Key Points
Predominant NOTCH1 152 A>G substitution rewrites and generates a novel C terminus detectable by a specific antibody.
NICD 152 lacks the PEST sequence but still binds FBXW7 and ubiquitin-specific peptidase 28, dysregulating degradation of NICD wild type.
Visual Abstract
Chronic lymphocytic leukemia (CLL) is the most common chronic blood cancer in adults. Active NOTCH signaling in CLL is associated with poorer prognosis. Importantly, patients with CLL with NOTCH1 noncoding mutations in the 3′ untranslated region (3′UTR) manifested with a more aggressive disease course even compared with those with mutations in the NOTCH1 coding region. Here, we comprehensively characterize a cryptic splice acceptor site in the 3′UTR of the NOTCH1 gene being converted into a stronger site. The functional consequences of the resulting NOTCH1 protein variants depend on the exact localization of the splice site, the used open reading frame, and the appearance of the next stop codon. The most frequent 3′UTR mutation (g.139390152, A>G) generates a novel NOTCH1 protein, lacking the PEST domain but expressing an altered C terminus consisting of 68 amino acids. Mechanistically, we demonstrate that this splice variant (NOTCH1 152) is transcriptionally less active and dysregulates the regular ubiquitination-dependent degradation of the wild-type NICD (NOTCH1 intracellular domain) in trans. Thus, the NOTCH1 152 variant acts as a “sponge” protein in a novel mechanism of oncogenic NOTCH signaling activation, explaining the detrimental disease outcome of patients with CLL with noncoding NOTCH1 mutations. We propose that the detection of NOTCH1 152 protein by specific antibodies is a useful prognostic marker for patients with CLL.
Introduction
Chronic lymphocytic leukemia (CLL) has undergone a dramatic increase globally in the last several decades, which makes it the most common leukemia.1 According to the National Cancer Institute’s Surveillance, Epidemiology, and End Results program, it is estimated that 0.6% of inhabitants with male dominance (1.7:1) will be diagnosed with CLL at a median age of 70 years (https://seer.cancer.gov/statfacts/html/clyl.html). Patients usually have an immunocompromised state and frequent infections due to clonal accumulation of dysfunctional CD5+ B cells within the peripheral blood, bone marrow, lymph nodes, and spleen.2,3 A central question driving the attention of clinical hematologists is how to develop reliable tools distinguishing different prognostic subgroups thus optimizing the management of patients with CLL due to the indolent disease course. Immunoglobulin heavy chain variable (IGHV) status is one of the risk factors and suggested being evaluated at diagnosis.4 IGHV-nonmutated CLLs are supposed to be more aggressive due to higher frequency of adenopathy and tumor burden, correlated with more adherent and invasive cells.5 Because the NOTCH pathway is activated in almost half of all CLL cases, an integrated model included NOTCH1 mutations to stratify an intermediate-risk group with a 10-year survival rate of 37%.6,7
The NOTCH signaling pathway is required for the regulation of multiple processes, such as embryonic and adult development and tissue homeostasis, but it is also implicated in malignant transformation.8,9 NOTCH signaling is critically involved in the maintenance of hematopoietic stem cells and in the specification of the T-lineage cells and especially seems to be important for the differentiation of antibody-secreting B cells.10 After NOTCH signaling is initiated upon binding of a ligand from a neighboring cell, NOTCH1 receptor is cleaved at 2 specific sites. The NOTCH1 intracellular domain (NICD) translocates from the cell membrane to the nucleus after sequential cleavage by “a disintegrin and metalloprotease” (ADAM; S2) and γ-secretase (S3). The interaction of NICD and the responsive elements is mediated by the DNA-binding protein RBP-J. In addition, mastermind like (MAML) and other transcriptional coactivators are then recruited to transcriptionally activate NOTCH target genes. The NICD, per se, is an unstable protein, and the turnover is regulated by CDK8-dependent phosphorylation and subsequent ubiquitination by FBXW7 E3 ubiquitin ligase at its C-terminal proline-glutamic acid-serine-threonine–rich PEST domain leading to proteasomal degradation.11 However, ubiquitination of proteins is counteracted by deubiquitinases which catalyze hydrolysis and removal of ubiquitin chains.12 Ubiquitin-specific peptidase 28 (USP28) is localized on the long arm of chromosome 11 (11q23). Interestingly, deletions in 11q [del(11q)] are detected in up to 25% of patients with CLL.3,13 Thus, the correlation between del(11q) and USP28 and its function and effects on NICD degradation are of great interest in CLL research.
At diagnosis of CLL, the most frequently mutated gene is NOTCH1, ranging from 4% to 20%. NOTCH1 mutations are related to the risk of progression to Richter syndrome, which is consistent with the fact that 30% Richter-transformed CLL cases have mutated NOTCH1.14,15 In CLL, most NOTCH1 mutations affect the C-terminal PEST domain, characterized by coding mutations and noncoding mutations which both cause protein truncation, loss of the PEST domain, and subsequent dysregulation of the FBXW7-dependent NICD degradation system. Unlike the NOTCH1 coding mutations, from which the truncated PEST domain leads to aberrantly increased NICD stability and activated NOTCH1 signaling, consequences of noncoding NOTCH1 mutations are not well understood.14
NOTCH1 noncoding mutations in the 3′ untranslated region (3′UTR) were first reported in 2015.16 According to their locations at chromosome 9 (Genome Reference Consortium Human Build 37 patch release 13), they are g.139390152 A>G, g.139390145 A>G, and g.139390143 A>C∗ (referred to NOTCH1 152, NOTCH1 145, and NOTCH1 143∗, respectively, in this study). Among them, the most prevalent one is NOTCH1 152 (74.5%), followed by NOTCH1 145 (21.3%) and NOTCH1 143∗ (4.2%).14 Therefore, in this study, most of our attention was driven to the mutation NOTCH1 152. In clinical trials, patients with CLL with noncoding NOTCH1 mutations exhibited adverse outcome, with shorter overall survival (OS) compared with a wild-type (wt) NOTCH1 cohort, of note, shorter time-to-first treatment (TTT) even compared with the NOTCH1 coding mutation group.16-18 Furthermore, noncoding NOTCH1-mutated cases were related to low CD20 expression; therefore, distinguishing 1 subgroup which might have limited benefits from anti-CD20 treatment (rituximab).2,19 In the era of precision medicine, deciphering mechanisms of altered NOTCH1 signaling by noncoding mutations in CLL might contribute to distinguish subgroups with diverse outcomes and to provide evidence for treatment decisions and new therapeutic response predictors to patients with resistance to current treatments.
Methods
Detailed information about topoisomerase I cloning, cell culture, quantitative polymerase chain reaction (qPCR), cloning of plasmids used in this study, immunofluorescence microscopy, luciferase assays, coimmunoprecipitations, nuclear extracts, western blotting, fluorescence-activated cell sorting analysis, Giemsa staining, and analysis of clinical data is available in the supplemental Methods, available on the Blood website.
MaxEntScan
Human blood samples
In cooperation with the Institute of Clinical Transfusion Medicine and Immunogenetics, a joint venture of German Red Cross Blood Service Baden-Wuerttemberg–Hessen and the University Hospital Ulm, whole blood donated by healthy adults was processed as described22 to obtain peripheral blood mononuclear cells (PBMCs) using Ficoll-Hypaque (catalog no. L6115; Biochrom AG). Samples from patients with CLL were provided by the Division of Chronic Lymphocytic Leukaemia, Department of Internal Medicine III, Ulm University (approved ethics vote 459/19) after CD19 MicroBeads (catalog no. 130050301; Miltenyi Biotec) sorting as mentioned.22
The study was approved by the ethics committee of Ulm University (institutional review board statement: approved ethics vote 459/19) and conducted in accordance with the principles of the Declaration of Helsinki of the World Medical Association.
Splicing RT-PCR
NOTCH1 3′UTR splicing-specific PCR primers were designed as follows: SP_forward: 5′-CCT GGC GGT GCA CAC TAT TCT G-3′, SP_reverse: 5′-CTT TTT GGA CTA TGC TCG TTC AAC TTC C-3′. The Taq DNA polymerase, recombinant kit (catalog no. 10342046; Invitrogen), was used to amplify target NOTCH1 fragments from complementary DNA.
NOTCH1 152 A>G-mutated HG3 cell line generated by CRISPR/Cas9
The design of the CRISPR RNA was performed using the Integrated DNA Technologies genome-editing tool (https://eu.idtdna.com/pages). The CRISPR RNA (5′-TCT TTT TGG ATT TTG AAA AA-3′) with the highest on-target potential and the lowest off-target risk was selected for further procedures (see supplemental Methods).
Statistical analysis
Comparison of significances was performed in GraphPad Prism 9.0, and quantitative data of at least 3 independent experiments were represented by mean ± standard deviation. Significant differences were determined by P value <.05. Details on the statistical tests are found in the legends for Figures 2, 3, 5, 6, and 7 and supplementary Figures 6, 7, and 11.
Results
NOTCH1 noncoding mutations in CLL manifest an aggressive phenotype
To investigate the role of 3′UTR mutations in CLL, we analyzed baseline samples from 700 patients of the CLL11 trial (ClinicalTrials.gov identifier: NCT02035462), which randomly assigned untreated patients with CLL with need for treatment to 12 cycles of chlorambucil with/without CD20 antibody (supplemental Table 1). We identified a total of 18 3′UTR NOTCH1 mutations in 18 patients with CLL, of which 15 were g.139390152 A>G and 3 were g.139390145 A>G. The presence of 3′UTR mutations reveals correlation with β2-microglobulin >3.5mg/L and (very) high CLL–International Prognostic Index (both P = .05). All but 1 patient had undetermined IGHV (P < .01), whereas absence of del(13q) (P = .05) was more frequent in 3′UTR-mutated cases. No association was found with the high-risk markers del(17p) or TP53 mutation.
In the context of treatment efficacy (supplemental Table 3), undetectable minimal residual disease rate was higher in 3′UTR cases (P = .04). However, 3-year progression-free survival (PFS) rate was lower (15.4%) as compared with wt NOTCH1 (24.4%) and close to patients with coding NOTCH1 mutations (18.2%, cases with concurrent 3′UTR and coding NOTCH1 mutations excluded; supplemental Figure 1). The observation of an enhanced response to therapy coupled with a more rapid disease recurrence indicates a more aggressive form of CLL; however, this does not depend on known co-occurring high-risk gene mutations. To comprehensively understand the molecular underpinnings of this aggressive CLL phenotype, we performed a detailed analysis of different 3′UTR NOTCH1 mutations and their impact on aberrant splicing events.
Aberrant splicing is predicted by an in silico model
Noncoding mutations in the human NOTCH1 gene result in aberrant splicing events and lead to excision of 158 bases of the NOTCH1 coding sequence (Figure 1A).16 However, the detailed regulation of the splicing events and the function of the resulting NOTCH1 proteins have not been analyzed, so far.
In silico analysis predicts aberrant splicing events of NOTCH1 pre-mRNA. (A) Schematic representation of C-terminal NOTCH1 pre-mRNA. NOTCH1 wt mRNA with the PEST domain coding sequence in exon 34 is spliced canonically (left), while upon mutation alternative splicing is induced (right). Here, the mutated 3′UTR sequences as indicated create acceptor sites, which can form a stronger acceptor motif with the already existent poly-Py tract “Py-Py-Py” and interact now with an activated cryptic donor site (AGGT) in the coding region of exon 34. This generates 4 different NOTCH1 splice variants (NOTCH1 152, 145, 143, 143∗) with new boundary sequences where the PEST domain coding sequence gets spliced out (shown in a green frame, bold type indicates reported variants; regular type represents variants discovered by this study). (B) Maximum entropy model (MaxEntScan) scores of canonical SSs located at the introns adjacent to NOTCH1 3′UTR and the corresponding sequences uploaded for score prediction are shown. (C) Distribution of MaxEntScan scores for NOTCH1 canonical SSs. Sequences used for MaxEntScan prediction are listed in supplemental Table 4. The average scores of canonical NOTCH1 5′SS (blue dots) and 3′SS (red dots) are calculated as 8.23 and 9.20, respectively. (D) Color coding of NOTCH1 3′UTR cryptic acceptor sites generated by NOTCH1 noncoding mutations. Prevalent NOTCH1 152 A>G mutation got a MaxEntScan score for 3′SS at 9.77 which is even higher than the average canonical NOTCH1 3′SS value (9.20; orange). Values located between 9.20 and minimum value (4.60) of canonical NOTCH1 3′SS are shown in yellow (NOTCH1 145 A>G and NOTCH1 143∗ A>C). Of note, the NOTCH1 143∗ A>C score was calculated for NOTCH1 141 acceptor and is shown in white type. The NOTCH1 143 A>G value is higher than the reported cutoff value of SS 3.0,23 and is shown in red type. Py, pyrimidine.
In silico analysis predicts aberrant splicing events of NOTCH1 pre-mRNA. (A) Schematic representation of C-terminal NOTCH1 pre-mRNA. NOTCH1 wt mRNA with the PEST domain coding sequence in exon 34 is spliced canonically (left), while upon mutation alternative splicing is induced (right). Here, the mutated 3′UTR sequences as indicated create acceptor sites, which can form a stronger acceptor motif with the already existent poly-Py tract “Py-Py-Py” and interact now with an activated cryptic donor site (AGGT) in the coding region of exon 34. This generates 4 different NOTCH1 splice variants (NOTCH1 152, 145, 143, 143∗) with new boundary sequences where the PEST domain coding sequence gets spliced out (shown in a green frame, bold type indicates reported variants; regular type represents variants discovered by this study). (B) Maximum entropy model (MaxEntScan) scores of canonical SSs located at the introns adjacent to NOTCH1 3′UTR and the corresponding sequences uploaded for score prediction are shown. (C) Distribution of MaxEntScan scores for NOTCH1 canonical SSs. Sequences used for MaxEntScan prediction are listed in supplemental Table 4. The average scores of canonical NOTCH1 5′SS (blue dots) and 3′SS (red dots) are calculated as 8.23 and 9.20, respectively. (D) Color coding of NOTCH1 3′UTR cryptic acceptor sites generated by NOTCH1 noncoding mutations. Prevalent NOTCH1 152 A>G mutation got a MaxEntScan score for 3′SS at 9.77 which is even higher than the average canonical NOTCH1 3′SS value (9.20; orange). Values located between 9.20 and minimum value (4.60) of canonical NOTCH1 3′SS are shown in yellow (NOTCH1 145 A>G and NOTCH1 143∗ A>C). Of note, the NOTCH1 143∗ A>C score was calculated for NOTCH1 141 acceptor and is shown in white type. The NOTCH1 143 A>G value is higher than the reported cutoff value of SS 3.0,23 and is shown in red type. Py, pyrimidine.
For this, we first calculated specific splicing scores within the human NOTCH1 gene without any mutation using the MaxEntScan software in which higher scores predict higher splicing efficiencies. Adjacent 5′SS reveals scores of 7.23 and 7.75, whereas 3′SS reveals the scores 9.04 and 11.86, respectively (Figure 1B). Calculation of the scores of all 5′SS and 3′SS in the human NOTCH1 gene shows a distinct variance with the mean of 8.2 (5′SS) and 9.2 (3′SS; Figure 1C; supplemental Table 4). Interestingly, the NOTCH1 152 mutation created an acceptor site, scored from 1.02 (wt) to 9.77 which is even higher than the average of all NOTCH1 canonical acceptor scores (Figure 1C-D; supplemental Tables 4 and 5). The NOTCH1 152 score ranges between acceptor scores of exons 32 to 33 (9.04) and exons 33 to 34 (11.86), followed by NOTCH1 143∗ (6.38) and NOTCH1 145 (5.40), representing scores still higher than the minimum canonical value (4.60).
Aberrantly spliced transcripts can be detected in patients with CLL
Next, we developed a specific PCR protocol (Figure 2A; supplemental Methods) to monitor aberrantly spliced transcripts together with unspliced NOTCH1 complementary DNA in human samples. Spliced fragments (size ∼200 base pairs) were amplified in samples from patients with CLL with NOTCH1 152, NOTCH1 145, and NOTCH1 143∗ mutations. Sequencing data from isolated fragments confirmed predicted SSs (Figures 1A and 2B). Interestingly, the A>C mutation at position 143 of the NOTCH1 gene induces a cryptic splice acceptor which generates a spliced transcript identical to that, which we already detected in healthy PBMCs (Figure 2B, upper). This cryptic splice acceptor (“141”) exhibiting a splicing efficiency score of 1.37 (as predicted by MaxEntScan) was increased to 6.38 by the 143 A>C mutation (Figures 1D and 2B; supplemental Table 5). Remarkably, the NOTCH1 141 splicing event detected in healthy donors seems to be associated with the lymphoid lineage, because splicing PCR signals were barely detectable in cell lines from the myeloid lineage (supplemental Figure 2).
Noncoding NOTCH1 mutations activate aberrant splicing in patients with CLL. (A) Scheme of NOTCH1 3′UTR splicing-specific PCR assays. The different NOTCH1 transcripts from unspliced process (746 base pairs [bp]) and alternative splicing (∼200 bp) can be distinguished. (B) PBMCs from healthy adults revealed alternatively spliced NOTCH1 141 variant (AG/AAAT) ∼200 bp in addition to unspliced NOTCH1 wt ∼750 bp. Patients 1 and 2 with NOTCH1 152 A>G and NOTCH1 145 A>G mutations had stronger spliced signals of ∼200 bp with barely seen unspliced signals of ∼750 bp, verified by the sequencing data with NOTCH1 152 (AG/AATC) and NOTCH1 145 (AG/AAAG) specific boundary sequence. Interestingly, patient 3 and patient 4 with NOTCH1 143∗ A>C were uncovered with a spliced NOTCH1 141 variant harboring specific boundary sequence (AG/AAAT) verified by sequencing data of patient 3 in addition to relatively weaker unspliced transcripts of ∼750 bp. (C) Quantification of splicing events in patients with NOTCH1 152-mutated CLL. Scheme of quantitative PCR primer pairs amplifying unspliced and spliced NOTCH1 transcripts (left). Relative expression of unspliced and spliced NOTCH1 mRNA in patients with CLL without (wt) or with NOTCH1 152 mutation (right). Expression is normalized to 3 housekeeping genes and log2 transformed. n > 7; median; 2-way analysis of variance (ANOVA) followed by Šídák multiple comparison test; P values are shown. GRCh37.p13, Genome Reference Consortium Human Build 37 patch release 13.
Noncoding NOTCH1 mutations activate aberrant splicing in patients with CLL. (A) Scheme of NOTCH1 3′UTR splicing-specific PCR assays. The different NOTCH1 transcripts from unspliced process (746 base pairs [bp]) and alternative splicing (∼200 bp) can be distinguished. (B) PBMCs from healthy adults revealed alternatively spliced NOTCH1 141 variant (AG/AAAT) ∼200 bp in addition to unspliced NOTCH1 wt ∼750 bp. Patients 1 and 2 with NOTCH1 152 A>G and NOTCH1 145 A>G mutations had stronger spliced signals of ∼200 bp with barely seen unspliced signals of ∼750 bp, verified by the sequencing data with NOTCH1 152 (AG/AATC) and NOTCH1 145 (AG/AAAG) specific boundary sequence. Interestingly, patient 3 and patient 4 with NOTCH1 143∗ A>C were uncovered with a spliced NOTCH1 141 variant harboring specific boundary sequence (AG/AAAT) verified by sequencing data of patient 3 in addition to relatively weaker unspliced transcripts of ∼750 bp. (C) Quantification of splicing events in patients with NOTCH1 152-mutated CLL. Scheme of quantitative PCR primer pairs amplifying unspliced and spliced NOTCH1 transcripts (left). Relative expression of unspliced and spliced NOTCH1 mRNA in patients with CLL without (wt) or with NOTCH1 152 mutation (right). Expression is normalized to 3 housekeeping genes and log2 transformed. n > 7; median; 2-way analysis of variance (ANOVA) followed by Šídák multiple comparison test; P values are shown. GRCh37.p13, Genome Reference Consortium Human Build 37 patch release 13.
Spliced NOTCH1 152-specific transcripts were also detected by quantitative PCR in patients with CLL (Figure 2C). Importantly, we could also determine unspliced NOTCH1 messenger RNA (mRNA) derived from the wt allele due to the heterozygotic status of the NOTCH1 152 mutation (Figure 2C). Thus, in corresponding patients with CLL, NOTCH1 152 mRNAs are robustly coexpressed with wt NOTCH1 transcripts.
Aberrantly spliced transcripts produce aberrant NICD proteins
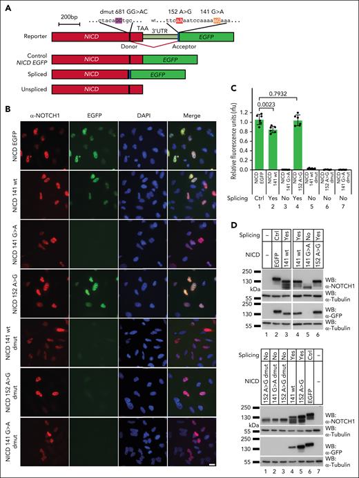
To test the splicing efficacy initiated by such NOTCH1 3′UTR mutations, we developed a splicing reporter system including the NOTCH1 152 and the “physiological” (cryptic) NOTCH1 141 sites (Figure 3A). An NICD construct fused to enhanced green fluorescent protein (EGFP) without 3′UTR served as a positive control (Figure 3B, NICD EGFP). Expressed NICD proteins are localized in the nucleus (Figure 3B, α-NOTCH1). The cryptic splice acceptor at position 141 induced splicing and expression of the fusion protein (Figure 3B, NICD 141 wt; Figure 3C, bar 2) which was also detected by western blotting (Figure 3D, upper [lanes 3-4] and lower [lane 4]). After mutation of the cryptic splice acceptor (141 G>A), splicing was prevented and no EGFP expression could be detected (Figure 3B, NICD 141 G>A; Figure 3C, bar 3; Figure 3D, upper [lane 5]). The patient-specific NOTCH1 152 mutation resulted in efficient splicing (Figure 3B, NICD 152 A>G; Figure 3C, bar 4; Figure 3D, upper [lane 6] and lower [lane 5]). Mutation of the cryptic splice donor (Figure 3A, donor mutated [dmut], GG>AC) abrogated the splicing process of all constructs, and EGFP expression could not be measured any longer (Figure 3B, 3 bottom rows; Figure 3C, bars 5-7; Figure 3D, lower [lanes 1-3]), thereby confirming the predicted 5′SS MaxEntScan score after mutation (wt, 5.40 vs dmut, −9.33; supplemental Table 6). Taken together, our results clearly demonstrate that a functional cryptic splice donor exists at position “g.139390681” but a cryptic splice acceptor at position “g.139390141” does exist in the wt NOTCH1 gene. In addition, a 3′SS acceptor, which is 11 nucleotides apart, is converted into a highly effective SS after the A>G mutation at position “g.139390152” in patients with CLL.
Splicing reporter gene constructs confirm NICD 3′UTR splicing events of noncoding NOTCH1 mutations. (A) Overall structure of the NICD splicing reporter system. The structure on the top reveals the different mutations in NICD 3′UTR together with the cryptic donor (purple) which settles in the coding region of NICD exon 34. The novel splice acceptors (red) generated by nucleotide substitution and the physiological 141 acceptor site (orange) are followed by EGFP complementary DNA (cDNA) sequences. The wt and mutant sequences are shown at the top. Only on alternative 3′UTR splicing does EGFP get spliced in frame with NICD (third panel, spliced). Thus, a NICD::EGFP fusion protein is translated and translocated to the nucleus, leading to GFP+ nuclei. In the case of unspliced events (lower panel, unspliced), translation of NICD is terminated by the normal stop codon (TAA) resulting in NICD+ but GFP–nuclei. NICD EGFP represents an NICD::EGFP cDNA fusion construct acting as a positive Ctrl. (B) Images of immunofluorescence signals of NICD 3′UTR splicing reporter system in HeLa wt cells. NICD+ nuclei from different constructs demonstrated equal transfection efficiencies. GFP+ signals in the nuclei demonstrated 3′UTR splicing. After merging images of NICD+ and GFP+ signals with DAPI-stained HeLa wt nuclei, different splicing efficiencies of NOTCH1 noncoding mutations were displayed. Scale bar, 20 μm. (C) Quantification of immunofluorescence signals of NICD 3′UTR splicing reporter system in HeLa wt cells by ImageJ. Relative fluorescence units were normalized to signals of positive Ctrl (NICD EGFP). n = 6; mean ± standard deviation (SD); 2-tailed unpaired t test; P values are shown. (D) WBs using lysates from HEK 293 wt overexpressing NICD 3′UTR splicing reporter constructs repeated the same splicing processes and efficiencies as immunofluorescence in HeLa wt. − represents untransfected samples. Ctrl, control; DAPI, 4′,6-diamidino-2-phenylindole; dmut, donor mutated; WB, western blot.
Splicing reporter gene constructs confirm NICD 3′UTR splicing events of noncoding NOTCH1 mutations. (A) Overall structure of the NICD splicing reporter system. The structure on the top reveals the different mutations in NICD 3′UTR together with the cryptic donor (purple) which settles in the coding region of NICD exon 34. The novel splice acceptors (red) generated by nucleotide substitution and the physiological 141 acceptor site (orange) are followed by EGFP complementary DNA (cDNA) sequences. The wt and mutant sequences are shown at the top. Only on alternative 3′UTR splicing does EGFP get spliced in frame with NICD (third panel, spliced). Thus, a NICD::EGFP fusion protein is translated and translocated to the nucleus, leading to GFP+ nuclei. In the case of unspliced events (lower panel, unspliced), translation of NICD is terminated by the normal stop codon (TAA) resulting in NICD+ but GFP–nuclei. NICD EGFP represents an NICD::EGFP cDNA fusion construct acting as a positive Ctrl. (B) Images of immunofluorescence signals of NICD 3′UTR splicing reporter system in HeLa wt cells. NICD+ nuclei from different constructs demonstrated equal transfection efficiencies. GFP+ signals in the nuclei demonstrated 3′UTR splicing. After merging images of NICD+ and GFP+ signals with DAPI-stained HeLa wt nuclei, different splicing efficiencies of NOTCH1 noncoding mutations were displayed. Scale bar, 20 μm. (C) Quantification of immunofluorescence signals of NICD 3′UTR splicing reporter system in HeLa wt cells by ImageJ. Relative fluorescence units were normalized to signals of positive Ctrl (NICD EGFP). n = 6; mean ± standard deviation (SD); 2-tailed unpaired t test; P values are shown. (D) WBs using lysates from HEK 293 wt overexpressing NICD 3′UTR splicing reporter constructs repeated the same splicing processes and efficiencies as immunofluorescence in HeLa wt. − represents untransfected samples. Ctrl, control; DAPI, 4′,6-diamidino-2-phenylindole; dmut, donor mutated; WB, western blot.
Development of an antibody specific for NICD variants
The PEST domain of NOTCH1 is missing in all splice variants (Figure 4A), whereas a novel carboxy terminus is generated in NICD 152/143. The variant 143∗ (A>C) directly enhances the 141 cryptic splice acceptor (MaxEntScan score 1.37 vs 6.38; Figures 1D and 2B, patients 3 and 4; supplemental Figure 3), whereas the variant 143 (A>G) shares most of C-terminal amino acids with NICD 152 (Figure 4A). As described previously, NICD 141 and NICD 143∗ shared exactly the same sequence due to use of the same 3′SS (also found in supplemental Figure 3), hereafter, referred to as NICD 141.
Characterization of a specific antibody able to detect spliced NICD 152/143. (A) Carboxy-terminal protein sequences of NICD wt and spliced NICD variants (UniProt: P46531). The purple area indicates wt C-terminal amino acids, and the dark blue areas indicate aberrant C-terminal amino acids from spliced variants. Immunogen sequences used to produce a NICD 152/143 specific antibody are denoted in pink type. (B) Specificity test of the generated α-NICD 152 antibody. The α-NICD 152 from an immunized rabbit only detects NICD 152/143 proteins overexpressed in NOTCH1 KO HEK 293 cells.24 Spliced NICD 152/143 from NICD+3′UTR constructs were also detected by the α-NICD 152; however, splicing efficiency of NICD+3′UTR 143 is dramatically lower than NICD+3′UTR 152. The α-NICD 152 did not show any affinity to endogenous proteins in different cell lines; minus signs represent untransfected samples. (C) The α-NICD 152 antibody was able to detect NOTCH1 152 protein in patients with CLL harboring the corresponding mutation after IP but not in NOTCH1 wt and NOTCH1 ΔCT patients. A NOTCH1∗ (see supplemental Figure 4) antibody was used as a control. Asterisks represent the heavy chains of antibodies. Samples after precipitation were loaded for WB, and α-tubulin was used for protein abundance control of patient samples. IP, immunoprecipitation.
Characterization of a specific antibody able to detect spliced NICD 152/143. (A) Carboxy-terminal protein sequences of NICD wt and spliced NICD variants (UniProt: P46531). The purple area indicates wt C-terminal amino acids, and the dark blue areas indicate aberrant C-terminal amino acids from spliced variants. Immunogen sequences used to produce a NICD 152/143 specific antibody are denoted in pink type. (B) Specificity test of the generated α-NICD 152 antibody. The α-NICD 152 from an immunized rabbit only detects NICD 152/143 proteins overexpressed in NOTCH1 KO HEK 293 cells.24 Spliced NICD 152/143 from NICD+3′UTR constructs were also detected by the α-NICD 152; however, splicing efficiency of NICD+3′UTR 143 is dramatically lower than NICD+3′UTR 152. The α-NICD 152 did not show any affinity to endogenous proteins in different cell lines; minus signs represent untransfected samples. (C) The α-NICD 152 antibody was able to detect NOTCH1 152 protein in patients with CLL harboring the corresponding mutation after IP but not in NOTCH1 wt and NOTCH1 ΔCT patients. A NOTCH1∗ (see supplemental Figure 4) antibody was used as a control. Asterisks represent the heavy chains of antibodies. Samples after precipitation were loaded for WB, and α-tubulin was used for protein abundance control of patient samples. IP, immunoprecipitation.
Unlike NICD 141 and NICD 145, spliced NICD 152/143 were almost of the same size as NICD wt (supplemental Figure 4), which makes it difficult to distinguish the aberrant NOTCH1 152 from NOTCH1 wt in patients with CLL owing to the monoallelic mutation. Using Basic Local Alignment Search Tool for Proteins, we did not find specific peptides of the aberrant C terminus of the NOTCH1 152 protein within the human proteome. Indeed, using mass spectrometry, we could detect the NICD 152 specific peptides (SSWGVQAAPFPR, PARPLHQHHLPVR; supplemental Figure 5; supplemental Table 9). Therefore, the spliced NICD 152 variant expressed from a transfected NICD+3′UTR 152 construct was stable enough to be detected by mass spectrometry.
We used a NICD 152 specific peptide “NPKRNDVGEGKLNE” as an antigen to generate a NICD 152/143 specific polyclonal antibody (α-NICD 152; Figure 4). The α-NICD 152 antibody was highly specific to NICD 152/143 but did not recognize other NICD variants and/or endogenous NICD (wt) proteins in different cell lines. Importantly, the antibody could also detect subsequent spliced NICD 152 and even NICD 143 from transfected NOTCH1 constructs with the corresponding 3′UTR mutations, although splicing efficiency of the latter was low (Figure 4B), according to the MaxEntScan score of NOTCH1 143 (4.09; Figure 1D). After immunoprecipitation, but not directly from the whole cell lysates (supplemental Figure 12A), the α-NICD 152 was able to detect specific protein signals at the expected size in patients with NOTCH1 152 mutated CLL although with varying intensities due to the heterogeneity and varying mutation frequencies in patient samples. In lysates from patients with wild-type NOTCH1 and patients harboring the NOTCH1 c.7544_7545delCT (ΔCT) mutation, no specific signal was detectable. A commercially available antibody was used as a control (Figure 4C).
Spliced NICD variants still localize to the nucleus but have low transcriptional activity
Although mainly localized in the nuclei such as other variants (NICD wt, coding mutants: NICD ΔG and NICD ΔCT; supplemental Figures 4B and 6A), NICD 152, NICD 145, and NICD 143 activate the RBPJ-responsive reporter gene (supplemental Figure 6B) only weakly, whereas, NICD 141 was more active. In parallel, western blots with the same constructs excluded bias from different transfection efficiencies (supplemental Figure 6C). Lower transactivation capacities of spliced NICD variants were not caused by different affinities to the transcription complex, as they demonstrated comparable binding capacities to the MAML1-RBPJ complex (MAML1, endogenous; Figure 5A; MAML1, overexpressed; supplemental Figure 6D) when compared with NICD wt.
NICD 152 still interacts with the RBPJ/MAML1 transactivation complex and the USP28/FBXW7 NICD degradation complex. (A) NICD variants demonstrate comparable binding capacities to RBPJ/MAML1 as revealed by co-IP. (B) Scheme of interaction between substrates and USP28/FBXW7. As a E3 ubiquitin ligase, FBXW7 targets substrates for proteasomal degradation by ubiquitination, whereas deubiquitinase USP28 is reported to antagonize FBXW7 leading to substrate stabilization.25 (C) Overview on protein sequences of C-terminal NICD variants. The CDC4 phospho-degron is shaded in blue, and the phospho-S (serine) sequence in orange. (D) Co-IP of Flag USP28 and NICD variants in NOTCH1 KO HEK 293 cells.24 Compared with NICD wt (lane 4), NICD 143 (lane 7) and NICD 152 (lane 13) but not NICD ΔCT (lane 10) showed stronger binding to USP28. (E) In NOTCH1 KO HEK 293 cells, NICD 143 (lane 3) and NICD 152 (lane 5) had higher affinity to endogenous USP28 compared with NICD wt (lane 2). (F) Sequences of GFP-tagged C-terminal NICD proteins (UniProt: P46531). The GFP tag is shown in green, common NICD sequence in orange, and amino acids which are different within the NICD variants in purple or dark blue. (G) The C terminus of NICD 152 (GFP Y2490 152, lane 3) still demonstrated higher affinity to USP28 in the co-IP performed in HEK 293 wt cells compared with C-terminal NICD wt (GFP Y2490 wt, lane 2) and NICD ΔCT (GFP Y2490 ΔCT, lane 4). (H) The C terminus of GFP Y2490 152 (lane 4) also demonstrated binding capacity to FBXW7 compared with GFP Y2490 wt (lane 3) but not GFP Y2490 ΔCT (lane 5) in the co-IP performed in HEK 293 wt cells. (I) Luciferase-based transcription assay. The pGA981-6 reporter (see also supplemental Figure 6), NICD wt (for preactivation), GFP Y2490 wt, GFP Y2490 152, and GFP Y2490 ΔCT were co-transfected in HeLa wt cells. Normalized luciferase activities (to NICD wt) revealed that the C terminus of NICD 152 (GFP Y2490 152) led to the rise of NICD wt transcription activities but not GFP Y2490 wt and GFP Y2490 ΔCT. Mean ± SD; n = 8; 2-tailed unpaired t test. − indicates the absence of corresponding proteins, + denotes the presence of respective proteins, and ∗ represents the heavy chains of antibodies. mRBPJ, murine RBPJ; ns, not significant.
NICD 152 still interacts with the RBPJ/MAML1 transactivation complex and the USP28/FBXW7 NICD degradation complex. (A) NICD variants demonstrate comparable binding capacities to RBPJ/MAML1 as revealed by co-IP. (B) Scheme of interaction between substrates and USP28/FBXW7. As a E3 ubiquitin ligase, FBXW7 targets substrates for proteasomal degradation by ubiquitination, whereas deubiquitinase USP28 is reported to antagonize FBXW7 leading to substrate stabilization.25 (C) Overview on protein sequences of C-terminal NICD variants. The CDC4 phospho-degron is shaded in blue, and the phospho-S (serine) sequence in orange. (D) Co-IP of Flag USP28 and NICD variants in NOTCH1 KO HEK 293 cells.24 Compared with NICD wt (lane 4), NICD 143 (lane 7) and NICD 152 (lane 13) but not NICD ΔCT (lane 10) showed stronger binding to USP28. (E) In NOTCH1 KO HEK 293 cells, NICD 143 (lane 3) and NICD 152 (lane 5) had higher affinity to endogenous USP28 compared with NICD wt (lane 2). (F) Sequences of GFP-tagged C-terminal NICD proteins (UniProt: P46531). The GFP tag is shown in green, common NICD sequence in orange, and amino acids which are different within the NICD variants in purple or dark blue. (G) The C terminus of NICD 152 (GFP Y2490 152, lane 3) still demonstrated higher affinity to USP28 in the co-IP performed in HEK 293 wt cells compared with C-terminal NICD wt (GFP Y2490 wt, lane 2) and NICD ΔCT (GFP Y2490 ΔCT, lane 4). (H) The C terminus of GFP Y2490 152 (lane 4) also demonstrated binding capacity to FBXW7 compared with GFP Y2490 wt (lane 3) but not GFP Y2490 ΔCT (lane 5) in the co-IP performed in HEK 293 wt cells. (I) Luciferase-based transcription assay. The pGA981-6 reporter (see also supplemental Figure 6), NICD wt (for preactivation), GFP Y2490 wt, GFP Y2490 152, and GFP Y2490 ΔCT were co-transfected in HeLa wt cells. Normalized luciferase activities (to NICD wt) revealed that the C terminus of NICD 152 (GFP Y2490 152) led to the rise of NICD wt transcription activities but not GFP Y2490 wt and GFP Y2490 ΔCT. Mean ± SD; n = 8; 2-tailed unpaired t test. − indicates the absence of corresponding proteins, + denotes the presence of respective proteins, and ∗ represents the heavy chains of antibodies. mRBPJ, murine RBPJ; ns, not significant.
Spliced variants still interact with FBXW7 and USP28
The low transcriptional activity of the spliced NICD variants (supplemental Figure 6B) could not explain the aggressive phenotype of NOTCH1 3′UTR–mutated CLL entities. Therefore, we evaluated the activity of FBXW7 and USP28 (Figure 5B) because these components of the NICD degradation system were previously proven to contribute to malignant transformation in CLL26,27 development. Surprisingly, NICD 152 and NICD 143 (Figure 5C) demonstrated higher binding capacity to overexpressed and endogenous USP28 compared with NICD wt (with faint signal), whereas NICD ΔCT showed undetectable affinity to USP28 (Figure 5D-E). The shortened spliced NICD 145 (supplemental Figure 4B) also showed lower affinity to endogenous USP28 (Figure 5E) suggesting that the aberrant C terminus of NICD 152 triggers a strong affinity to USP28. Therefore, we used GFP proteins fused to the C-termini of NICD variants (Figure 5F) and performed coimmunoprecipitation experiments with FBXW7 and USP28. Although lacking the FBXW7 binding site (FLTPSPE; Figure 5C),28 the C terminus of NICD 152 still binds to FBXW7 comparable to wt NICD (Figure 5H) and has an even higher binding affinity to USP28 (Figure 5G).
NICD 152 acts as a sponge for the NICD degradation system leading to the stabilization of activated NICD wt
Having demonstrated that the specific C terminus of NICD 152 gives rise to a high-affinity interaction with the NICD degradation system, we next asked for the functional consequences. For this purpose, we conducted an ubiquitinylating competition assay (Figure 6A) which revealed that precipitated NICD wt was less ubiquitinylated on increasing NICD 152 expressions in HEK 293 cells and NOTCH1 knockout (KO) HEK 293 cells.24 Thus, decreased ubiquitylation of NICD wt in the context of simultaneous NICD 152 expression might lead to stabilized NICD wt protein, a phenotype possibly reflecting the situation of patients with CLL with monoallelic NOTCH1 152 mutation.
NICD 152 expression dysregulates the regular NICD wt degradation process. (A) Co-IP performed in HEK 293 wt and NOTCH1 KO HEK 293 cells24 to exclude an interference with endogenous NOTCH1. Ubiquitination of NICD wt was decreased after gradual increase of spliced NICD 152, which was verified by quantification of NICD wt ubiquitination signals with ImageJ, illustrated in the lower panel. Mean ± SD; n = 6; Kruskal-Wallis test followed by Dunn multiple comparison test for comparisons in HEK 293 wt; ordinary 1-way ANOVA test followed by Šídák multiple comparison test for NOTCH1 KO HEK 293. Active endogenous nuclear NICD wt is stabilized in HEK 293 wt (B) and HeLa wt (C) by overexpression of NICD 152. After nuclear extraction, in the presence of overexpressed NICD 152, signals of endogenous active nuclear NICD wt were stronger than in the group transfected with empty vector (pcDNA3). Quantification of WBs (right) reveals that intensities of endogenous active nuclear NICD wt in HEK 293 wt and HeLa wt after NICD 152 overexpression were significantly higher than in empty vector control group. Quantification of WBs was performed by ImageJ. Mean ± SD; n = 18 in panel B and n = 13 in panel C; 2-tailed unpaired t test. − indicates the absence of corresponding proteins or constructs, + denotes the presence of respective proteins or constructs, and ∗ represents the heavy chains of Flag antibodies. Each blot is a representative example of at least 3 blots.
NICD 152 expression dysregulates the regular NICD wt degradation process. (A) Co-IP performed in HEK 293 wt and NOTCH1 KO HEK 293 cells24 to exclude an interference with endogenous NOTCH1. Ubiquitination of NICD wt was decreased after gradual increase of spliced NICD 152, which was verified by quantification of NICD wt ubiquitination signals with ImageJ, illustrated in the lower panel. Mean ± SD; n = 6; Kruskal-Wallis test followed by Dunn multiple comparison test for comparisons in HEK 293 wt; ordinary 1-way ANOVA test followed by Šídák multiple comparison test for NOTCH1 KO HEK 293. Active endogenous nuclear NICD wt is stabilized in HEK 293 wt (B) and HeLa wt (C) by overexpression of NICD 152. After nuclear extraction, in the presence of overexpressed NICD 152, signals of endogenous active nuclear NICD wt were stronger than in the group transfected with empty vector (pcDNA3). Quantification of WBs (right) reveals that intensities of endogenous active nuclear NICD wt in HEK 293 wt and HeLa wt after NICD 152 overexpression were significantly higher than in empty vector control group. Quantification of WBs was performed by ImageJ. Mean ± SD; n = 18 in panel B and n = 13 in panel C; 2-tailed unpaired t test. − indicates the absence of corresponding proteins or constructs, + denotes the presence of respective proteins or constructs, and ∗ represents the heavy chains of Flag antibodies. Each blot is a representative example of at least 3 blots.
In line with this hypothesis, reporter gene assays demonstrated that the addition of the NICD 152 specific C terminus is able to activate NICD wt-dependent transcription when compared with NICD wt only or after cotransfection of the NICD wt/NICD ΔCT C-termini (Figure 5I). Furthermore, on overexpressing NICD 152 in HEK 293 wt, HeLa wt, and NOTCH1 KO HEK 293 cells24 (Figure 6B-C; supplemental Figure 7), our NICD wt protection model was proven by significantly accumulated active NICD wt. Unlike in the whole cell extract, nuclear NICD 152 protein was not stable. Nevertheless, addition of proteasome inhibitor MG132 during the extraction process contributed to proper signals of NICD 152 in HEK 293 wt cells (supplemental Figure 8), which in turn indirectly confirmed our hypothesis that NICD 152 might be ubiquitinylated by FBXW7 and degraded by the proteasome, thereby stabilizing active NICD wt and allowing it to act as an oncogenic factor.
To further validate the oncogenic activity of NICD 152, we introduced this type of mutation in HG3 cells by CRISPR/Cas9. Indeed, we could identify stabilized nuclear NICD wt (Figure 7A-B; supplemental Figure 9) in CRISPR/Cas9 edited HG3 cell lines (HG3 11 and HG3 149) which carry a heterozygous NOTCH1 152 mutation. The specific phenotype was confirmed by genomic sequencing (supplemental Figure 9A), splicing PCR assays (supplemental Figure 9B), and most importantly, the presence of spliced NOTCH1 152 protein (supplemental Figure 9C). In contrast to HG3 wt, both HG3 149 and HG3 11 demonstrated a more adherent phenotype, colony formation activity, and characteristics of enhanced mobility (supplemental Figure 10). In addition, we determined an elevated expression of classic NOTCH1 target genes according to Fabbri et al7 and Ryan et al30 in HG3 149 (HEY1, HEY2, DTX1, NRARP1, NEDD9, ATF5, JAK1, ADAM19, TMOD1, and IL6R; supplemental Figure 11) as an immediate consequence of accumulated NICD. Interestingly, we also uncovered the stabilization of other FBXW7 targets (c-Jun, c-Myc, and cyclin E) in HG3 149 cells (supplemental Figure 9E) suggesting also NOTCH1 indirect/independent effects.
Nuclear NICD wt is stabilized in HG3 (NICDwt/152) cells and samples from patients with CLL with heterozygote 152 mutations.NOTCH1 152 A>G mutation in HG3 11 (A) and HG3 149 (B) was introduced by CRISPR/Cas9 (see supplemental Figure 9). After nuclear extraction, significantly higher intensities of endogenous nuclear NICD wt were detected by WB and the following quantification compared with HG3 wt. − indicates the absence of corresponding chemicals, and + denotes the presence of respective chemicals. Quantifications were performed by ImageJ. Mean ± SD; n = 4 in panel A and n = 7 in panel B; 2-tailed unpaired t test. Blots are representative of at least 3 blots. (C) Analyzing NICD signals from lysates of NOTCH1 wt (lanes 1-5), coding NOTCH1 ΔCT mutated (lanes 6-10) and NOTCH1 152 mutated (lanes 11-15) patients with CLL. Stabilization of truncated NICD (ΔCT patients) and even more evident NICD wt from NOTCH1 152 mutated patients can clearly be detected. Lysates from transfected NICD proteins, missing the amino-terminal valine 1754 residue and expressed in NOTCH1 KO HEK 29324 cells, served as a negative control (lanes 16-22). Lysates from DeltaMax stimulated HG3 cells29 (lane 23) and MO1043 cells expressing a truncated NICD served as positive controls for the antibody. A longer exposure blot is shown (middle). The α-NOTCH1∗ antibody (bottom) was used as a general NOTCH1 expression control.
Nuclear NICD wt is stabilized in HG3 (NICDwt/152) cells and samples from patients with CLL with heterozygote 152 mutations.NOTCH1 152 A>G mutation in HG3 11 (A) and HG3 149 (B) was introduced by CRISPR/Cas9 (see supplemental Figure 9). After nuclear extraction, significantly higher intensities of endogenous nuclear NICD wt were detected by WB and the following quantification compared with HG3 wt. − indicates the absence of corresponding chemicals, and + denotes the presence of respective chemicals. Quantifications were performed by ImageJ. Mean ± SD; n = 4 in panel A and n = 7 in panel B; 2-tailed unpaired t test. Blots are representative of at least 3 blots. (C) Analyzing NICD signals from lysates of NOTCH1 wt (lanes 1-5), coding NOTCH1 ΔCT mutated (lanes 6-10) and NOTCH1 152 mutated (lanes 11-15) patients with CLL. Stabilization of truncated NICD (ΔCT patients) and even more evident NICD wt from NOTCH1 152 mutated patients can clearly be detected. Lysates from transfected NICD proteins, missing the amino-terminal valine 1754 residue and expressed in NOTCH1 KO HEK 29324 cells, served as a negative control (lanes 16-22). Lysates from DeltaMax stimulated HG3 cells29 (lane 23) and MO1043 cells expressing a truncated NICD served as positive controls for the antibody. A longer exposure blot is shown (middle). The α-NOTCH1∗ antibody (bottom) was used as a general NOTCH1 expression control.
Finally, we analyzed the abundance of cleaved NICD proteins in patients with CLL (Figure 7C). Stabilized NICD was clearly detected in samples from patients with the coding NOTCH1 ΔCT mutation (Figure 7C, lanes 6-10) and, most importantly, also in patients with the noncoding NOTCH1 152 mutation (Figure 7C, lanes 11-15). Lysates from NOTCH1 KO HEK 293 cells24 expressing NICD wt and variants missing the Val1754 residue served as a negative control. Because NICD 152 protein is instable also in both HG3 clones (supplemental Figure 9C) and patient samples (supplemental Figure 12A) and can only be detected after immunoprecipitation (Figure 4C and supplemental Figure 9C), therefore, in contrast to the truncated proteins in “ΔCT” samples, stabilized NICD found in “152” mutated patient samples is most likely the wt protein. This supports our notion that the NICD 152 protein acts as a sponge thereby affecting stability of NICD wt protein in trans.
Discussion
NOTCH1 mutations in CLL are found in up to 20% of patients, stratifying subgroups with poor prognosis and higher risk of Richter transformation. Stabilized NICD variants and constitutively active NOTCH1 signaling due to a PEST domain truncation are supposed to contribute to CLL oncogenesis.14 Recent studies16,19,31 concerning noncoding NOTCH1 mutations hypothesized that the oncogenic activity of those was also initiated by the accumulation of NICD 152 through impaired degradation, due to the PEST deletion and subsequent constitutively activated NOTCH1 signaling. But none of them directly dissected the NOTCH1 spliced variants and their function in the heterozygotic background.
Our work uncovered a shortened spliced NOTCH1 variant in healthy condition, which is shared by patients with CLL harboring the NOTCH1 143∗ A>C mutation (Figures 2B and 4B; supplemental Figure 3). The corresponding NICD 141 variant might have oncogenic activity during initiation and development of CLL, but its physiological presence, although with low amount, is surprising. Unfortunately, quantitative data are still missing from patients with NOTCH1 143∗-mutated CLL due to their low frequency.14 Nevertheless, our splicing PCR result reveals that NOTCH1 141 is much more abundant in patients with NOTCH1 143∗-mutated CLL compared with that in the healthy circulating PBMCs, and oncogenic activity of NICD 141 might be dose dependent. NOTCH1 signaling was reported to be responsible for the regulation of T-cell dependent and T-cell independent B-cell responses during immune reaction. A low expression of a PEST deleted, and therefore more stable variant (NICD 141), might be necessary for recirculating B cells in response to inflammation.10 In the physiological context, this splice variant is expressed in the wt situation. Therefore, NICD 141 expression may be controlled by a cell-specific regulation of alternative splicing processes and thus also be switched off again. However, further cell type-specific splicing PCR needs to be performed to figure out the origin and function of the physiologically spliced NOTCH1 141.
We identified that this NICD variant was associated with unexpected significantly lower transactivation activity compared with the wt NICD but exhibited aggravated affinities to the NICD degradation system components (FBXW7 and USP28). Mutations in FBXW7 and its antagonist USP28 were reported to contribute to tumorigenesis of CLL.26,27 We suggest that in patients with CLL expressing NICD 152, malignant transformation is induced by aberrantly stabilized NICD wt because the ubiquitin ligase FBXW7 and deubiquitinase USP28 are sequestered by this NICD splice variant and might form a tripartite complex (NICD 152-USP28-FBXW7).25 Alternatively, NICD 152 mimics the complete deletion of USP28 by absorbing it and promotes FBXW7 autoubiquitination. Therefore, the discrepancy between former studies16,19,31 and us might be due to the different NOTCH1 antibodies used. The elevated NICD signals from publications16,19,31 in patients with NOTCH1 3′UTR–mutated CLL could be stabilized NICD wt but recognized by antibodies unable to distinguish NICD 152 and NICD wt because of similar sizes (Figure 4; supplemental Figures 4-6) and the instability of nuclear NICD 152 (supplemental Figure 8).
The heterogenous and variable disease course of CLL requires accurate evaluation at diagnosis to distinguish subgroups with different prognosis in terms of TTT, PFS, and OS. With the current stratification system,2,6 subgroups with adverse prognosis should be intensively monitored. However, detection of noncoding NOTCH1 mutations which is related to significant shorter TTT usually demands whole genome sequencing or whole exome sequencing which is not available in regular clinical practice. The novel C terminus of NICD 152 and a specific α-NICD 152 antibody allows to distinguish CLL entities with this dominant mutation at diagnosis easily and to classify them to a more aggressive phenotype17 (supplemental Table 1) with an intensive follow-up protocol, although its predictive significance for Richter transformation is currently not determined. In a subgroup analysis of the CLL11 trial,32 patients with CLL with NOTCH1 3′UTR mutations demonstrated better response to the type II CD20 antibody obinutuzumab in terms of negativity of minimal residual disease and prolonged PFS compared with rituximab. However, obinutuzumab-containing regimens were not able to benefit treatment-naïve CLL in terms of OS33 and diffuse large B-cell lymphoma (entity after Richter transformation) in terms of PFS34 compared to a rituximab-containing therapy. The inclusion of NOTCH1 noncoding mutations in the CLL stratification panel would give additional evidence to decision propensity for obinutuzumab in clinical practice, while balancing between increased risk of infusion-related reactions, secondary malignancies,35 and clinical benefit.
Furthermore, low CD20 expression in CLL with noncoding NOTCH1 mutations can be partly rescued by γ-secretase inhibitor,19 which is consistent with higher nuclear NICD levels and NOTCH1 signaling activity in this study (Figure 6B-C and 7; supplemental Figures 7 and 11), providing a solution for anti-CD20 immunotherapy resistance. Meanwhile, histone deacetylases are reported to be involved in stabilized NICD-mediated repression of CD20 expression and histone deacetylase inhibitor treatment upregulates CD20 as well.36 Furthermore, improved understanding of RNA splicing makes it possible to target the aberrant splicing events of NOTCH1 3′UTR mutations, such as inhibiting SF3B1. Mutations of SF3B1 are usually concurrent with noncoding NOTCH1 mutations31 and vital for splice acceptor selection.37,38 Other options are targeting pathologically spliced mRNA with small molecules39 and antisense oligos preventing use of alternative SSs.40
In summary, our study provides the opportunity to stratify a CLL subgroup characterized by noncoding NOTCH1 mutations, which may benefit from more precise clinical management and treatment.
Acknowledgments
The authors thank Eva-Maria Rump and Sabine Schirmer for excellent technical assistance.
The work was funded by the Deutsche Forschungsgemeinschaft (DFG; German Research Foundation no. 427512076 [F.O.]) and the German Cancer Aid (grant numbers 70114289 [F.O.] and 70114291 [D.M.]). M.G. was supported by the China Scholarship Council (file no. 202006090055). T.B. acknowledges funding by the Landes-Offensive zur Entwicklung Wissenschaftlich-Ökonomischer Exzellenz Research Cluster Initiative CANcer-lung Crosstalk and the Excellence Cluster for Cardio Pulmonary System in Giessen. F.F. is supported by a research grant from the University Medical Center Giessen and Marburg. F.O. and B.B. are supported by the Collaborative Research Centers 1074, 1279 (DFG no. 217328187 and 316249678 [F.O.]), and 1506 (DFG no. 450627322 [F.O. and B.B.]).
Authorship
Contribution: F.O. and M.G. conceived the project; M.G., T.M., and F.O. designed the project; T.M., K.S., and U.P. generated the CRISPR cell lines; M.G., T.M., and A.S.E. performed the experiments; E.T., S.S., H.D., B.B., K.F., and A.P. analyzed the data; D.M., F.F., and T.B. shared the reagents; and M.G., B.B., and F.O. wrote the manuscript, including comments from all authors.
Conflict-of-interest disclosure: The authors declare no competing financial interests.
Correspondence: Franz Oswald, Department of Internal Medicine I, University Hospital Ulm, Albert-Einstein-Allee 23, 89081 Ulm, Germany; email: franz.oswald@uni-ulm.de.
References
Author notes
M.G. and T.M. contributed equally to this study.
Supporting data, including supplemental Methods, supplemental Figures 1-12, and supplemental Tables 1-9, can be found in a data supplement available with the online version of this article. Original data are available on request from the corresponding author, Franz Oswald (franz.oswald@uni-ulm.de).
The online version of this article contains a data supplement.
There is a Blood Commentary on this article in this issue.
The publication costs of this article were defrayed in part by page charge payment. Therefore, and solely to indicate this fact, this article is hereby marked “advertisement” in accordance with 18 USC section 1734.


![Noncoding NOTCH1 mutations activate aberrant splicing in patients with CLL. (A) Scheme of NOTCH1 3′UTR splicing-specific PCR assays. The different NOTCH1 transcripts from unspliced process (746 base pairs [bp]) and alternative splicing (∼200 bp) can be distinguished. (B) PBMCs from healthy adults revealed alternatively spliced NOTCH1 141 variant (AG/AAAT) ∼200 bp in addition to unspliced NOTCH1 wt ∼750 bp. Patients 1 and 2 with NOTCH1 152 A>G and NOTCH1 145 A>G mutations had stronger spliced signals of ∼200 bp with barely seen unspliced signals of ∼750 bp, verified by the sequencing data with NOTCH1 152 (AG/AATC) and NOTCH1 145 (AG/AAAG) specific boundary sequence. Interestingly, patient 3 and patient 4 with NOTCH1 143∗ A>C were uncovered with a spliced NOTCH1 141 variant harboring specific boundary sequence (AG/AAAT) verified by sequencing data of patient 3 in addition to relatively weaker unspliced transcripts of ∼750 bp. (C) Quantification of splicing events in patients with NOTCH1 152-mutated CLL. Scheme of quantitative PCR primer pairs amplifying unspliced and spliced NOTCH1 transcripts (left). Relative expression of unspliced and spliced NOTCH1 mRNA in patients with CLL without (wt) or with NOTCH1 152 mutation (right). Expression is normalized to 3 housekeeping genes and log2 transformed. n > 7; median; 2-way analysis of variance (ANOVA) followed by Šídák multiple comparison test; P values are shown. GRCh37.p13, Genome Reference Consortium Human Build 37 patch release 13.](https://ash.silverchair-cdn.com/ash/content_public/journal/blood/146/16/10.1182_blood.2025028529/2/m_blood_bld-2025-028529-gr2.jpeg?Expires=1767699179&Signature=3RVAS78FJb7KJYlftoIFvwBy25o3FDFl4c-PrS9qnvSRAUT-KrMHlWjhrTI4giLQ3jfukJx42SSdLmT0lYXzMop4Y-oAT897WCDO0jngk0EJBtev5rGwhBCxw0Ko9wdr2nuC6EZJELgENhXrGEdStHdDrCVCRRMvbcBDAZ-tL27EVQNTh0mRgWVXIiuxne2aegfdQpanO7wQtPZK2h4T1DcAJGBQBb9zm32OGTHwd5cdCvyoyNn1k7Fpe75n7sYrUJrvAjebnblNmyeJOpITKQ-NKHQ-Yv6-PbXSUuiHsOGPcuz8AVoFlk4U-VfjRMoG4WKgwpBuyclcRI~pEpkkHg__&Key-Pair-Id=APKAIE5G5CRDK6RD3PGA)





This feature is available to Subscribers Only
Sign In or Create an Account Close Modal