The Case
A 68-year-old woman who had a mechanical mitral valve implant 30 years ago due to rheumatic valvular heart disease developed infectious endocarditis that required a mechanical mitral valve replacement. During the immediate post-surgery period, she experienced complications including hemothorax and hemopericardium, which necessitated reintervention and blood transfusion support. Six weeks later, she presented to the emergency department with a three-day history of weakness, fatigue, and dark urine. Relevant clinical findings on admission included pale and icteric skin and a cardiac systolic murmur in the mitral focus with a valvular click. The patient’s hemoglobin level was 8.6 g/dL (reference range: 12-15), with a mean corpuscular volume of 97 fL (reference range: 80-100), platelet count of 153 x 103/uL (reference range: 150-450), and white cell count of 9.5 x 103/uL (reference range: 3.5-12). Her prothrombin time was 121 seconds (reference range: 10-14), international normalized ratio was 10 (under acenocoumarol anticoagulation), and fibrinogen level was 480 mg/dL (reference range: 200-400). Additionally, her lactate dehydrogenase (LDH) level was 2,372 IU/L (reference range: <250), total bilirubin was 3.9 mg/dL, direct fraction was 1.5 mg/dL, creatinine was 0.9 mg/dL, brain natriuretic peptide was 11,700 pg/mL (reference range: <100), and haptoglobin was undetectable (reference range: 40-200 mg/dL). The blood levels of electrolytes, glucose, total protein, albumin, alkaline phosphatase, ferritin, vitamin B12, and folate were all normal.
The Question
What is the cause of this patient’s anemia? (Is it from non-obvious bleeding or hemolysis? If hemolysis, is it post-transfusion?)
The Response
One of the causes of anemia and indirect hyperbilirubinemia is the presence of resorptive hematoma. Despite the patient’s over-anticoagulation, no previous bleeding was detected. On the other hand, it indicated the presence of hemolytic anemia, thus necessitating consideration of both immune- and non-immune-mediated etiologies. Among the immune-mediated etiologies, the predominant mechanism is typically mediated by autoantibodies directed against erythrocyte surface antigens.1 One potential etiology is late hemolytic transfusion reaction, which can manifest within four weeks post-transfusion due to alloantibodies against red blood cell (RBC) antigens.2 Another potential cause is drug-induced hemolytic anemia, which is characterized by the binding of antibodies to erythrocyte epitopes, hapten (e.g., ceftriaxone), immune complexes (e.g., rifampicin), or autoantibodies (e.g., procainamide). This reaction is typically immediate (hours) rather than delayed (days).1
To investigate these immune causes, a Coombs test (direct antiglobulin test [DAT]) is necessary. As part of the study, an elution technique should be carried out to determine if the positive DAT is caused by an autoantibody. Elution removes immunoglobulin G (IgG) bound to the patient’s RBCs using a dilute acid solution. Resulting eluate is then tested against a panel of reagent RBCs to check for the specificity of the RBC-bound IgG.3 The outcomes of this investigation are critical in distinguishing between autoimmune and drug-induced immune hemolytic anemia. If the eluate is negative, a drug-dependent antibody would be suspected.3 Furthermore, elution can be used to identify alloantibody binding to circulating transfused RBCs in suspected delayed transfusion reactions.3 The patient’s DAT was negative.
Subsequently, non-immune causes should be considered, both corpuscular (such as membranopathies, enzymopathies, and/or hemoglobinopathies) and extracorpuscular in origin. Given the context and temporal relationship with the surgical intervention, extracorpuscular causes were the primary suspicion, likely due to prosthetic valve dysfunction (referred to as Waring blender syndrome), which generates hemodynamic turbulence. This condition causes anemia and can lead to thrombocytopenia and/or acquired von Willebrand disease. It is commonly observed in cases of prosthetic valve leaks or with the presence of other foreign materials (e.g., left ventricular assist devices, transcatheter valve replacement, and intracardiac shunt closure). While aortic valves are more frequently associated with this phenomenon due to their higher-pressure gradient, dysfunctional mitral valves can also cause this condition, albeit in less than 1% of mitral valve repair and annular ring placement surgeries.4 A peripheral blood smear revealed schistocytes in less than 1% of the cells, without any other alterations. At this point, a microangiopathic hemolytic anemia was suspected.
Point-of-care cardiac ultrasonography, performed in the emergency room, revealed normal biventricular function and no evidence of pericardial effusion or clot on the mitral valve. Transesophageal echocardiography showed signs of valvular prosthesis dysfunction, with a paravalvular leak on a posterior ring (Figure). This leak was likely due to the poor quality of tissues, which were friable due to the active infectious process when the valve was implanted. The patient was on transfusion support during the intervention. In the first few days after the procedure, hemolysis improved, with the patient’s LDH measuring 391 IU/L, total bilirubin at 1 mg/dL, and hemoglobin at 8 g/dL.
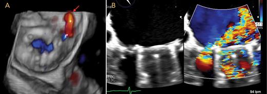
Images from three-dimensional transesophageal echocardiography
A: View of the mitral prosthesis from the left atrial aspect, with paravalvular regurgitation depicted with color Doppler, located posterolaterally (arrow). B: Mitral regurgitation with and without color Doppler.
Images from three-dimensional transesophageal echocardiography
A: View of the mitral prosthesis from the left atrial aspect, with paravalvular regurgitation depicted with color Doppler, located posterolaterally (arrow). B: Mitral regurgitation with and without color Doppler.
Conclusion
A paravalvular leak that develops after surgical heart valve replacement will result in severe heart failure, hemolytic anemia, or a combination of both in about 5% of patients.5 Cardiac prosthesis-related hemolytic anemia is well known but is likely underappreciated. This potentially fatal complication was initially identified in patients who received valve replacement surgery using first-generation surgical prostheses in the 1950s.6 However, clinically apparent hemolysis following surgical valve replacement has decreased due to improved valve design and surgical implantation methods.4 While hemolytic anemia resolves spontaneously in about 75% of patients with aortic paravalvular leaks, it occurs in less than 15% of patients with mitral paravalvular leaks.5 In cases of aortic paravalvular leaks, valve replacement or repair is indicated to correct the cytopenia(s) and heart failure.4,5
Despite its rarity, this condition frequently presents clinical cardiologists and hematologists with challenging diagnostic and treatment decisions.4
Disclosure Statement
The authors indicated no relevant conflicts of interest.
