However, more stable aggregates formed occasionally (supplemental Video 3). Although some platelets interacted with adhering and crawling neutrophils, this occurred in a similar manner in both uninfected and infected mice (supplemental Videos 4-5; supplemental Figure 3E). We also injected dextran 70 to examine whether there was an increase in vascular permeability in the SARS-CoV-2−infected mice. Surprisingly, we did not see a major difference between uninfected and infected mice even at time points at which the mice were very sick (Figure 2B).
Vascular dynamics in the lungs of mice infected with SARS-CoV-2. Mice were infected with 2.5 × 104 pfu NG-SARS-CoV-2 via IN. (A) IVM images (original magnification ×20) of the lungs of hACE2 AC70 mice uninfected or infected with NG-SARS-CoV-2 showing platelets (anti-CD49b, blue) in the vasculature (day 6 after infection). Scale bar, 12 μm. The graph represents the quantification of the area covered by platelets per FOV after IVM. (B) IVM images (original magnification ×20) of the lungs of hACE2 AC70 mice uninfected or infected with NG-SARS-CoV-2 after the administration of 70 000 MW dextran-rhodamine. Scale bar, 12 μm. (C) IVM images (original magnification ×20) of the lungs of hACE2 AC70 and hACE2 K18 mice infected with NG-SARS-CoV-2, showing areas with infected cells (green). The asterisk indicates the epithelial lining the alveoli and the filled arrow indicates cells lining the capillaries. Scale bars, 34 μm (left) and 12 μm (right). (D) Quantification of the area covered by platelets per FOV after IVM in hACE2 K18 mice uninfected and infected with NG-SARS-CoV-2 (day 6 after infection). (E) Quantification of the number of neutrophils per FOV after IVM in hACE2 K18 mice infected with NG-SARS-CoV-2 (day 6 after infection). Comparison between FOVs without infected cells vs FOVs with infected cells. Each dot in the graphs represents 1 FOV. (F) IVM image (original magnification ×10) of the lungs of hACE2 AC70 mice infected with NG-SARS-CoV-2 showing PKH-alveolar macrophages (AMs) (red) in the alveolar space (day 6 after infection). Scale bar, 50 μm. (G) Quantification of AM displacement in uninfected and infected mice. Colors represent individual mice. n = 3 mice per group. (H) Hematoxylin and eosin staining of lung sections from hACE2 AC70 mice uninfected and infected with NG-SARS-CoV-2. Data (as applicable) are represented as mean ± SD. Unpaired Student t test was performed for statistical analysis. ∗P < .05; ∗∗∗∗P < .001.
Vascular dynamics in the lungs of mice infected with SARS-CoV-2. Mice were infected with 2.5 × 104 pfu NG-SARS-CoV-2 via IN. (A) IVM images (original magnification ×20) of the lungs of hACE2 AC70 mice uninfected or infected with NG-SARS-CoV-2 showing platelets (anti-CD49b, blue) in the vasculature (day 6 after infection). Scale bar, 12 μm. The graph represents the quantification of the area covered by platelets per FOV after IVM. (B) IVM images (original magnification ×20) of the lungs of hACE2 AC70 mice uninfected or infected with NG-SARS-CoV-2 after the administration of 70 000 MW dextran-rhodamine. Scale bar, 12 μm. (C) IVM images (original magnification ×20) of the lungs of hACE2 AC70 and hACE2 K18 mice infected with NG-SARS-CoV-2, showing areas with infected cells (green). The asterisk indicates the epithelial lining the alveoli and the filled arrow indicates cells lining the capillaries. Scale bars, 34 μm (left) and 12 μm (right). (D) Quantification of the area covered by platelets per FOV after IVM in hACE2 K18 mice uninfected and infected with NG-SARS-CoV-2 (day 6 after infection). (E) Quantification of the number of neutrophils per FOV after IVM in hACE2 K18 mice infected with NG-SARS-CoV-2 (day 6 after infection). Comparison between FOVs without infected cells vs FOVs with infected cells. Each dot in the graphs represents 1 FOV. (F) IVM image (original magnification ×10) of the lungs of hACE2 AC70 mice infected with NG-SARS-CoV-2 showing PKH-alveolar macrophages (AMs) (red) in the alveolar space (day 6 after infection). Scale bar, 50 μm. (G) Quantification of AM displacement in uninfected and infected mice. Colors represent individual mice. n = 3 mice per group. (H) Hematoxylin and eosin staining of lung sections from hACE2 AC70 mice uninfected and infected with NG-SARS-CoV-2. Data (as applicable) are represented as mean ± SD. Unpaired Student t test was performed for statistical analysis. ∗P < .05; ∗∗∗∗P < .001.
Using a neon-green SARS-CoV-2 virus that labels productively infected cells, we observed distinct patchy areas of highly infected cells and large areas that had no infection in the lungs of the AC70 mice (Figure 2C). The epithelial lining of some alveoli was highly infected (asterisk). In addition, cells that lined the capillaries were also fluorescent, suggesting that the endothelium was also infected (filled arrow; Figure 2C). In contrast, we did not see any fluorescent cells moving within the infected lung vasculature, indicating that neither neutrophils nor platelets nor other circulating immune cells were productively infected. The behavior of neutrophils and platelets in infected vs uninfected areas were nearly identical (supplemental Figure 3D), suggesting that the entire lung vasculature was inflamed.
Next, we examined the K18 mice; although the epithelium was infected in the same patchy distribution, the endothelium was not (Figure 2C). In these mice there was no platelet aggregation (Figure 2D), suggesting an important role for infection of endothelium for the platelet activation phenotype. In contrast, in the K18 mice we saw some increase in neutrophil number, but this occurred only in areas where the epithelium was infected, suggesting some amount of cross talk between the infected epithelium and the adjacent noninfected endothelium (supplemental Figure 3A,C; Figure 2E). The behavior of the neutrophils in K18 mice was similar to that of the AC70 mice (supplemental Figure 3B). Finally, in the infected K18 mice, much like in the AC70 mice, there appeared not to be enhanced platelet binding per neutrophil compared with uninfected mice (supplemental Figure 3E). We also measured the behavior of alveolar macrophages. They appeared to be randomly distributed and not aggregating at sites of infection. Secondly, a small number of alveolar macrophages had dim fluorescence, and these specific cells were always found close to infected epithelium (supplemental Figure 4). Interestingly, we observed that some potentially infected macrophages lost the neon-green signal after 2 hours, suggesting that the alveolar macrophages had the capacity to eliminate the virus (data not shown). Thirdly, although the alveolar macrophages in uninfected mice move from alveolus to alveolus, constantly patrolling for debris, pathogens, and particulate matter; in mice infected with SARS-Cov-2, the alveolar macrophages traveled shorter distances (Figure 2G). We saw similar but bigger defects in influenza-infected mice, which caused significant secondary bacterial infections.25 Finally, the histology of the lungs showed some perturbations including some inflammation but no overt bleeding or other sequeli often seen in models of sepsis (Figure 2H). Oxygen saturation was not different between uninfected and infected mice (supplemental Figure 3F).
Brain
We imaged the cortex of SARS-CoV-2–infected mice and noted a very significant infection in neurons (Figure 3A; supplemental Figure 5A). This occurred in both the AC70 and the K18 mouse strains. Interestingly, we did not observe infected brain endothelium in either strain. Although uninfected mice showed no neutrophil trafficking and essentially no platelet-endothelial interactions in the brain microcirculation, SARS-CoV-2–infected mice had very significant numbers of neutrophils adhering within the brain blood vessels (supplemental Videos 6-7; Figure 3B). In some cases, the neutrophils could be seen leaving the blood vessels and entering the brain parenchyma (Figure 3C), a very rare event in other models of brain inflammation.29-31 Immunofluorescence and flow cytometry of the brains revealed that neutrophils, monocytes, and lymphocytes had infiltrated (supplemental Figure 5B-D). Administration of dextran 70 was restricted to the vasculature in uninfected mice but caused leakage in SARS-CoV-2 mice (Figure 3D). In addition, there were large platelet aggregates that were formed within the cerebral microcirculation (Figure 3E), and in most cases, neutrophils were at the nidus of these thrombi (supplemental Video 8; Figure 3F). Importantly, we did not see any increase in platelets-binding leukocytes from the circulating blood via flow cytometry, suggesting that it is only at the endothelial surface of the brain microcirculation that we see the increased platelet-leukocyte interactions (supplemental Figure 6A-C). Levels of thrombin were also not elevated in the systemic circulation of our mice (supplemental Figure 6D). The number of small capillaries as well as larger postcapillary venules that were under-perfused in infected mice were noteworthy (supplemental Video 9).
Brain pathology in transgenic mice infected with SARS-CoV-2. Mice were infected with 2.5 × 104 pfu NG-SARS-CoV-2 via IN. (A) IVM images (original magnification ×20) of the brains of hACE2 AC70 and hACE2 K18 mice uninfected and infected with NG-SARS-CoV-2 showing infected neurons (green) (day 5 after infection). Scale bars, 12 μm (left and middle), 20 μm (right). (B) IVM images (original magnification ×20) of the brains of hACE2 AC70 mice uninfected and infected with NG-SARS-CoV-2. Anti-Ly6G (AL488) was injected IV during the acquisition of the image to make sure the neutrophils were not infected. Scale bars, 12 μm. (C) IVM image (original magnification ×20) of the brain of hACE2 AC70 mice infected with NG-SARS-CoV-2. Anti-Ly6G (AL488) was injected IV during the acquisition of the image showing neutrophils (green) (day 5 after infection). The arrow indicates a neutrophil entering the brain parenchyma. Scale bar, 12 μm. (D) IVM images (original magnification ×20) of the brains of hACE2 AC70 mice uninfected and infected with NG-SARS-CoV-2 after the administration of 70 000 MW dextran-rhodamine. Scale bars, 23 μm (left) and 12 μm (right). The graph represents the percentage of permeability of the blood vessels in the brain. (E) IVM images (original magnification ×20) of the brains of hACE2 AC70 mice uninfected and infected with NG-SARS-CoV-2 showing platelets (anti-CD49b, blue) (day 5 after infection). Scale bars, 12 μm (left) and 25 μm (right). The graph represents the quantification of the % of the blood vessel lumen covered by platelets. (F) IVM images (original magnification ×20) of the brains of hACE2 AC70 mice infected with NG-SARS-CoV-2 showing platelets (anti-CD49b, blue) and neutrophils (anti-Ly6G, green) in the vasculature (day 5 after infection). Anti-Ly6G (AL488) was injected IV during the acquisition of the image to make sure the neutrophils were not infected. Scale bar, 12 μm. Data (as applicable) are represented as mean ± SD. Unpaired Student t test was performed for statistical analysis. ∗P < .05; ∗∗∗∗P < .001.
Brain pathology in transgenic mice infected with SARS-CoV-2. Mice were infected with 2.5 × 104 pfu NG-SARS-CoV-2 via IN. (A) IVM images (original magnification ×20) of the brains of hACE2 AC70 and hACE2 K18 mice uninfected and infected with NG-SARS-CoV-2 showing infected neurons (green) (day 5 after infection). Scale bars, 12 μm (left and middle), 20 μm (right). (B) IVM images (original magnification ×20) of the brains of hACE2 AC70 mice uninfected and infected with NG-SARS-CoV-2. Anti-Ly6G (AL488) was injected IV during the acquisition of the image to make sure the neutrophils were not infected. Scale bars, 12 μm. (C) IVM image (original magnification ×20) of the brain of hACE2 AC70 mice infected with NG-SARS-CoV-2. Anti-Ly6G (AL488) was injected IV during the acquisition of the image showing neutrophils (green) (day 5 after infection). The arrow indicates a neutrophil entering the brain parenchyma. Scale bar, 12 μm. (D) IVM images (original magnification ×20) of the brains of hACE2 AC70 mice uninfected and infected with NG-SARS-CoV-2 after the administration of 70 000 MW dextran-rhodamine. Scale bars, 23 μm (left) and 12 μm (right). The graph represents the percentage of permeability of the blood vessels in the brain. (E) IVM images (original magnification ×20) of the brains of hACE2 AC70 mice uninfected and infected with NG-SARS-CoV-2 showing platelets (anti-CD49b, blue) (day 5 after infection). Scale bars, 12 μm (left) and 25 μm (right). The graph represents the quantification of the % of the blood vessel lumen covered by platelets. (F) IVM images (original magnification ×20) of the brains of hACE2 AC70 mice infected with NG-SARS-CoV-2 showing platelets (anti-CD49b, blue) and neutrophils (anti-Ly6G, green) in the vasculature (day 5 after infection). Anti-Ly6G (AL488) was injected IV during the acquisition of the image to make sure the neutrophils were not infected. Scale bar, 12 μm. Data (as applicable) are represented as mean ± SD. Unpaired Student t test was performed for statistical analysis. ∗P < .05; ∗∗∗∗P < .001.
Liver
Imaging the liver revealed no infected hepatic cells. When Kupffer cells are infected with Staphylococcus aureus, platelets surrounded the macrophages and helped eradicate the infection.19 In the liver of SARS-CoV-2–infected mice, there was essentially no change in platelet numbers or behavior within the sinusoids, with almost no neutrophils adhering (Figure 4A,B). In a few SARS-CoV-2–infected mice, we observed some increase in platelet aggregate formation (Figure 4C), but even then, it was far less obvious than in the brain or lung microcirculation. We observed no lack of perfusion of the sinusoidal vessels. In line with these observations, alanine transaminase levels in the plasma were not different between uninfected and SARS-CoV-2–infected mice (supplemental Figure 6E), indicating no liver injury in SARS-CoV-2 infection.
Mice infected with SARS-CoV-2 showed subtle effects in the liver microvasculature. Mice were infected with 2.5 × 104 pfu NG-SARS-CoV-2 via IN. IVM images (original magnification ×25) of the livers of hACE2 AC70 mice not infected (A) and infected (B-C) with NG-SARS-CoV-2 showing platelets (anti-CD49b, blue) and neutrophils (anti-Ly6G, red) (day 5 after infection). Scale bars, 23 μm (left), 10 μm (middle and right). The graph represents the quantification of the area covered by platelets per FOV after IVM. Data (where applicable) are represented as mean ± SD. ns, not significant. Unpaired Student t test was performed for statistical analysis.
Mice infected with SARS-CoV-2 showed subtle effects in the liver microvasculature. Mice were infected with 2.5 × 104 pfu NG-SARS-CoV-2 via IN. IVM images (original magnification ×25) of the livers of hACE2 AC70 mice not infected (A) and infected (B-C) with NG-SARS-CoV-2 showing platelets (anti-CD49b, blue) and neutrophils (anti-Ly6G, red) (day 5 after infection). Scale bars, 23 μm (left), 10 μm (middle and right). The graph represents the quantification of the area covered by platelets per FOV after IVM. Data (where applicable) are represented as mean ± SD. ns, not significant. Unpaired Student t test was performed for statistical analysis.
Discussion
The major aim of this study was to establish an imaging platform in the CL3 facility to visualize the impact of SARS-CoV-2 in various vascular beds. To our knowledge, this is the first intravital imaging study of immune cell or platelet behavior of SARS-CoV-2–infected mice in CL3. One study used whole body bioluminescent imaging32 and showed primarily virus in the lungs, brain, and other organs. Our data extend this observation, demonstrating significantly altered infection patterns among the different cells, organs, and vascular beds and among murine models. For example, although the lung endothelium appeared to be infected by SARS-CoV-2 in the AC70 mice, we did not see this pattern of infection in the K18 mice in which ACE2 expression was restricted to cytokeratin-18 expressing cells. Clearly, endothelial infection requires that the endothelium expressed ACE2. It remains unclear whether human primary capillary endothelium expresses ACE2 and whether it can be infected by SARS-CoV-2.33,34 A few pathological studies have reported virally infected endothelium, whereas numerous in vitro studies suggest no infection of endothelium.35 However, there are major limitations and concerns interpreting in vitro results. Firstly, there are striking differences between capillary endothelium and the large vessel endothelium often used in human endothelium culture systems. Moreover, culturing or passaging endothelium in vitro causes loss of many endothelial receptors including some hallmark molecules, such as P-selectin, CD14, and von Willebrand factor.36,37 Whether ACE2 is also lost after passaging is not clear, but in vitro results suggest that ACE2 is absent on large vessel passaged endothelium and therefore requires transfection with ACE2 to permit infection.34,38 In contrast, ACE2 expression has been found on endothelium in some vascular beds, including skin, kidney, and lung capillaries, but not in large vessel endothelium.39-41
Our data suggest that ACE-2 expression does not equate to productive infection. For example, in the AC70 mice in which most cells express ACE2 (ACE2 expression driven by the CAG promoter), the virus clearly did not infect any circulating leukocytes productively, few if any immune cells in the lung and no cells in liver sinusoids. In fact, the endothelium in the lung was infected, whereas no infection of the endothelium in the brain or liver was detected. Not all endothelia are the same, and heterogeneity has been well documented for various molecules leading to selective infection of some organs. For example, unique expression of CD36 in brain and skin lead to selective adhesion of infected red blood cells in malaria in these but not other organs.42 The infection of pulmonary endothelium and not other vascular endothelium could be due to the proximity of the infected alveolar epithelium and lung endothelium via extracellular vesicles or tunneling nanotubes.8-10 Indeed, it was recently demonstrated that SARS-CoV-2 can use both of these intracytoplasmic viral transmission processes to bypass the need for ACE2 receptor binding that mediates the infection of cells.9,43 However, our data in K18 mice suggest this is not the case in mouse epithelium as ample epithelium was infected yet the endothelium remained uninfected. However, our data also suggest that even if the endothelium is not infected, it can be activated because of its close proximity (<2 μm) to infected epithelium and this causes vascular changes that led to neutrophil recruitment.
In the brain, we observed infection of neurons but not microglia, astrocytes, or endothelial cells. However, the brain vasculature appeared to be the most affected microcirculation. We noted a decrease in perfusion of numerous capillaries and in some rare cases even larger vessels. In addition, neutrophil recruitment and platelet aggregation were very notable within brain venules and on occasion we could observe neutrophil emigration into the parenchyma something we do not see in models of sepsis.29,31 The lack of blood flow, increased permeability, inflammation, platelet aggregation, and neuronal infection are all consistent with significant brain dysfunction. Previous work has reported neuroinvasion by SARS-CoV-2,44 and the loss of taste and smell in humans is good evidence of neurotropism by this virus.45 Moreover, a recent study has reported that even mild COVID-19 in humans leads to perturbations within the brain, including a reduction in brain size, memory loss, and potential strokes.46 This is completely consistent with our observations. We add to this literature the profound vascular dysfunction that we were able to image. All these sequelae may induce “long COVID-19” (brain fog) that is becoming prevalent in survivors and suggests that the mouse may be a good model for this important disease. In addition, we noted some differences between what has been reported in humans and in mice. The mice showed little increase in systemic cytokine levels and little lung alveolitis (neutrophils in BAL) and lung damage with normal oxygenation, which may be due to the patchy and somewhat sparse nature of the infected lungs. Human studies have reported alveolitis,47 decreased oxygen tensions and significant lung damage.
One of the big issues when comparing mice and humans is the challenge of knowing which cells express ACE2. As such, we used 2 strains, the ubiquitous hACE2 mice (AC70), which almost certainly overstate the expression profile, yet the neon-green SARS-CoV-2 reporter system unveiled very limited infection of macrophages and no infection of any circulating cells or liver cells. Using the epithelial hACE2 mice (K18), which likely understate the level of ACE2 expression in humans, there was no infection of lung endothelium but a manifestation of phenotype similar to that of the AC70 mice. Nevertheless, imaging the dynamic events that occur in various microcirculations of either mouse strain allows us to conclude that there is significant platelet aggregation and neutrophil involvement associated with local microcirculation activation in both the lung and brain, suggestions made but not yet confirmed in various human studies.21 Although we were not able to detect leukocyte-platelet interactions from blood samples, by imaging, we saw very profound interactions between neutrophils and platelets in the brain and, to a more limited extent, in the lung with no interactions in the liver. This is consistent with our view that a systemic inflammation with increased thrombin activity was not occurring in the mice, but local inflammation was prevalent in some organs. Although patients with severe COVID-19 show a robust increase in the levels of cytokines, such as IL-6, tumor necrosis factor, and IL-8, whether the cytokine storm is what leads to morbidity and mortality remains unclear. In addition, although our mice appeared to have a significant neuroinflammation, the lung pathology and decrease in oxygen saturation measured in patients who were critically ill was not readily apparent. Whether this difference reflects the fact that our mice are in specific pathogen-free conditions, whereas humans are prone to many coinfections remains unclear.
Although there was very little disease in the liver microvascular bed, this provides some interesting insights. It suggests that SARS-CoV-2 infection is not necessarily a systemic vascular issue in mice in which all organs are infected nor is it the activation of circulating platelets and neutrophils, which would adhere in the liver as they do in endotoxemia. The data also suggest a requirement for local parenchymal cell infection (lung epithelium and brain neurons) for organs to be inflamed. It is worth noting, however, that unlike our mice a very significant number of adults harbor chronic hepatic dysfunction including hepatosteatosis (fatty liver), and these comorbidities could potentially exacerbate SARS-CoV-2 infection in human livers.48
Our imaging of SARS-CoV-2–infected mice gives direct evidence that there is a significant perturbation in numerous vascular beds and involves platelets as well as neutrophils even though these cells do not appear to be infected. These dynamic events are difficult to capture in histological slides and platelets devoid of nuclei are missed in RNA sequencing data sets. However, in autopsies, a role for platelets and neutrophils has been reported, and our work supports clinical trials that target these different humoral events.
Acknowledgments
The authors thank Devender for the CL3 facility support. The authors thank Trecia Nussbaumer for the breeding of mice. The authors thank Karen Poon at the Nicole Perkins Microbial Communities Core Labs for assistance with flow cytometry. The SARS-CoV-2 Toronto-01 isolate (SARS-CoV-2/SB3-TYAGNC) was generously provided by Arinjay Banerjee (Vaccine and Infectious Disease Organization and Department of Veterinary Microbiology, Western College of Veterinary Medicine, University of Saskatchewan; Saskatoon, SK, Canada), Samira Mubareka (Department of Laboratory Medicine and Pathobiology and Sunnybrook Research Institute, University of Toronto, Toronto, ON, Canada), and Karen Mossman (Department of Medicine and Institute for Infectious Disease Research, Master University, Hamilton, ON, Canada) to J.A.C. The mNeon-Green infectious clone of SARS-CoV-2 was generously provided by Pei Youg Shi of the World Reference Center for Emerging Viruses and Arboviruses through the University of Texas Medical Branch at Galveston to J.A.C.
This study was supported by a COVID rapid response operating grant (177704) (P.K., M.M.K., and J.A.C.) from the Canadian Institutes of Health Research. J.A.C. is a member of the Coronavirus Variants Rapid Response Network, which receives operating funds from Canadian Institutes of Health Research (175622). F.V.S.C. is supported by a fellowship from Canadian Institutes of Health Research (MFE-176551).
Authorship
Contribution: F.V.S.C., R.N., M.W., and P.K. conceptualized the study; F.V.S.C., R.N., M.W., M.D.-F., B.A.D., W.-Y.L., R.M.K., W.X.Z., and M.B.-M. were responsible for the methodology; F.V.S.C., R.N., M.W. were responsible for the investigation; F.V.S.C., R.N., M.M.K., R.M.K., and M.D.-F. were responsible for analysis; M.M.K., J.A.C., and P.K. acquired funding; P.K. supervised the manuscript writing; and F.V.S.C. and P.K. were responsible for project administration and wrote the original draft.
Conflict-of-interest disclosure: The authors declare no competing financial interests.
Correspondence: Paul Kubes, Calvin, Phoebe, and Joan Snyder Institute for Chronic Diseases, University of Calgary, HRIC 3280 Hospital Dr NW, Calgary, AB T2N 4N1, Canada; e-mail: pkubes@ucalgary.ca.
References
Author notes
Data are available on request from the corresponding author, Paul Kubes (pkubes@ucalgary.ca).
The full-text version of this article contains a data supplement.




