Key Points
α4β1 integrin and VEGFR2 function as a receptor complex for VEGF in CLL cells.
Contribution to VEGF functions in CLL is a novel pathological role for α4β1 integrin in this malignancy.
Introduction
In chronic lymphocytic leukemia (CLL), α4β1 integrin (the main α4 heterodimer in CLL) and vascular endothelial growth factor (VEGF) share several pathological properties, including involvement in cell migration and survival.1-8 Accordingly, elevated expression of α4 integrin (≥30% cells) constitutes an adverse prognostic marker9 and VEGF serum levels increase with CLL progression and could also have prognostic value.5,7
CLL cells express VEGF receptor 1 (VEGFR1), VEGFR2, and VEGFR3 receptors.5 VEGFR2 is the main signaling receptor in response to VEGF165 and its elevated expression correlates with CLL aggressivenes.5,10 Previous studies in endothelial cells have demonstrated interactions and functional cross talk between integrins (αvβ3, α9β1, α3β1, α5β1) and the VEGF/VEGFR2 system, including integrin-mediated adhesion to VEGF and VEGF-induced integrin activation.11-13 Moreover, shedding of syndecan-1 in endothelial cells induced coupling of α4β1 integrin and VEGFR2, VEGFR2 activation, and angiogenesis.14 It is not known whether α4β1 interacts with VEGF/VEGFR2 or/and contributes to VEGF functions in CLL and we have addressed this in the present study.
Methods
Approval was obtained from the Consejo Superior de Investigaciones Científicas Bioethics Review Board for these studies; peripheral blood CLL samples (supplemental Table 1) were obtained after informed consent. B lymphocytes were purified from CLL samples or normal buffy coats as reported.6,15 The MEC-1 cell line, derived from a CLL patient, was purchased from the German Collection of Microorganisms and Cell Cultures (Braunschweig, Germany) and maintained in Iscove modified Dulbecco medium, 10% fetal bovine serum. K562 cells stably transfected with α4 integrin (K562-α4 cells) were obtained from Joaquín Teixidó (Centro de Investigaciones Biológicas, Madrid, Spain) and cultured in RPMI 1640, 10% fetal bovine serum. Human umbilical vein endothelial cells were purchased from Lonza (Basel, Switzerland) and cultured in the EGM Endothelial Cell Growth Medium Bullet kit (Lonza).
See supplemental Materials and methods for additional information.
Results and discussion
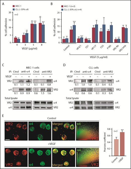
MEC-1 cells expressed the α4 (94% cells), β1 (76% cells), and α3 (39% cells) integrin subunits, as well as VEGFR2 (39.5% cells). The expression of these proteins in primary CLL cells is shown in supplemental Table 1. To determine whether α4β1 integrin contributed to VEGF binding, we performed adhesion assays to immobilized VEGF165. MEC-1 and primary CLL cells attached to VEGF in a dose-dependent manner and with similar adhesion values (Figure 1A). Blocking α4β1 function with the HP2/1 monoclonal antibody (mAb) or the CS1 peptide inhibited cell adhesion, whereas the control HP1/7 mAb or the CS3 peptide had no effect (Figure 1B). Although α3β1 integrin was shown to mediate endothelial cell adhesion to VEGF,12 the anti-α3 mAb P1B5 did not block cell adhesion to this substrate, confirming the specificity of α4β1. Adhesion to VEGF was also inhibited by an anti-VEGFR2 antibody (Ab), but not by a VEGFR2 kinase inhibitor (Figure 1B). To enhance the relevance of these findings, we analyzed the presence of VEGF in CLL tissues. Confocal analyses of 4 lymph node and 2 bone marrow CLL samples demonstrated abundant VEGF expression (supplemental Figure 2), confirming previous reports.16,17 Moreover, involvement of α4β1 in adhesion to VEGF was characteristic of CLL cells because albeit normal B cells expressed VEGFR2 (supplemental Table 2) and adhered to VEGF (supplemental Figure 1A); adhesion was only significantly reduced by Abs to VEGFR2 (supplemental Figure 1B).
Functional association between α4β1 integrin and VEGFR2 in CLL cells. (A) 2′,7′-Bis-(2-carboxyethyl)-5-(and-6)-carboxyfluorescein acetoxymethyl ester (BCECF-AM)–labeled MEC-1 cells (3 independent experiments) or primary CLL cells from 3 patients (P4, P9, P10) were added to wells coated with the indicated concentrations of VEGF. After 60 minutes at 37°C, attached cells were quantified using a fluorescence analyzer. (B) MEC-1 cells (3 independent experiments) or primary CLL cells (P1, P4, P5, P9), with or without previous incubation with the indicated inhibitors, were added to wells coated with 5 μg/mL VEGF and adhesion was quantified as explained. Values represent the percentage of the total number of cells added. (C-D) A total of 15 × 106 MEC-1 cells (C) or primary CLL cells (D; P4) were serum-starved for 2 hours and treated or not with 50 ng/mL soluble VEGF for 15 minutes. Cells were lysed, immunoprecipitated (IP) with anti-α4, anti-VEGFR2 (VR2), or control (Ctrol) Abs and analyzed by western blotting. The total lysate for each condition was also analyzed by western blotting. Numbers indicate the ratio of immunoprecipitated protein with respect to the amount of that protein in the total lysate. (E) Primary CLL cells (P2, P5, P11) were cultured (2 hours, 37°C) on glass coverslips coated with 10 μg/mL poly-l-lysine (control, top panels) or 5 μg/mL VEGF (bottom panels). Cells were fixed and analyzed by confocal microscopy using the indicated primary Abs and Alexa 568– or Alexa 488–labeled secondary Abs. Colocalization of α4 integrin (green) and VEGFR2 (red) was further demonstrated by dot-plot analyses and quantified by the Pearson correlation coefficient. Scale bar, 4 µm. Confocal images for P11 and average values for the 3 patients analyzed ± standard error of the mean (SEM) are shown. *P < .05; **P ≤ .01; ***P ≤ .001.
Functional association between α4β1 integrin and VEGFR2 in CLL cells. (A) 2′,7′-Bis-(2-carboxyethyl)-5-(and-6)-carboxyfluorescein acetoxymethyl ester (BCECF-AM)–labeled MEC-1 cells (3 independent experiments) or primary CLL cells from 3 patients (P4, P9, P10) were added to wells coated with the indicated concentrations of VEGF. After 60 minutes at 37°C, attached cells were quantified using a fluorescence analyzer. (B) MEC-1 cells (3 independent experiments) or primary CLL cells (P1, P4, P5, P9), with or without previous incubation with the indicated inhibitors, were added to wells coated with 5 μg/mL VEGF and adhesion was quantified as explained. Values represent the percentage of the total number of cells added. (C-D) A total of 15 × 106 MEC-1 cells (C) or primary CLL cells (D; P4) were serum-starved for 2 hours and treated or not with 50 ng/mL soluble VEGF for 15 minutes. Cells were lysed, immunoprecipitated (IP) with anti-α4, anti-VEGFR2 (VR2), or control (Ctrol) Abs and analyzed by western blotting. The total lysate for each condition was also analyzed by western blotting. Numbers indicate the ratio of immunoprecipitated protein with respect to the amount of that protein in the total lysate. (E) Primary CLL cells (P2, P5, P11) were cultured (2 hours, 37°C) on glass coverslips coated with 10 μg/mL poly-l-lysine (control, top panels) or 5 μg/mL VEGF (bottom panels). Cells were fixed and analyzed by confocal microscopy using the indicated primary Abs and Alexa 568– or Alexa 488–labeled secondary Abs. Colocalization of α4 integrin (green) and VEGFR2 (red) was further demonstrated by dot-plot analyses and quantified by the Pearson correlation coefficient. Scale bar, 4 µm. Confocal images for P11 and average values for the 3 patients analyzed ± standard error of the mean (SEM) are shown. *P < .05; **P ≤ .01; ***P ≤ .001.
These results suggested that α4β1 cooperated with VEGFR2 for binding to VEGF. To confirm this, we initially used K562-α4 cells, which express α4β1 integrin but lack VEGFR2,18 confirmed by quantitative polymerase chain reaction analyses using human umbilical vein endothelial cells and MEC-1 cells as controls (supplemental Figure 3A). K562-α4 cells did not attach to any concentration of VEGF, albeit they did to FN-H89 (supplemental Figure 3B). Additionally, CLL samples expressing VEGFR2 but with negative or very low α4β1 expression (P6, P7, P8; supplemental Table 1) did not significantly attach to VEGF, and adhesion to FN-H89 was very low (supplemental Figure 3C).
To determine whether α4β1 integrin associated with VEGFR2, we first performed coimmunoprecipitation analyses on MEC-1 and primary CLL cells, in the absence or presence of VEGF. Figure 1C-D shows that, in both cell types, the anti-α4 mAb immunoprecipitated VEGFR2, both before and after cell exposure to VEGF. Likewise, α4 integrin was present in anti-VEGFR2 Ab immunoprecipitates, both before and after VEGF treatment in CLL cells and clearly after VEGF exposure in MEC-1 cells. α4 integrin and VEGFR2 were present in their corresponding immunoprecipitates. Analyses of the lysates before immunoprecipitation confirmed that similar amounts of proteins were present in all conditions (Figure 1C-D).
We also performed immunofluorescence analyses using primary CLL cells and confocal microscopy. Figure 1E shows the results for a representative patient and the quantitation for all 3 patients studied. In the absence of VEGF, the colocalization of VEGFR2 (mainly intracellular) and α4 integrin (mainly at the cell surface) was low. Binding to immobilized VEGF resulted in a clear colocalization of both receptors at the cell periphery, documented by dot-plot analyses and by the significant increase of the Pearson coefficient (Figure 1E). VEGF-induced redistribution of VEGFR2 to the cell surface was further confirmed by flow cytometry (supplemental Figure 3D) and was also inhibited by antibodies against α4 integrin or VEGFR2 (supplemental Figure 3E). In agreement with these findings, it was previously shown that matrix-bound VEGF triggered a similar redistribution of VEGFR2 to the endothelial cell surface and its association with an unidentified β1 integrin, resulting in VEGFR2 prolonged activation.19 A functional interaction and cross-activation between VEGFR2 and αvβ3 integrin, which was enhanced by VEGF and crucial for initiation of angiogenesis, was also reported.13,20
We next studied whether α4β1 contributed to the functional effects of VEGF. Binding of CLL cells to immobilized VEGF increased VEGFR2 phosphorylation and this was significantly reduced by cell preincubation with anti-α4 mAbs or the VEGFR2 kinase inhibitor, but not by a control Ab (Figure 2A). Blocking α4β1 integrin or VEGFR2 kinase function also significantly inhibited the phosphorylation of Akt and focal adhesion kinase (FAK), 2 intermediates of the VEGF-signaling pathway, whereas the control Ab had no effect (Figure 2B). Moreover, incubating CLL cells with VEGF increased cell survival, as previously reported,3,21 and this effect was also significantly diminished by blocking VEGFR2 or α4 integrin with Abs (Figure 2C), confirming the cross talk of both receptors.
α4β1 integrin contributes to VEGF-induced signaling and function in CLL cells. (A) CLL cells (P13, P14, P15, P16, P17) were serum-starved for 2 hours and treated or not with the indicated inhibitors for 30 minutes at 37°C. Cells were added to wells coated with 5 μg/mL VEGF or 0.1% bovine serum albumin (BSA; control) and after 15 minutes at 37°C, cells were lysed and lysates analyzed by western blotting. VEGFR2 phosphorylation (p-VR2) at Y1214 is shown for a representative sample (P17) and quantitated for all 5 patients (P13, P14, P15, P16, P17) studied. (B) CLL cells (P3, P12, P15) were treated as in panel A and the phosphorylation of Akt and FAK (p-FAK) was analyzed by western blotting. (C) CLL cells (P10, P14, P15, P19, P20, P21, P22, P23) were treated with the indicated Abs for 30 minutes and incubated for 48 hours in the absence (blue bar) or presence (red bars) of immobilized VEGF (5 μg/mL). Cell viability was measured by the CCK8 method. The viability of cells treated with control Ab and VEGF was normalized to 1. Average values (arbitrary units [AU]) ± SEM are shown. *P < .05; **P ≤ .01; ***P ≤ .001.
α4β1 integrin contributes to VEGF-induced signaling and function in CLL cells. (A) CLL cells (P13, P14, P15, P16, P17) were serum-starved for 2 hours and treated or not with the indicated inhibitors for 30 minutes at 37°C. Cells were added to wells coated with 5 μg/mL VEGF or 0.1% bovine serum albumin (BSA; control) and after 15 minutes at 37°C, cells were lysed and lysates analyzed by western blotting. VEGFR2 phosphorylation (p-VR2) at Y1214 is shown for a representative sample (P17) and quantitated for all 5 patients (P13, P14, P15, P16, P17) studied. (B) CLL cells (P3, P12, P15) were treated as in panel A and the phosphorylation of Akt and FAK (p-FAK) was analyzed by western blotting. (C) CLL cells (P10, P14, P15, P19, P20, P21, P22, P23) were treated with the indicated Abs for 30 minutes and incubated for 48 hours in the absence (blue bar) or presence (red bars) of immobilized VEGF (5 μg/mL). Cell viability was measured by the CCK8 method. The viability of cells treated with control Ab and VEGF was normalized to 1. Average values (arbitrary units [AU]) ± SEM are shown. *P < .05; **P ≤ .01; ***P ≤ .001.
Functional interactions of VEGF/VEGFR2 and integrins have mainly been studied in the context of endothelial cells and tumor angiogenesis.12,20,22,23 We now show, for the first time, that α4β1 integrin is involved in VEGF binding and subsequent functional effects in CLL cells. Our results strongly suggest that α4β1 and VEGFR2 form a functional receptor complex for VEGF in CLL cells because antagonists to either receptor inhibited VEGF binding and intracellular signaling.
We previously reported that α4β1 and CD44v constitute a receptor complex for matrix metalloproteinase-9 in CLL cells.15 CD38 may also be present in this complex, in correlation with CLL poor prognosis.24 α4β1 integrin may thus interact with other cell-surface proteins and display several functions, depending on the nature of the resulting complex. In this context, our results report a novel role for α4β1 in CLL, which extends its previously described functions in this disease,1,2,4,6,8 and reinforces the notion that high α4 expression is associated with poor CLL prognosis and increased tissue involvement.9 Binding of CLL cells to VEGF in these tissues, via α4β1/VEGFR2, would activate VEGF pathological functions. VEGFR2 is a potential therapeutic target in CLL and several inhibitors of the VEGFR2 kinase activity induce apoptosis in CLL cells.25 Our present report reveals that α4β1 integrin or/and its interaction with VEGFR2 could also be considered targets for therapeutic intervention in CLL.
The full-text version of this article contains a data supplement.
Acknowledgments
The authors thank the CLL patients who donated samples for this study; Elías Campo (Pathology Laboratory, Hospital Clinic, Barcelona, Spain) for the generous gift of CLL and control tissue samples; Jose Luis Rodríguez-Fernández for the buffy coats; Gema Elvira Serrano and Pedro Lastres Varo (Centro de Investigaciones Biológicas) for expert help on confocal and flow cytometry analyses, respectively; Aida Revilla (Centro de Investigaciones Biológicas) for valuable help with some experiments; and Rafael Samaniego and Elena García (Confocal Microscopy Unit, Hospital Gregorio Marañón, Madrid, Spain) for expert help and advice with the immunofluorescence experiments.
This work was supported by grants SAF2015-69180R from the Ministry of Economy and Competitivity (Spain) and S2010/BMD-2314 from the Comunidad de Madrid/European Union (A.G.-P.). E.U.-B. was supported by the Research Foundation of Flanders (FWO-Vlaanderen).
Authorship
Contribution: A.G.-G., N.A.-M., E.U.-B., and E.B. performed research, designed some experiments, and analyzed data; C.S.-M., I.C.-P., and L.G.-C. performed some experiments; J.A.G.-M. contributed patient samples and clinical and biological data; A.G.-P. designed and supervised research and wrote the paper; and all authors read and approved the final version of the manuscript.
Conflict-of-interest disclosure: The authors declare no competing financial interests.
Correspondence: Angeles García-Pardo, Department of Molecular Biomedicine, Centro de Investigaciones Biológicas, Consejo Superior de Investigaciones Científicas, Ramiro de Maeztu 9, 28040 Madrid, Spain; e-mail: agarciapardo@cib.csic.es.
References
Author notes
A.G.-G., N.A.-M., and E.U.-B. contributed equally to this work.

![Figure 2. α4β1 integrin contributes to VEGF-induced signaling and function in CLL cells. (A) CLL cells (P13, P14, P15, P16, P17) were serum-starved for 2 hours and treated or not with the indicated inhibitors for 30 minutes at 37°C. Cells were added to wells coated with 5 μg/mL VEGF or 0.1% bovine serum albumin (BSA; control) and after 15 minutes at 37°C, cells were lysed and lysates analyzed by western blotting. VEGFR2 phosphorylation (p-VR2) at Y1214 is shown for a representative sample (P17) and quantitated for all 5 patients (P13, P14, P15, P16, P17) studied. (B) CLL cells (P3, P12, P15) were treated as in panel A and the phosphorylation of Akt and FAK (p-FAK) was analyzed by western blotting. (C) CLL cells (P10, P14, P15, P19, P20, P21, P22, P23) were treated with the indicated Abs for 30 minutes and incubated for 48 hours in the absence (blue bar) or presence (red bars) of immobilized VEGF (5 μg/mL). Cell viability was measured by the CCK8 method. The viability of cells treated with control Ab and VEGF was normalized to 1. Average values (arbitrary units [AU]) ± SEM are shown. *P < .05; **P ≤ .01; ***P ≤ .001.](https://ash.silverchair-cdn.com/ash/content_public/journal/bloodadvances/3/14/10.1182_bloodadvances.2019000019/2/m_advancesadv2019000019f2.png?Expires=1767737833&Signature=ZVSASElpnhkN9YOA98fTZRu1ZVuzahlXvyfRYUZD6clCxcCwtBvRTCDBtZIV3ls~0s7iRG7j~Tv8jLFBKi3fOwpI1ZMcZUrnBkxqkE~nL2ihHMshZ0iusr6l0axMrwIGAk~4kFEG9-0VmfP9nLBjNjfK9rgH-hzqJsI1u5TQfgwELCwjhBbVLMxjpH~rxhWWLP383rvAkRYThhL8zj3-czrEQS5vNh81VTkdnoxhcuMUEp3G52hGhG5PN3HnWHiCMQuTXGu0BA7aVFDVE-8Xme5UB5mDYyQybTPX4wjUax-xA5pPtlFbT4uME-8qlrkpvOPAuPzxJ0q3FSkaah~PhQ__&Key-Pair-Id=APKAIE5G5CRDK6RD3PGA)

![Figure 2. α4β1 integrin contributes to VEGF-induced signaling and function in CLL cells. (A) CLL cells (P13, P14, P15, P16, P17) were serum-starved for 2 hours and treated or not with the indicated inhibitors for 30 minutes at 37°C. Cells were added to wells coated with 5 μg/mL VEGF or 0.1% bovine serum albumin (BSA; control) and after 15 minutes at 37°C, cells were lysed and lysates analyzed by western blotting. VEGFR2 phosphorylation (p-VR2) at Y1214 is shown for a representative sample (P17) and quantitated for all 5 patients (P13, P14, P15, P16, P17) studied. (B) CLL cells (P3, P12, P15) were treated as in panel A and the phosphorylation of Akt and FAK (p-FAK) was analyzed by western blotting. (C) CLL cells (P10, P14, P15, P19, P20, P21, P22, P23) were treated with the indicated Abs for 30 minutes and incubated for 48 hours in the absence (blue bar) or presence (red bars) of immobilized VEGF (5 μg/mL). Cell viability was measured by the CCK8 method. The viability of cells treated with control Ab and VEGF was normalized to 1. Average values (arbitrary units [AU]) ± SEM are shown. *P < .05; **P ≤ .01; ***P ≤ .001.](https://ash.silverchair-cdn.com/ash/content_public/journal/bloodadvances/3/14/10.1182_bloodadvances.2019000019/2/m_advancesadv2019000019f2.png?Expires=1768230040&Signature=vWiQ~zRor0~4bIuL9JofcL5K8jG4eVrBRL5wgBqNYA3IDkxAmffRlKWPLXPa1HGkUrFEsfaPFDDLymVJSrpDq7S5G8MzehaY3IUrFCwuF5mXi9pttb6WS~n9SG60VFGHPqfWV0-NaZv67JF4VtFrRp1Q8oOqcA6a86H4B7bdQQT~jgZvR3~6reB0iqajVQffm28TYlclIPkPLiskA1iGc1SVTlTPlv1uz2r8i6tM482ttdHP5jBU06Uc~qNgkETPHqTamPK8yCofnkMXI5f8lIIARoCcrvGdt6U0WMlLdi6Kgxhod~gOL7ThQ~BwM9d4RCdG2X7swIuTKzEqknOxSA__&Key-Pair-Id=APKAIE5G5CRDK6RD3PGA)