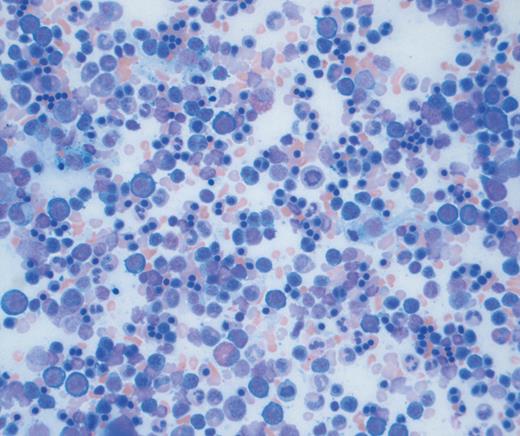
A 12-year-old girl presented to clinic for evaluation of anemia that was incidentally noted during a routine annual examination. Her medical history was unremarkable besides a laparoscopic cholecystectomy at the age of 10 years. On physical examination, she is noted to have sclera icterus, which her parents remarked has been present since birth. Laboratory studies revealed a white blood cell count of 7.3 × 109/L with a normal differential, hemoglobin of 8.9 g/dL, and platelet count of 288 × 109/L. Her reticulocyte count was 3.71 percent (absolute 103.9 K/μL), total bilirubin is 3.6 mg/dL, and haptoglobin is lower than 30 mg/dL. A bone marrow aspirate showed the following (Figures 1 and 2):
What is the diagnosis?
Pyruvate kinase deficiency
G6PD deficiency
Hemoglobin H disease
Congenital dyserythropoietic anemia type II
Diamond Blackfan anemia
For the solution to the quiz, visit The Hematologist online, https://ashpublications.org/thehematologist//pages/quality_over_quantity_a_case_too_many.
Competing Interests
Dr. Chien, Dr. Lo, and Dr. Glader indicated no relevant conflicts of interest.

