Five-year survival for childhood cancer now exceeds 85%. However, for many patients, treatment requires the use of intensive anthracycline-based chemotherapy and radiotherapy, both of which are associated with significant long-term cardiovascular toxicity. As such, late cardiovascular disease is now one of the leading causes of premature morbidity and mortality among childhood cancer survivors. Recent advances over the past decade have refined the cardiotoxic potential of various chemotherapeutics, and ongoing work seeks to determine the efficacy of various cardioprotective strategies in children receiving active cancer therapy. The development of risk prediction models offers an additional strategy to define risk for both newly treated and long-term survivors. Current screening strategies are primarily based on echocardiography, although there is active research investigating methods to further optimize screening through myocardial strain, cardiac magnetic resonance imaging, blood biomarkers, and genetics, along with the cost-effectiveness of different screening strategies. Active research is also underway investigating the efficacy of prevention strategies for childhood cancer survivors who have completed cancer therapy. This ranges from the use of medications to mitigate potential pathologic ventricular remodeling to reducing adverse and modifiable cardiovascular risk factors (eg, hypertension, dyslipidemia, insulin resistance, physical inactivity, tobacco exposure), many of which may be more common in cancer survivors vs the general population and are often underrecognized and undertreated in relatively young adult-aged survivors of childhood cancer.

Learning Objectives

  • Describe strategies to identify survivors of childhood cancer who are at increased risk for late cardiotoxicity

  • Understand the current monitoring strategies for cardiovascular toxicity after childhood cancer

Refinements in cancer therapies have resulted in dramatic improvements in the curability of all childhood cancers, including leukemias and lymphomas.1  While 5-year survival rates among individuals diagnosed with cancer during childhood and adolescence are now over 85%, late mortality rates remain increased compared with the general US population.2,3  Premature cardiovascular disease, including cardiomyopathy/heart failure, ischemic heart disease, valvular disease, and stroke, is a leading contributor to this late mortality.4,5  Various strategies may reduce the contribution of cardiovascular disease to mortality among survivors. These range from primary prevention (eg, reducing exposure to cardiotoxic cancer treatments) to refinements in risk prediction that can guide more targeted posttreatment screening (both imaging and blood-based biomarkers) and development of secondary prevention strategies (eg, better control of traditional cardiovascular risk factors, including lifestyle interventions, use of medications to mitigate post- treatment pathologic left ventricular remodeling).6  Finally, among those with clinical disease, the optimal approach to managing premature cardiovascular disease in these often younger patients remains unclear and is often adapted from treatment paradigms used for older populations. Herein, we discuss current approaches to reduce the burden of cardiotoxicity among children and adolescents diagnosed with cancer.

A 3-year-old girl on therapy for acute myeloid leukemia (AML) completed daunorubicin-based induction therapy (300  mg/m2 over 2 courses) and is now in remission without detectable minimal residual disease. However, prior to starting a mitoxantrone-based intensification course, she has a routine surveillance echocardiogram and is found to have an ejection fraction of 48%, decreased from 56% from her prior echocardiogram. Her treating physicians elect to repeat her echocardiogram 1 week later, when the ejection fraction is improved to 52%, and she proceeds with treatment, receiving a cumulative mitoxantrone dose of 48  mg/m2. Two months later, she gets her end-of-therapy echocardiogram, which shows an ejection fraction of 55%. Nevertheless, based on a cardiovascular risk calculator designed specifically for childhood cancer survivors (ccss.stjude.org/cvaclc), she is at very high risk of future cardiomyopathy given her young age, female sex, and cumulative anthracycline dose (doxorubicin equivalent dose of 630  mg/m2: daunorubicin [0.5 equivalence]  =  150  mg/m2; mitoxantrone [10.0 equivalence]  = 480  mg/m2), with an estimated probability of developing heart failure by age 50 years of 13.1% (95% confidence interval, 9.1%-17.0%), which is over 30-fold greater than the risk for a noncancer sibling comparison group.

Although the past 70 years have seen a dramatic improvement in the cure rates of most childhood cancers, in many instances, this has required significant intensification of therapies, including the use of radiotherapy, anthracycline chemotherapy, and hematopoietic cell transplantation.1  While refinements over the past several decades have led to a reduction in specific cardiotoxic exposures such as radiotherapy for many patients with acute lymphoblastic leukemia (Table 1) and Hodgkin lymphoma (Table 2),7,8  the emphasis on anthracycline and hematopoietic cell transplantation for AML and relapsed hematologic malignancies may contribute to increased cardiovascular morbidity in those survivors.9  The development of newer molecular targeted therapies may reduce reliance on conventional cytotoxic chemotherapies, and refinements in radiotherapy may reduce damage to the heart and great vessels.10 

Table 1.

Rate (prevalence) ratio of late cardiovascular disease among acute lymphoblastic leukemia survivors (n = 6148) from the Childhood Cancer Survivor Study by treatment group

Treatment groupHeart failure, RR (95% CI)Coronary artery disease, RR (95% CI)Stroke, RR (95% CI)
1970s 1.0 (Ref) 1.0 (Ref) 1.0 (Ref) 
1980s high risk 0.9 (0.3-2.5) 1.1 (0.3-3.3) 0.6 (0.2-1.7) 
1980s standard risk 0.6 (0.2-1.6) 0.6 (0.2-1.8) 1.5 (0.7-3.2) 
1990s high risk 0.4 (0.1-2.0) 0.0 (0.0-0.02)* 1.1 (0.4-3.6) 
1990s standard risk 0.0 (0.0-0.1)* 0.5 (0.2-1.5) 0.4 (0.1-0.9) 
Treatment groupHeart failure, RR (95% CI)Coronary artery disease, RR (95% CI)Stroke, RR (95% CI)
1970s 1.0 (Ref) 1.0 (Ref) 1.0 (Ref) 
1980s high risk 0.9 (0.3-2.5) 1.1 (0.3-3.3) 0.6 (0.2-1.7) 
1980s standard risk 0.6 (0.2-1.6) 0.6 (0.2-1.8) 1.5 (0.7-3.2) 
1990s high risk 0.4 (0.1-2.0) 0.0 (0.0-0.02)* 1.1 (0.4-3.6) 
1990s standard risk 0.0 (0.0-0.1)* 0.5 (0.2-1.5) 0.4 (0.1-0.9) 

From Dixon et al.7 

*

No events reported for these groups.

CI, confidence interval; RR, relative risk.

Table 2.

Cumulative incidence of serious late cardiopulmonary conditions among Hodgkin lymphoma survivors (n = 2996) from the Childhood Cancer Survivor Study by select treatment groups

Treatment groupCumulative incidence by age 30 years, % (95% CI)
Contemporary therapy (n = 229)* 8.2 (3.7-15.0) 
Chemotherapy without chest radiation (n = 216) 2.8 (0.9-6.6) 
Salvage therapy (n = 296) 12.4 (8.4-17.2) 
Chest radiotherapy ≥35 Gy (n = 1215)§ 7.1 (5.6-8.9) 
Treatment groupCumulative incidence by age 30 years, % (95% CI)
Contemporary therapy (n = 229)* 8.2 (3.7-15.0) 
Chemotherapy without chest radiation (n = 216) 2.8 (0.9-6.6) 
Salvage therapy (n = 296) 12.4 (8.4-17.2) 
Chest radiotherapy ≥35 Gy (n = 1215)§ 7.1 (5.6-8.9) 

From Oeffinger et al.8 

*

Based on Children's Oncology Group protocols AHOD0431 (low risk) and HOD0031 (intermediate risk) with doxorubicin <205  mg/m2, cyclophosphamide 2000 to 3900  mg/m2, any vincristine, and prednisone, with or without involved field radiation ≤26 Gy.

Any anthracycline plus any alkylator.

Treatment for relapse with or without autologous or allogeneic hematopoietic cell transplantation within 5 years of cancer diagnosis.

§

With or without chemotherapy; not mutually exclusive with salvage therapy group.

In addition to reducing reliance on anthracyclines and radiotherapy, alternative formulations of anthracyclines may be associated with differential rates of cardiotoxicity. Recent analyses of childhood cancer survivors have found that hematologic toxicity equivalency may not translate to cardiotoxicity, and that compared with doxorubicin, daunorubicin may be substantially less cardiotoxic while mitoxantrone may be substantially more cardiotoxic than previously considered (Figure 1).11,12  Other strategies effective in adults, such as use of liposomal formulations and prolonged infusion of anthracyclines, have limited data supporting their efficacy in pediatrics.6 

Figure 1.

Risk of cardiomyopathy associated with (A) daunorubicin and (B) mitoxantrone relative to doxorubicin. Markers and extending 95% confidence intervals for each agent represents estimates from a Cox proportional hazards model based on categorical dose increments. Each marker is placed at the median dose on the x-axis for each category. Lines represent the linear (solid) and linear exponential (dashed) modeled continuous dose-response relationships. From Feijen et al.11,12 

Figure 1.

Risk of cardiomyopathy associated with (A) daunorubicin and (B) mitoxantrone relative to doxorubicin. Markers and extending 95% confidence intervals for each agent represents estimates from a Cox proportional hazards model based on categorical dose increments. Each marker is placed at the median dose on the x-axis for each category. Lines represent the linear (solid) and linear exponential (dashed) modeled continuous dose-response relationships. From Feijen et al.11,12 

Close modal

Concurrent administration of potential cardioprotectants such as dexrazoxane represents another primary preventative strategy. While data supporting dexrazoxane remain most robust for adult patients with breast cancer, clinical trial data from children treated for leukemia and lymphoma suggest that concurrent administration is safe, with short- and medium-term efficacy and emerging evidence of potential longer-term benefit.6,13  The Children's Oncology Group is currently conducting prospective follow-up of patients previously treated on dexrazoxane-containing clinical trials to determine long-term efficacy (ALTE11C2; ClinicalTrials.gov NCT01790152), as well as a phase 3 clinical trial testing the efficacy of liposomal daunorubicin with cytarabine along with daunorubicin and mitoxantrone with dexrazoxane in newly diagnosed patients with AML (AAML1831; ClinicalTrials.gov NCT04293562).

Although most children who are newly diagnosed with cancer lack conventional cardiovascular risk factors (eg, hypertension, dyslipidemia, diabetes), obesity at diagnosis has been associated with worse oncology outcomes,14  and subsequent development of these potentially modifiable risk factors greatly increases the risk of significant heart disease.15  In large cohort studies, childhood cancer survivors who are more physically active early on during the survivorship period were observed to have a strongly attenuated risk of late mortality.16 

Cardiovascular risk prediction

Although radiation and anthracycline dose have been long established as key risk factors for cardiovascular disease in cancer survivors, individualized risk prediction models have been developed recently that incorporate these exposures along with demographic (ie, sex, age at cancer diagnosis) and other health characteristics (ie, presence of diabetes, dyslipidemia, and/or hypertension) to provide risk estimates for future serious cardiovascular outcomes for childhood cancer survivors who have survived a minimum of 5 years from cancer diagnosis up through age 50 years with reasonable accuracy (Figure 2; publicly available online calculator at ccss.stjude.org/cvcalc).15  Models that also incorporate cost-effectiveness estimates for current echocardiographic screening modalities add additional nuance to future screening strategies.17  Risk prediction may also be further refined by incorporating genetic risk factors and imaging biomarkers.

Figure 2.

Predicted and observed incidence rates for (A) heart failure, (B) ischemic heart disease, and (C) stroke among childhood cancer survivors with predicted moderate- and high-risk status across each 5-year age time point, per models accessed at ccss.stjude.org/cvcalc. From Chen et al.15 

Figure 2.

Predicted and observed incidence rates for (A) heart failure, (B) ischemic heart disease, and (C) stroke among childhood cancer survivors with predicted moderate- and high-risk status across each 5-year age time point, per models accessed at ccss.stjude.org/cvcalc. From Chen et al.15 

Close modal

Imaging strategies

As cardiotoxicity may not manifest until decades after cancer treatment, lifelong surveillance of at-risk childhood cancer survivors is recommended.4  Serial echocardiography is generally used to monitor cardiac function during and after pediatric cancer therapy due to its widespread availability, lack of invasiveness, and lack of patient-related barriers such as poor renal function or claustrophobia.18  While most echocardiograms have typically focused on 2-dimensional measurements of left ventricular systolic function such as ejection fraction (EF) and fractional shortening (FS), 2-dimensional echocardiography is limited by both reliance on geometric assumptions of left ventricular morphology and greater inter- and intraobserver variability when compared with 3-dimensional echocardiography or cardiac magnetic resonance (CMR) imaging.19  Changes in EF and FS are also felt to represent later markers of cardiotoxicity, and earlier markers of disease, such as changes in myocardial strain, may enhance the ability of echocardiography to detect earlier cardiotoxicity in cancer survivors (Figure 3).20  Nevertheless, acute drops in EF or FS during therapy may be important prognostically, with recent data from pediatric patients with AML showing that those with acute cardiotoxicity (>10% of patients) had an approximate 60% increased relapse and mortality risk (Figure 4).21  However, detailed information on treatment modifications following acute cardiotoxicity was not captured, which precluded the ability to determine if lower cumulative anthracycline exposure mediated the association between cardiotoxicity, relapse, and mortality risk.

Figure 3.

Example of borderline left ventricular systolic function (ejection fraction of 50%-55%) per 2-dimensional echocardiogram supplemented with myocardial strain measurements, which show abnormal global longitudinal strain (−12.3%) 15 years after cancer treatment. Patient was originally treated for Hodgkin lymphoma per Children's Oncology Group protocol AHOD0031 with doxorubicin, bleomycin, vincristine, etoposide, cyclophosphamide, and neck radiation.

Figure 3.

Example of borderline left ventricular systolic function (ejection fraction of 50%-55%) per 2-dimensional echocardiogram supplemented with myocardial strain measurements, which show abnormal global longitudinal strain (−12.3%) 15 years after cancer treatment. Patient was originally treated for Hodgkin lymphoma per Children's Oncology Group protocol AHOD0031 with doxorubicin, bleomycin, vincristine, etoposide, cyclophosphamide, and neck radiation.

Close modal
Figure 4.

Cox model-predicted curve for overall survival (OS) among pediatric patients with AML treated on Children's Oncology Group trial AAML0531 without LVSD and those with infection-associated LVSD and non-infection-associated LVSD. From Getz et al.21 

Figure 4.

Cox model-predicted curve for overall survival (OS) among pediatric patients with AML treated on Children's Oncology Group trial AAML0531 without LVSD and those with infection-associated LVSD and non-infection-associated LVSD. From Getz et al.21 

Close modal

Left ventricular myocardial strain imaging quantifies deformation of the ventricle during the cardiac cycle. Evidence from individuals diagnosed with cancer during adulthood indicate that a relative reduction of global longitudinal strain by 10% to 15% during therapy is a predictor for future declines in EF and symptomatic heart failure.22  The value of myocardial strain imaging for early detection and improved response to cardioactive therapy is further supported by the recent SUCCOUR study.20  In this study, EF 1 year after treatment was better preserved with a global longitudinal strain–guided approach to initiation of cardioactive medications in comparison with an EF-guided approach. However, similar studies are needed in pediatric patients with cancer before strain imaging can be routinely incorporated as part of clinical care.

Although most screening is performed using echocardiography, CMR can more precisely quantify left ventricular systolic function among survivors with borderline left ventricular EF (LVEF) by echocardiography (50%-59%).23  CMR also more accurately quantifies left ventricular mass, which can be abnormally low in approximately half of childhood cancer survivors with abnormal EF,23  and provides tissue characterization (Figure 5). Low left ventricular mass may have prognostic value among these survivors as it has been shown to be associated with an increased risk for adverse cardiovascular events among survivors of adult-onset cancer.24  In addition, approximately one-third of childhood cancer survivors may have right ventricular dysfunction, and CMR is the preferred method to evaluate the right ventricle.25 

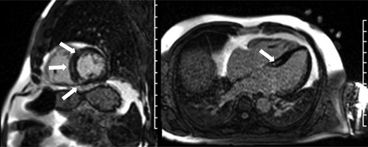
Figure 5.

Example of cardiac magnetic resonance imaging revealing mildly reduced ejection fraction (52%; lower end of normal being 58%) with mid-myocardial delayed enhancement indicative of cardiac fibrosis (white arrows) in a long-term non-Hodgkin lymphoma survivor >30 years after doxorubicin-based chemotherapy who presented with premature ventricular contractions.

Figure 5.

Example of cardiac magnetic resonance imaging revealing mildly reduced ejection fraction (52%; lower end of normal being 58%) with mid-myocardial delayed enhancement indicative of cardiac fibrosis (white arrows) in a long-term non-Hodgkin lymphoma survivor >30 years after doxorubicin-based chemotherapy who presented with premature ventricular contractions.

Close modal

In the setting of radiation therapy, routine screening may also include assessments of valvular and vascular function. This can include echocardiography for valvular assessment, carotid artery ultrasound for survivors exposed to high-dose neck radiation, and coronary artery screening for survivors exposed to chest radiation, given the association between radiation exposure and premature atherosclerosis.4,16 

Blood-based biomarkers

Although data from adult patients with cancer have found that elevated troponin, brain natriuretic peptide, and other blood-based biomarkers during treatment can be associated for cardiotoxicity, data supporting the routine use of blood biomarkers are largely lacking for pediatric patients with cancer.26  For example, although troponin and brain natriuretic peptide may be elevated in childhood cancer survivors at risk for cardiotoxicity, current data suggest the sensitivity of these markers is low and should not be used in place of imaging as a screening modality.27  However, it is possible that a combined imaging plus blood biomarker approach could improve the accuracy of both tools.

Prophylaxis

Medical therapy for pediatric cancer survivors relies on the pillars of goal-directed medical therapy recognized by the American Heart Association and American College of Cardiology for the treatment of left ventricular systolic dysfunction: beta-blockers, angiotensin converting enzyme inhibitors, angiotensin receptor blockers, mineralocorticoid inhibitors, angiotensin receptor neprilysin inhibitors, and sodium-glucose cotransporter inhibitors.28  In the prophylactic setting, data from individuals diagnosed with cancer in adulthood suggest better preservation of cardiac function (LVEF, strain, diastolic function) with beta-blocker and/or angiotensin converting enzyme inhibitor therapy prior to cancer treatment,29,30  but there are conflicting data regarding optimal drug classes, and an association with improvement in clinical symptom-based outcomes has not been definitively described. For these reasons, and in consideration of potential side effects of these medications such as hypotension, renal dysfunction, and electrolyte imbalances that may impede cancer therapy, prophylactic therapy is not universally recommended for pediatric patients. At present, there is an ongoing double-blinded, placebo-controlled randomized clinical trial of low-dose carvedilol being conducted within the Children's Oncology Group (protocol ALTE1621; ClinicalTrials.gov NCT01347970) that will assess the efficacy of this strategy in mitigating development of late cardiotoxicity among survivors of childhood and adolescent cancer who are at least 2 years off cancer therapy and who received at least 250  mg/m2 doxorubicin (or equivalent anthracycline dose).

Control of modifiable cardiovascular conditions

Although it has been shown that the presence of comorbid modifiable cardiovascular risk factors such as hypertension, dyslipidemia, and diabetes substantially increases the risk of late cardiovascular disease in childhood cancer survivors,15  significant proportions of long-term survivors remain undiagnosed.31  Even when diagnosed, young and middle-aged adult survivors of childhood cancer may be more than twice as likely to be undertreated for these conditions compared with a matched general population sample.31  Along with promoting healthier lifestyle behaviors (physical activity, diet, and smoking cessation), increasing awareness among childhood cancer survivors and their health care providers of the importance of screening for and controlling these cardiovascular risk factors may reduce their long-term cardiovascular risk.

Subclinical cardiac dysfunction

The American Heart Association and American College of Cardiology use a 4-stage grading system for heart failure, with stage B representing individuals with evidence of heart disease but no symptoms or signs of heart failure (Visual Abstract).28  Among individuals with stage B heart failure, evidence for medical therapy is most robust for those with an LVEF <40%. There is some evidence from a promising retrospective single-center study of 22 childhood cancer survivors that angiotensin converting enzyme inhibitors and angiotensin receptor blockers can provide a sustained improvement in strain for greater than 1 year.32  However, an earlier retrospective study in 18 children by Lipshultz et al33  initially demonstrated an improvement in LVEF with enalapril, but this benefit was no longer observed after 6 to 10 years off therapy. A double-blind, randomized trial conducted compared enalapril to placebo in 135 long-term anthracycline-exposed pediatric cancer survivors with a history of having at least 1 abnormal cardiac finding.34  While Silber et al34  did not find any differences in their primary outcome (myocardial contractility index), they did find that enalapril was significantly associated with reduced left ventricular end-systolic wall stress within the first year of therapy and that this difference was maintained over the study's 5-year follow-up period.

Symptomatic cardiac dysfunction

Although cardiovascular morbidity and mortality may be higher for cancer survivors with heart failure compared with individuals with heart failure without a history of cancer, survivors of childhood cancer with symptomatic cardiac dysfunction (stage C heart failure; Visual Abstract) should be treated according to the current heart failure guidelines.28  Angiotensin converting enzyme inhibitors and angiotensin receptor blockers have traditionally been the focus of neurohormonal therapy in the field of cardio-oncology, although recent studies have suggested an additional improvement in EF among patients previously treated with these therapies who transition to sacubitril-valsartan.35,36 

Outcomes after incident myocardial ischemia may also be worse among cancer survivors at large vs the general population.37  In cancer survivors with radiation-related valvular disease, surgical repair or replacement is associated with poor 5-year survival.38  The observation of increased short- and long-term mortality in patients undergoing surgical procedures for radiation-related cardiovascular disease extends beyond valve surgery to other cardiac surgeries as well.39  However, much of the evidence base is derived from the experience of adult-onset cancer survivors, and research examining these outcomes specifically in childhood cancer survivors remains limited.

Our patient receives serial echocardiograms every 2 years per current Children's Oncology Group recommendations (www.survivorshipguidelines.org) following completion of her AML therapy. When she is 10 years off therapy (age 13 years), a routine screening echocardiogram is obtained and is concerning for lower left ventricular function with an ejection fraction of 49%, with wall dimensions that appear thin for age and concerning for dilatation (several z scores greater than −2). Global longitudinal myocardial strain is also measured and is −14%. Reviewing her recent echocardiograms, dilatation and thinning had possibly started several years earlier. She is referred to cardiology, where she is started on enalapril, although evidence guiding the use of this intervention is limited in this setting. She remains asymptomatic but tolerates this intervention without problems. However, more research will be needed to determine the optimal drug(s), dosing, and duration of this treatment (ie, time limited if improvements are seen after a few years vs lifelong).

As more children survive cancer, treatment-related cardiovascular morbidity and mortality is becoming of greater concern. With increasing awareness and a growing body of research, effective strategies including prevention, earlier detection, and improved treatment of clinical heart disease offer the promise of improved long-term cardiovascular health among childhood cancer survivors. To bring these strategies to fruition, work to further risk-stratify individuals before, during, and after cancer treatment will be essential. This includes refinements in imaging and defining useful nonimaging biomarkers (including genetics), as well as incorporating cost-effectiveness principles. Additionally, identifying the specific underlying pathophysiologic processes that lead to cancer treatment–related cardiovascular toxicity and expanding the evidence base for effective treatment of those with clinical heart disease are also required. These advances will reduce the cost of cure among survivors.

This publication is supported in part by To-morrow's Research Fund St. Baldrick's Scholar Award (636214 to W.B.), American Heart Association (19CDA34760181 to W.B.), and the US National Institutes of Health (KL2TR002648 to W.B.; CA204378 and CA211996 to E.C.).

The visual abstract is adapted from Armenian S, Gelehrter S, Chow E. Cardiol Res Pract. 2012;2012:713294.

Wendy Bottinor: no competing financial interests to declare.

Eric J. Chow: no competing financial interests to declare.

Wendy Bottinor: nothing to disclose.

Eric J. Chow: nothing to disclose.

1.
Hudson
MM
,
Link
MP
,
Simone
JV
.
Milestones in the curability of pediatric cancers
.
J Clin Oncol
.
2014
;
32
(
23
):
2391
-
2397
.
doi:10.1200/JCO.2014.55.6571
.
2.
Armstrong
GT
,
Chen
Y
,
Yasui
Y
, et al.
Reduction in late mortality among 5-year survivors of childhood cancer
.
N Engl J Med
.
2016
;
374
(
9
):
833
-
842
.
doi:10.1056/NEJMoa1510795
.
3.
Howlader
N
,
Noone
AM
,
Krapcho
M
, et al.
SEER Cancer Statistics Review, 1975-2018
.
2021
. https://seer.cancer.gov/csr/1975_2018/. Accessed
24
May
2022
.
4.
Lipshultz
SE
,
Adams
MJ
,
Colan
SD
, et al
;
American Heart Association Congenital Heart Defects Committee of the Council on Cardiovascular Disease in the Young, Council on Basic Cardiovascular Sciences, Council on Cardiovascular and Stroke Nursing, Council on Cardiovascular Radioloy
.
Long-term cardiovascular toxicity in children, adolescents, and young adults who receive cancer therapy: pathophysiology, course, monitoring, management, prevention, and research directions: a scientific statement from the American Heart Association
.
Circulation
.
2013
;
128
(
17
):
1927
-
1995
.
doi:10.1161/CIR.0b013e3182a88099
.
5.
Mulrooney
DA
,
Hyun
G
,
Ness
KK
, et al.
Major cardiac events for adult survivors of childhood cancer diagnosed between 1970 and 1999: report from the Childhood Cancer Survivor Study cohort
.
BMJ
.
2020
;
368
:
l6794
.
doi:10.1136/bmj.l6794
.
6.
Armenian
SH
,
Armstrong
GT
,
Aune
G
, et al.
Cardiovascular disease in survivors of childhood cancer: insights into epidemiology, pathophysiology, and prevention
.
J Clin Oncol
.
2018
;
36
(
21
):
2135
-
2144
.
doi:10.1200/JCO.2017.76.3920
.
7.
Dixon
SB
,
Chen
Y
,
Yasui
Y
, et al.
Reduced morbidity and mortality in survivors of childhood acute lymphoblastic leukemia: a report from the Childhood Cancer Survivor Study
.
J Clin Oncol
.
2020
;
38
(
29
):
3418
-
3429
.
doi:10.1200/JCO.20.00493
8.
Oeffinger
KC
,
Stratton
KL
,
Hudson
MM
, et al.
Impact of risk-adapted therapy for pediatric Hodgkin lymphoma on risk of long-term morbidity: a report from the Childhood Cancer Survivor Study
.
J Clin Oncol
.
2021
;
39
(
20
):
2266
-
2275
.
doi:10.1200/JCO.20.01186
.
9.
Armenian
SH
,
Sun
C-L
,
Kawashima
T
, et al.
Long-term health-related outcomes in survivors of childhood cancer treated with HSCT versus conventional therapy: a report from the Bone Marrow Transplant Survivor Study (BMTSS) and Childhood Cancer Survivor Study (CCSS)
.
Blood
.
2011
;
118
(
5
):
1413
-
1420
.
doi:10.1182/blood-2011-01-331835
.
10.
Chow
EJ
,
Antal
Z
,
Constine
LS
, et al.
New agents, emerging late effects, and the development of precision survivorship
.
J Clin Oncol
.
2018
;
36
(
21
):
2231
-
2240
.
doi:10.1200/JCO.2017.76.4647
.
11.
Feijen
EAM
,
Leisenring
WM
,
Stratton
KL
, et al.
Derivation of anthracycline and anthraquinone equivalence ratios to doxorubicin for late-onset cardiotoxicity
.
JAMA Oncol
.
2019
;
5
(
6
):
864
-
871
.
doi:10.1001/jamaoncol.2018.6634
.
12.
Feijen
EA
,
Leisenring
WM
,
Stratton
KL
, et al.
Equivalence ratio for daunorubicin to doxorubicin in relation to late heart failure in survivors of childhood cancer
.
J Clin Oncol
.
2015
;
33
(
32
):
3774
-
3780
.
doi:10.1200/JCO.2015.61.5187
.
13.
Chow
EJ
,
Aplenc
R
,
Vrooman
LM
, et al.
Late health outcomes after dexrazoxane treatment: a report from the Children's Oncology Group
.
Cancer
.
2022
;
128
(
4
):
788
-
796
.
doi:10.1002/cncr.33974
.
14.
Orgel
E
,
Sposto
R
,
Malvar
J
, et al.
Impact on survival and toxicity by duration of weight extremes during treatment for pediatric acute lymphoblastic leukemia: a report from the Children's Oncology Group
.
J Clin Oncol
.
2014
;
32
(
13
):
1331
-
1337
.
doi:10.1200/JCO.2013.52.6962
.
15.
Chen
Y
,
Chow
EJ
,
Oeffinger
KC
, et al.
Traditional cardiovascular risk factors and individual prediction of cardiovascular events in childhood cancer survivors
.
J Natl Cancer Inst
.
2020
;
112
(
3
):
256
-
265
.
doi:10.1093/jnci/djz108
.
16.
Scott
JM
,
Li
N
,
Liu
Q
, et al.
Association of exercise with mortality in adult survivors of childhood cancer
.
JAMA Oncol
.
2018
;
4
(
10
):
1352
-
1358
.
doi:10.1001/jamaoncol.2018.2254
.
17.
Ehrhardt
MJ
,
Ward
ZJ
,
Liu
Q
, et al.
Cost-effectiveness of the International Late Effects of Childhood Cancer Guideline Harmonization Group Screening Guidelines to prevent heart failure in survivors of childhood cancer
.
J Clin Oncol
.
2020
;
38
(
33
):
3851
-
3862
.
doi:10.1200/JCO.20.00418
.
18.
Armenian
SH
,
Hudson
MM
,
Mulder
RL
, et al
;
International Late Effects of Childhood Cancer Guideline Harmonization Group
.
Recommendations for cardiomyopathy surveillance for survivors of childhood cancer: a report from the International Late Effects of Childhood Cancer Guideline Harmonization Group
.
Lancet Oncol
.
2015
;
16
(
3
):
e123
-
e136
.
doi:10.1016/S1470-2045(14)70409-7
.
19.
Lopez
L
,
Colan
SD
,
Frommelt
PC
, et al.
Recommendations for quantification methods during the performance of a pediatric echocardiogram: a report from the Pediatric Measurements Writing Group of the American Society of Echocardiography Pediatric and Congenital Heart Disease Council
.
J Am Soc Echocardiogr
.
2010
;
23
(
5
):
465
-
495
; quiz 576.
doi:10.1016/j.echo.2010.03.019
.
20.
Thavendiranathan
P
,
Negishi
T
,
Somerset
E
, et al
;
SUCCOUR Investigators
.
Strain-guided management of potentially cardiotoxic cancer therapy
.
J Am Coll Cardiol
.
2021
;
77
(
4
):
392
-
401
.
doi:10.1016/j.jacc.2020.11.020
.
21.
Getz
KD
,
Sung
L
,
Ky
B
, et al.
Occurrence of treatment-related cardiotoxicity and its impact on outcomes among children treated in the AAML0531 clinical trial: a report from the Children's Oncology Group
.
J Clin Oncol
.
2019
;
37
(
1
):
12
-
21
.
doi:10.1200/JCO.18.00313
.
22.
Thavendiranathan
P
,
Poulin
F
,
Lim
K-D
,
Plana
J-C
,
Woo
A
,
Marwick
T-H
.
Use of myocardial strain imaging by echocardiography for the early detection of cardiotoxicity in patients during and after cancer chemotherapy: a systematic review
.
J Am Coll Cardiol
.
2014
;
63
(
25, pt A
):
2751
-
2768
.
doi:10.1016/j.jacc.2014.01.073
.
23.
Armstrong
GT
,
Plana
JC
,
Zhang
N
, et al.
Screening adult survivors of childhood cancer for cardiomyopathy: comparison of echocardiography and cardiac magnetic resonance imaging
.
J Clin Oncol
.
2012
;
30
(
23
):
2876
-
2884
.
doi:10.1200/JCO.2011.40.3584
.
24.
Neilan
TG
,
Coelho-Filho
OR
,
Pena-Herrera
D
, et al.
Left ventricular mass in patients with a cardiomyopathy after treatment with anthracyclines
.
Am J Cardiol
.
2012
;
110
(
11
):
1679
-
1686
.
doi:10.1016/j.amjcard.2012.07.040
.
25.
Christiansen
JR
,
Massey
R
,
Dalen
H
, et al.
Right ventricular function in long-term adult survivors of childhood lymphoma and acute lymphoblastic leukaemia
.
Eur Heart J Cardiovasc Imaging
.
2016
;
17
(
7
):
735
-
741
.
doi:10.1093/ehjci/jew018
.
26.
Zaha
VG
,
Hayek
SS
,
Alexander
KM
, et al.
Future perspectives of cardiovascular biomarker utilization in cancer survivors: a scientific statement from the American Heart Association
.
Circulation
.
2021
;
144
(
25
):
e551
-
e563
.
doi:10.1161/CIR.0000000000001032
.
27.
Leerink
JM
,
Verkleij
SJ
,
Feijen
EAM
, et al.
Biomarkers to diagnose ventricular dysfunction in childhood cancer survivors: a systematic review
.
Heart
.
2019
;
105
(
3
):
210
-
216
.
doi:10.1136/heartjnl-2018-313634
.
28.
Heidenreich
PA
,
Bozkurt
B
,
Aguilar
D
, et al.
2022 AHA/ACC/HFSA guideline for the management of heart failure: a report of the American College of Cardiology/American Heart Association Joint Committee on Clinical Practice Guidelines
.
Circulation
.
2022
;
145
(
18
):
e895
-
e1032
.
doi:10.1161/CIR.0000000000001063
.
29.
Livi
L
,
Barletta
G
,
Martella
F
, et al.
Cardioprotective strategy for patients with nonmetastatic breast cancer who are receiving an anthracycline-based chemotherapy: a randomized clinical trial
.
JAMA Oncol
.
2021
;
7
(
10
):
1544
-
1549
.
doi:10.1001/jamaoncol.2021.3395
.
30.
Avila
MS
,
Ayub-Ferreira
SM
,
de Barros Wanderley
MR
Jr
, et al.
Carvedilol for prevention of chemotherapy-related cardiotoxicity: the CECCY trial
.
J Am Coll Cardiol
.
2018
;
71
(
20
):
2281
-
2290
.
doi:10.1016/j.jacc.2018.02.049
.
31.
Chow
EJ
,
Chen
Y
,
Armstrong
GT
, et al.
Underdiagnosis and undertreatment of modifiable cardiovascular risk factors among survivors of childhood cancer
.
J Am Heart Assoc
.
2022
;
11
(
12
):
e024735
.
doi:10.1161/JAHA.121.024735
.
32.
Harrington
JK
,
Richmond
ME
,
Fein
AW
,
Kobsa
S
,
Satwani
P
,
Shah
A
.
Two-dimensional speckle tracking echocardiography-derived strain measurements in survivors of childhood cancer on angiotensin converting enzyme inhibition or receptor blockade
.
Pediatr Cardiol
.
2018
;
39
(
7
):
1404
-
1412
.
doi:10.1007/s00246-018-1910-z
.
33.
Lipshultz
SE
,
Lipsitz
SR
,
Sallan
SE
, et al.
Long-term enalapril therapy for left ventricular dysfunction in doxorubicin-treated survivors of childhood cancer
.
J Clin Oncol
.
2002
;
20
(
23
):
4517
-
4522
.
doi:10.1200/JCO.2002.12.102
.
34.
Silber
JH
,
Cnaan
A
,
Clark
BJ
, et al.
Enalapril to prevent cardiac function decline in long-term survivors of pediatric cancer exposed to anthracyclines
.
J Clin Oncol
.
2004
;
22
(
5
):
820
-
828
.
doi:10.1200/JCO.2004.06.022
.
35.
Martín-Garcia
A
,
López-Fernández
T
,
Mitroi
C
, et al.
Effectiveness of sacubitril-valsartan in cancer patients with heart failure
.
ESC Heart Fail
.
2020
;
7
(
2
):
763
-
767
.
doi:10.1002/ehf2.12627
.
36.
Gregorietti
V
,
Fernandez
TL
,
Costa
D
,
Chahla
EO
,
Daniele
AJ
.
Use of sacubitril/valsartan in patients with cardio toxicity and heart failure due to chemotherapy
.
Cardiooncology
.
2020
;
6
(
1
):
24
.
doi:10.1186/s40959-020-00078-4
.
37.
Reed
GW
,
Masri
A
,
Griffin
BP
,
Kapadia
SR
,
Ellis
SG
,
Desai
MY
.
Long-term mortality in patients with radiation-associated coronary artery disease treated with percutaneous coronary intervention
.
Circ Cardiovasc Interv
.
2016
;
9
(
6
):
e003483
.
doi:10.1161/CIRCINTERVENTIONS.115.003483
.
38.
Donnellan
E
,
Alashi
A
,
Johnston
DR
, et al.
Outcomes of patients with mediastinal radiation-associated mitral valve disease undergoing cardiac surgery
.
Circulation
.
2019
;
140
(
15
):
1288
-
1290
.
doi:10.1161/CIRCULATIONAHA.119.040546
.
39.
Wu
W
,
Masri
A
,
Popovic
ZB
, et al.
Long-term survival of patients with radiation heart disease undergoing cardiac surgery: a cohort study
.
Circulation
.
2013
;
127
(
14
):
1476
-
1485
.
doi:10.1161/CIRCULATIONAHA.113.001435
.