A 71-year-old man was diagnosed seven years ago with a hematologic malignancy that was successfully treated with chemotherapy and determined to be in complete remission. He later presented in clinic with mild fatigue. A complete blood count with differential is performed.
White blood cell count was 2.2 × 103/μL; hemoglobin, 14.5 g/dL; and platelet count, 77 × 103/μL. Differential test revealed a neutrophil count of 52 percent; lymphocytes, 43 percent; monocytes, 2 percent; eosinophils, 2 percent; and basophils, 0 percent.
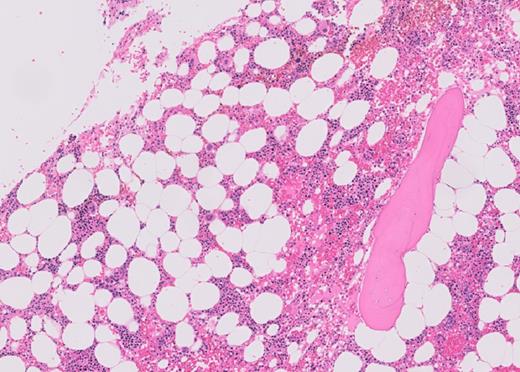
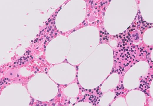
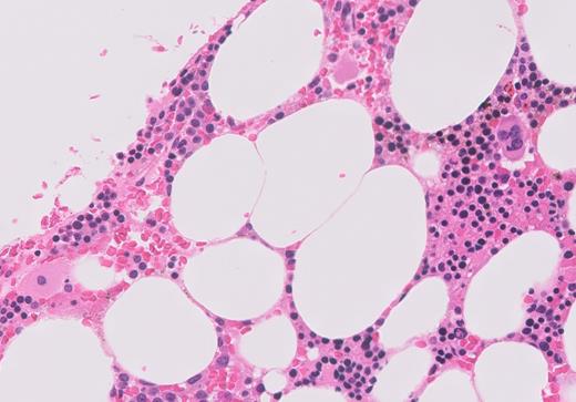
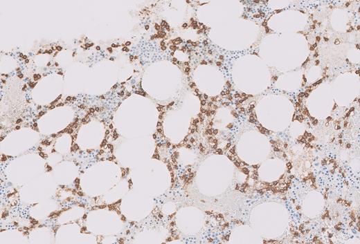
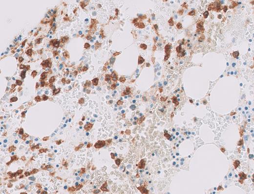
A bone marrow biopsy was performed to further evaluate the patient. The images shown here are the bone marrow core biopsy with hematoxylin and eosin (H&E; Figures 1 and 2) staining, CD20 (Figure 3) and CD11c (Figure 4) immunohistochemistry on core biopsy, and representative flow cytometry plots (Figures 5 and 6). Additionally, next-generation sequencing was performed on the bone marrow biopsy and detected a BRAFV600E mutation.
A. Myelodysplastic syndrome
B. Splenic marginal zone lymphoma
C. Hairy cell leukemia
D. Hairy cell leukemia-variant
Sorry, that was not the preferred response.
Correct!
Although not immediately apparent on the H&E slides, the combination of interstitial CD20+/CD11c+ B cells as well as flow cytometric evidence of CD25+ and CD103 clonal surface light expression in the B cells supports the diagnosis of hairy cell leukemia (HCL). This is the case of a patient treated for HCL that was initially diagnosed seven years earlier, with subtle relapsed disease at present.
HCL is a mature B-cell neoplasm that derives its name from the long “hairy” cytoplasmic projections that can be seen on peripheral blood smear. Patients with HCL characteristically present with a leukopenia. Anemia and thrombocytopenia are also frequently present at diagnosis. Of note, monocytopenia is observed in almost cases.1
Classically, a bone marrow biopsy with H&E staining demonstrates a diffuse or interstitial infiltrate of monotonous small- to medium-sized cells with abundant cytoplasm and equally spaced nuclei resulting in a fried egg appearance. As in this case, the neoplastic infiltrate can be easily missed at diagnosis, and more so in early relapse. Therefore, a CD20 immunostain is helpful in identifying subtle involvement. The neoplastic cells in HCL express CD20 consistent with B-cell derivation and are classically positive for CD11c, CD22, CD25, CD103, CD123, and annexin A1. The BRAFV600E point mutation is present in the vast majority of cases.2
Myelodysplastic syndrome (choice A) is incorrect because there is no morphologic dysplasia, and the patient’s cytopenias can be better explained by HCL.
Splenic marginal zone lymphoma (SMZL; choice B) is another B-cell lymphoma that involves the bone marrow, is CD20-positive, and can be CD11c-positive. In contrast to HCL, SMZL is usually negative for CD103, CD123, and annexin. Also, SMZL does not carry underlying BRAFV600E mutations, but harbor heterozygous del(7q) in about 30 percent of cases.
HCL variant (HCL-v; option D) is a provisional entity in the 2016 World Health Organization classification, which displays clinical, morphologic, immunophenotypic, and genetic differences from HCL. HCL-v presents with lymphocytosis, is CD25-negative, and lacks BRAFV600E mutations allowing its distinction from classic HCL.
References
References
Dr. Kaumeyer, Dr. Arber, and Dr. Venkataraman indicated no relevant conflicts of interest.





