Abstract
A revision to the 4th edition of the WHO Classification of myelodysplastic syndromes (MDSs), originally published in 2008, is expected in mid-2016. Based on recommendations of a Clinical Advisory Committee, the revision will aim to incorporate new discoveries in MDS that impact existing disease categories. Although the basic diagnostic principles of the WHO classification remain unchanged, several changes to the classification are proposed. All revisions are considered preliminary until the actual publication of the monograph and online document. Proposals for change include abandoning the routine use of “refractory anemia/cytopenia” in the various disease names, including the prognostic significance of gene mutations in MDS, revising the diagnostic criteria for MDS entities with ring sideroblasts based on the detection of SF3B1 mutations, modifying the cytogenetic criteria for MDS with isolated del(5q), reclassifying most cases of the erythroid/myeloid type of acute erythroleukemia, and recognizing the familial link in some cases of MDS. This review will provide details of the major proposed changes as well as rationale for the revisions.
Learning Objective
Understand proposed changes to the WHO classification of myelodysplastic syndromes
The classification of myelodysplastic syndromes (MDSs) and other myeloid neoplasms has become increasingly important as we learn about variations in biology and genetic changes of specific tumors and as new therapies are developed that either target specific genetic changes or are optimized to a specific disease category. Although new genetic discoveries offer opportunities to alter the approach to disease classification, the overlap in genetic aberrations between very disparate tumors reinforces the need to use a comprehensive approach to the diagnosis and appropriate classification of tumors.
Ideally, a classification system should define diseases that are clinically distinct, are non-overlapping, and encompass the vast majority of diseases. The diagnostic features should be as precise as possible to ensure reproducibility, and should, ideally, only require testing that is readily available to ensure widespread application. Unfortunately, some diagnostic advances that impact disease classification are not yet available in all geographic locations at the time of implementation of the classification system, but recognizing the importance of some testing methods, such as genetic testing, and making them essential to a classification scheme, helps to drive the rapid adoption of such new methods. Finally, a modern classification system must be flexible to allow for evolution as new information become available.
The 2008 (4th edition) World Health Organization (WHO) Classification of Tumours of Haematopoietic and Lymphoid Tissues1 was a collaborative effort of the European Association for Haematopathology and the Society for Hematopathology. It represents a revision of the 3rd edition published in 2001, which introduced an integrated approach to the classification of hematopoietic tumors that included morphology, immunophenotyping, genetics, and clinical information. The 4th edition of the WHO, however, is now 7 years old and needs to be updated to remain a useful classification system. In the spring of 2014, a Clinical Advisory Committee of ∼100 hematologists, oncologists, pathologists, and cytogeneticists from all over the world met in Chicago, IL to examine and develop an update to the 2008 WHO Classification; approximately one-half of the group focused on myeloid neoplasms. This meeting was organized around a series of proposals developed by authors of the 2008 classification as well as leading clinical consultants; these proposals questioned or refined existing nomenclature, disease definitions, or diagnostic criteria and in some cases suggested new disease entities based on novel information that had accumulated since 2008. The proposals were presented by pathologists and discussed among the panel of hematologists, oncologists, geneticists, and pathologists. Based on the discussions surrounding these proposals, the 2008 WHO Classification is being updated, with printed and online versions of the revision expected in mid-2016. This review will summarize the proposed major changes to the classification system related to the myelodysplastic syndromes. However, additional changes could be made during the final revisions of the text prior to publication, and the reader will need to refer to the ultimate publication by the WHO for the official version of the classification.
Key proposed changes to the classification of MDS
Morphology
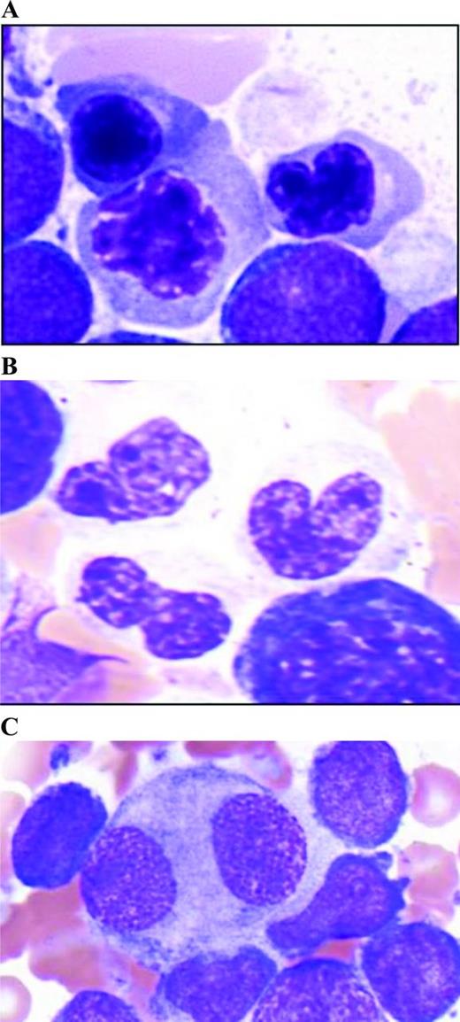
Although sometimes challenging to interpret, the morphologic features of MDS are well described2 (Figure 1), and significant changes to the morphologic criteria are not proposed. However, the current threshold of 10% to define a lineage as dysplastic may result in overcalling of dysplasia in non-MDS cases. Some recent studies have identified >10% dysplasia in 2 lineages in up to one-quarter of normal individuals.3,4 Other studies appear to indicate that using more restricted measures of dysplasia (micromegakaryocytes, Pelger–Hüet neutrophils, neutrophil hypogranularity) and ignoring less specific findings, such as erythroid cytoplasmic vacuolization or irregular hemoglobinization, may improve on the specificity of morphologic dysplasia for MDS.5 Although higher thresholds for declaring a hematopoietic lineage dysplastic (particularly megakaryocytes) have been advocated,2 the current proposal is to retain the 10% threshold but provide more detailed morphologic definitions of dysplasia and emphasize the importance of carefully considering non-MDS causes of dysplasia.
Morphologic features of myelodysplastic syndromes. (A) Erythroid dyspoiesis is often characterized by nuclear irregularities. (B) Hypogranularity of neutrophils with abnormal nuclear segmentation is also common. (C) Small, hypolobated megakaryocytes, small are one form of dysmegakaryopoiesis.
Morphologic features of myelodysplastic syndromes. (A) Erythroid dyspoiesis is often characterized by nuclear irregularities. (B) Hypogranularity of neutrophils with abnormal nuclear segmentation is also common. (C) Small, hypolobated megakaryocytes, small are one form of dysmegakaryopoiesis.
Discussions on proposed revisions of disease categories related to blast cell counts also resulted in no change in the classification. The classification will continue to recommend that blast cell counts should ideally be performed on well-stained, cellular bone marrow aspirate smears; although the utility of CD34 staining on a trephine biopsy may be helpful for blast cell estimates in the absence of cellular aspirate smears, such as in the setting of marrow fibrosis. Because of confounding factors that may falsely elevate or decrease the blast cell count measured by flow cytometry, this technique is not considered preferable over a morphologic cell count for blast enumeration. Although the IPSS-R now separates risk groups based on a 2% blast cell cutoff,6 the lack of reproducibility in small differences in manual blast cell counts (even when the WHO recommendation of counting at least 500 marrow cells is followed) was felt to be problematic for MDS disease subclassification. Therefore, no specific categories for cases with 0%-2% blasts versus >2 to <5% blasts were created. There was also a proposal to raise the allowable blast cell count in MDS from <20% to <30%, as was used prior to the 2001 WHO Classification, based on the slow progression of some patients in this category of low-blast count acute myeloid leukemia as well as response of some patients in this group to MDS-related therapy.7,8 However, the Clinical Advisory Committee did not support a change in the blast cell count at this time, in part due to the impact such a change would have on clinical trials for acute myeloid leukemia.
Nomenclature
There is sometimes confusion over the use of cytopenias versus morphologic dysplasia in defining MDS subtypes. The WHO classification of MDS inherently emphasizes morphologic features (eg, unilineage vs multilineage dysplasia and blast percentage) over cytopenias, yet “cytopenia” or “anemia” is in the name of almost every MDS subtype. Moreover, the type of dysplasia does not always agree with the type of cytopenia in unilineage MDS cases (eg, patients with “refractory anemia” may exhibit >10% dysplasia in the megakaryocytic, but not the erythroid lineage).9,10 For these reasons, it is proposed to replace the terminology of “refractory anemia” and “refractory cytopenia” with “myelodysplastic syndrome” in the revised classification. The proposed new disease names and their relationship to the prior WHO Classification MDS entities are summarized in Table 1.
Cytogenetics, mutation analysis and flow cytometry immunophenotyping in MDS
The Clinical Advisory Committee recognized the importance of recent discoveries regarding the clinical significance of specific gene mutations in MDS. However, most mutations do not appear to correlate with specific disease entities,11,12 and although recommended for prognostication, such results will not impact the classification system (with the one exception discussed below for mutations of SF3B1). Karyotype analysis will continue to be essential: an abnormal karyotype supports clonality and the specific karyotypic abnormalities that are considered diagnostic of MDS in morphologically subtle cases will probably remain unchanged for the category of MDS, unclassified (MDS-U). In light of recent studies showing that gene mutations that are common in MDS and other myeloid neoplasms may also occur in healthy individuals (especially in older individuals),13-15 the WHO will not consider the detection of a gene mutation as proof of clonality in the same manner as specific clonal cytogenetic abnormalities.
Although the cytogenetic criteria for MDS will likely remain unchanged, the Clinical Advisory Committee discussed the significance of monosomal karyotype (presence of 2 or more autosomal chromosome monosomies or a single autosomal monosomy associated with at least 1 structural abnormality) in MDS. Monosomal karyotype is associated with high-risk MDS and adverse prognosis in some studies.16 However, other studies have found that there is no significance of monosomal karyotype after accounting for complex karyotype (≥3 or ≥5 independent abnormalities).17 The new IPSS-R 5-group cytogenetic classification appears to account for most monosomal karyotype cases in its “very poor” risk group.18 Overall, monosomal karyotype does not appear to define a specific MDS subtype; further study is needed to determine its impact on prognosis independent of other cytogenetic and molecular genetic risk features.
Flow cytometry immunophenotyping in cases of suspected MDS has become increasingly common and the 2008 WHO classification states that “in cases where 3 or more immunophenotypic abnormalities are found, involving one or more of the myeloid lineages, the aberrant findings can be considered as suggestive of MDS”. In 2013, the European LeukemiaNet recommended flow cytometry as a diagnostic procedure in the workup of MDS and the 2013 NCCN guidelines also declare that flow cytometry is a “useful adjunct procedure” in diagnosing difficult MDS cases. These publications have stressed the importance of using published guidelines to develop flow cytometry testing of MDS in individual laboratories and that specific recommended published panels be used.19-21 Although it is recognized that flow cytometry immunophenotyping may be a useful ancillary technique in the evaluation of MDS, its use will not be required or even specifically recommended in the diagnostic work-up of MDS in the upcoming WHO revision. However, it will be noted that flow cytometry immunophenotyping in suspected MDS cases does provide useful information and, if performed, should be resulted as part of an integrated report that includes morphology and other findings.
Specific disease group category changes
MDS with ring sideroblasts and single lineage dysplasia or multilineage dysplasia (MDS-RSSLD and MDS-RSMLD)
Aside from nomenclature changes, a major change in the organization of the classification is the separation of MDS with ring sideroblasts, which can occur in cases with or without multilineage dysplasia. The category of RCMD-RS (now MDS-RSMLD) was originally eliminated in the 2008 WHO Classification and merged with RCMD because it was shown to be prognostically similar to RCMD lacking ring sideroblasts.22,23 Although this still appears to be the case, the recent discovery of mutations in the spliceosome gene SF3B1 that are associated with ring sideroblasts provided a link between morphology and genetics in MDS.24-26 The SF3B1 mutation is strongly associated with ring sideroblasts in both RARS and RCMD-RS and these 2 groups also appear to share gene expression profiles.27 Moreover, MDS cases with SF3B1 mutations have a distinctive gene expression pattern, with a large number of differentially expressed genes.28 This combination of shared morphology (ring sideroblasts) and a shared underlying driver mutation (SF3B1) now favors separating MDS with ring sideroblasts as distinct entities, which may have single or multilineage dysplasia; the vast majority of MDS-RSSLD cases will be equivalent to the 2008 WHO disease category of RARS. It is critical to note that ring sideroblasts and SF3B1 mutations also occur in high-grade MDS with excess blasts and even in AML; these cases will continue to be classified according to their blast count category irrespective of the presence of ring sideroblasts or the gene mutation. In this way, ring sideroblasts will be analogous to del(5q), which only defines a specific MDS entity in cases with <5% bone marrow blasts. Because of similarity in prognosis,25 patients with ring sideroblasts but not meeting the 15% threshold used to define RARS will still be diagnosed as one of these categories if an SF3B1 mutation is detected, as long as at least 5% ring sideroblasts are present. Therefore, although SF3B1 mutation analysis will not be required for a diagnosis of MDS-RSSLD or MDS-RSMLD, its detection will impact the classification when ring sideroblasts are present but are <15% threshold.
MDS with isolated del(5q)
Recent studies have shown that the del(5q) abnormality in MDS is prognostically similar whether it is isolated or occurs with one additional low-risk cytogenetic aberration.29,30 Based on this finding, the category of MDS with isolated del(5q) will be expanded to encompass cases with one additional cytogenetic abnormality (excluding monosomy 7). The category, however, will continue to exclude cases with increased bone marrow or peripheral blood blasts, significant granulocytic dysplasia, or further additional cytogenetic abnormalities.31
MDS in childhood
Recent studies have shown that refractory cytopenia of childhood (RCC) has reproducible morphology and can be accurately separated from severe aplastic anemia.32 However, there is considerable clinical and genetic heterogeneity in RCC and potential overlap with inherited bone marrow failure syndromes such as Fanconi anemia.33 For these reasons, it was felt that more study is needed to better define RCC, and that it should remain as a provisional entity in the updated classification.
MDS, unclassified
The 1% peripheral blood blast threshold for MDS-U cases with single lineage dysplasia does not appear to be reproducible in clinical practice. Therefore, it is proposed that 1% peripheral blood blasts must be measured on at least 2 separate occasions in order to classify a single-lineage dysplasia MDS case as MDS-U.
MDS-related changes in other WHO categories
Erythroleukemia (erythroid/myeloid type)
The 2008 WHO Classification defined the erythroid/myeloid type of erythroleukemia as a type of acute myeloid leukemia, not otherwise specified, having <20% blasts among all marrow cells, but ≥50% erythroid precursors and 20% or more myeloblasts among the non-erythroid cells. In cases with high numbers of erythroid precursors, this calculation allows for the diagnosis of acute leukemia with relatively low, sometimes even <5%, total bone marrow myeloblasts. It is now recognized that this arbitrary and complicated method of diagnosing the erythroid/myeloid type of erythroleukemia did not always predict clinically aggressive disease as suggested by a diagnosis of acute myeloid leukemia.34-36 Moreover, the erythroid/myeloid type of acute myeloid leukemia has a mutation profile that is more similar to MDS than to de novo AML.37,38 For these reasons, the WHO has proposed to eliminate the non-erythroid blast cell count rule and to move such cases out of the category of acute myeloid leukemia and into the appropriate MDS category based on the absolute blast cell count. For example, a case with 60% bone marrow erythroid precursors and 11% myeloblasts would now be classified as MDS with excess blasts-2 (MDS-EB2). Pure erythroleukemia will remain as a subtype of acute myeloid leukemia.
Familial myeloid neoplasms
Individuals with specific familial/constitutional gene mutations have an increased risk of a variety of hematologic abnormalities, including thrombocytopenia as well as the development of MDS and acute leukemia.39,40 The WHO has proposed adding a chapter covering these disorders and their relationship to MDS and acute leukemias. This section will raise awareness of these associations and facilitate the identification of a possible underlying familial nature in patients diagnosed with myeloid neoplasms, thus allowing for the screening and early diagnosis of family members.
Conclusions
Upon the advice and direction of the Clinical Advisory Committee, the authors of the upcoming revision to the WHO Classification will incorporate new knowledge and understanding related to MDS that has become available since the 2008 edition into the revised classification. Although in most cases specific gene mutations will not define disease entities, the clinical importance of these genetic changes will be stressed and reviewed within the text of the monograph. The update will aim to provide clear diagnostic criteria for modified disease categories that have clinical and biologic significance, and will be supplemented by additional prognostic studies and scoring systems. The reader is reminded that the classification update is not yet final and further changes may occur before the final monograph is published in 2016.
Correspondence
Daniel A. Arber, MD, Department of Pathology, Stanford University, 300 Pasteur Drive, H1507C, Stanford, CA 94305; Phone: 650-725-5604; Fax: 650-736-1473; e-mail: darber@stanford.edu.
References
Competing Interests
Conflict-of-interest disclosures: D.A.A. has consulted for Celgene; and R.P.H. declares no competing financial interests.
Author notes
Off-label drug use: None disclosed.

